Parodontite

Parodontologie

Article réservé à nos abonnés Effets des vitamines sur le parodonte et les maladies parodontales : une revue narrative des études cliniques

Les parodontites sont des pathologies inflammatoires multifactorielles, résultant d’un déséquilibre entre les défenses de l’hôte et un microbiote oral dysbiotique....
Médecine

Article réservé à nos abonnés Treponema denticola

Résumé Treponema denticola est une bactérie anaérobie du microbiote buccal symbiotique, impliquée dans la parodontite. Elle est capable d’envahir les tissus...
Implantologie chirurgicale, Parodontologie

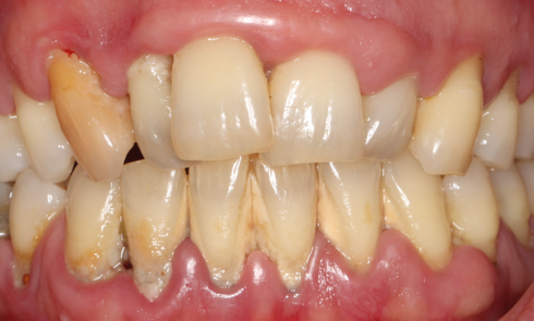
Article réservé à nos abonnés Spécificités de la réponse inflammatoire de la péri-implantite par rapport à celle de la parodontite

Résumé Objectif Identifier précocement les patients et les sites à risque de péri-implantite est crucial pour prévenir au plus tôt...
Parodontologie

Article réservé à nos abonnés Porphyromonas gingivalis

L’objectif de cette rubrique est de rédiger la carte d’identité d’un habitant du parodonte. Elle présente l’identité de l’habitant (procaryote...
Parodontologie

Article réservé à nos abonnés Traitement d’une parodontite stade 3 : application des recommandations S3 de l’EFP en pratique clinique

La Fédération Européenne de Parodontologie (EFP) a organisé en 2019 un European Workshop of Periodontology (EWP) dédié à formaliser des...
Parodontologie

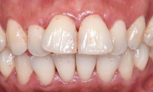
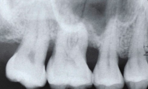
Article réservé à nos abonnés Nouvelle classification… et parodontite – stade III grade B #8

Qu’est-ce qu’une parodontite stade III grade A selon la classification de Chicago 2017 ? Il s’agit d’une parodontite sévère à...
Parodontologie

Article réservé à nos abonnés L’aéropolissage est-il un complément ou une alternative à l’instrumentation conventionnelle en parodontologie ?

Le but de la revue de littérature présentée dans ces pages est de clarifier les indications dans lesquelles l’aéropolissage, utilisé...
Parodontologie

Article réservé à nos abonnés Nouveau regard sur l’infertilité féminine : des relations avec la santé parodontale

Résumé La fertilité des femmes et la parodontite sont-elles liées ? Un nombre croissant de preuves épidémiologiques et cliniques au...
Biomatériaux

Article réservé à nos abonnés Intérêts des exosomes dans la régénération osseuse et parodontale

La parodontite est une maladie inflammatoire associée à une dysbiose, affectant 50 % des adultes et survenant plus fréquemment chez les...
Parodontologie

Article réservé à nos abonnés Dépendance nicotinique et sévérité de la parodontite

Résumé Le tabagisme est considéré comme un facteur de risque pour la genèse et la progression de la parodontite. Parmi la pléiade...
Parodontologie

Article réservé à nos abonnés Parodontite stade 2 grade A

Qu’est-ce qu’une parodontite stade II grade A selon la classification de Chicago 2017 ? Il s’agit d’une parodontite modérée à progression lente [1]. Les outils...
Médecine

Article réservé à nos abonnés Place des bisphosphonates dans le traitement des parodontites : revue de littérature

Destruction osseuse induite par la parodontite La dernière classification des maladies parodontales définit la parodontite comme une pathologie inflammatoire chronique multifactorielle associée...