Parodontite

Article réservé à nos abonnés L’épitranscriptomique comme nouvelle source de biomarqueurs de la parodontite : revue de la littérature

Le point clé Les modifications de l’ARN, et en particulier m6A, pourraient être de potentiels biomarqueurs diagnostiques et de réponse au traitement...
Médecine

Article réservé à nos abonnés Les neutrophiles : agents doubles dans la parodontite

IDENTITÉ Nom : Neutrophile Date de description : 1882, Elie Metchnikoff (« Microphages ») Parenté : Granulocytes, Famille des leucocytes Surnom :...
Médecine

Article réservé à nos abonnés Le virus Epstein-Barr

L’objectif de cette rubrique est de rédiger la carte d’identité d’un habitant du parodonte. La rubrique comportera l’identité de l’habitant...
Parodontologie

Article réservé à nos abonnés L’étiopathogénie des maladies parodontales. Un aperçu historique des modèles, de l’infection focale à la dysbiose et aux voies de l’inflammation

RÉSUMÉ La parodontite est une maladie inflammatoire chronique multifactorielle associée à un biofilm bactérien dysbiotique et caractérisée par la destruction...
Médecine

Article réservé à nos abonnés Comment les troubles respiratoires du sommeil peuvent impacter la santé orale

Les troubles du sommeil en relation avec la respiration Dans la récente révision de la Classification internationale des troubles du sommeil établie...
Parodontologie

Article réservé à nos abonnés Recommandations de traitement des 4 types de parodontites de stade IV

Pour rappel La parodontite de stade IV est une parodontite sévère avec perte potentielle de toutes les dents [1]. Le stade IV...
ODF

Article réservé à nos abonnés Spécificités de la contention en cas de parodontite

Les parodontites sont des pathologies d’origine bactérienne, aggravées par de nombreux facteurs (tabac, génétique, hygiène…) [1] et conduisant à une...
Parodontologie

Article réservé à nos abonnés Quelles interactions entre parodontites et santé digestive ?

L’axe oro-intestinal est un domaine émergent en médecine parodontale et l’interaction entre la parodontite et les maladies inflammatoires chroniques de...
Parodontologie

Article réservé à nos abonnés Reconstitution de la papille interdentaire à l’aide d’acide hyaluronique : revue systématique

RÉSUMÉ Contexte : La perte des papilles interdentaires est devenue, dans la dentisterie moderne, l’un des problèmes esthétiques les plus...
Implantologie

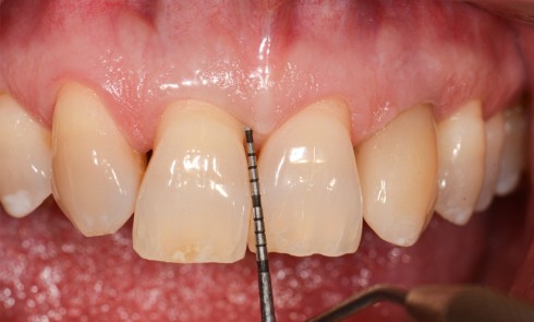
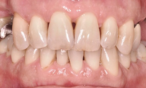
Article réservé à nos abonnés Aménagement pré-implantaire et réhabilitation implantaire d’un patient parodontal fumeur

RÉSUMÉ La parodontite est une pathologie chronique inflammatoire multifactorielle associée à un biofilm dysbiotique et caractérisée par une destruction progressive des...
Parodontologie

Article réservé à nos abonnés Synergie ortho-parodontale dans le traitement d’une lésion infra-osseuse associée à une migration dentaire secondaire

Résumé La parodontite de stade IV entraîne fréquemment le déplacement des dents antérieures maxillaires et elle est souvent associée à...