Papillomavirus humains

Dermatologie buccale

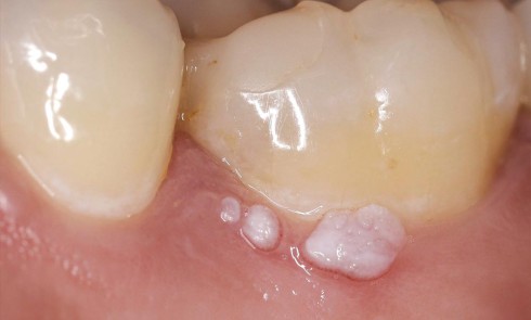
Article réservé à nos abonnés Image commentée : une petite boursouflure

Situation clinique Anamnèse. Une patiente âgée de 26 ans consulte sur les conseils de son chirurgien-dentiste traitant, lequel a remarqué...