Overlay

Biomatériaux

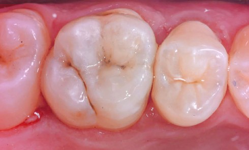
Article réservé à nos abonnés Quel est le meilleur matériau ? – Partie 2

PROBLÉMATIQUES Deux questions principales se posent lors de la réalisation d’une restauration indirecte : 1- Quel est l’intérêt de réaliser un...
Biomatériaux

Article réservé à nos abonnés Quel est le meilleur matériau ? #1

L’or utilisé pour la réalisation d’inlays/onlays a fait la preuve de succès cliniques évidents et d’une excellente biocompatibilité. Cependant, son coût...
Esthétique

Article réservé à nos abonnés Overlays et veneerlays : aspects de laboratoire

Les overlays et les veneerlays constituent les versions contemporaines des couronnes périphériques lorsque le délabrement de la dent permet encore...
Odontologie restauratrice

Article réservé à nos abonnés Restauration contemporaine de la dent postérieure dépulpée

Présentation du cas Un patient de 58 ans avec une hygiène bucco-dentaire correcte se présente pour la première fois en...