Parodontite

Endodontie, Parodontologie

Article réservé à nos abonnés Douleurs endodontiques et parodontales

Les douleurs dentaires résultent le plus souvent de l’infection de l’endodonte ou/et du parodonte par des bactéries, conséquence logique de...
Implantologie

Article réservé à nos abonnés Gestion des tissus parodontaux lors des thérapeutiques orthodontiques

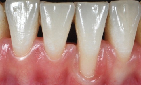
Récessions parodontales Étiologie des récessions La gencive marginale est cliniquement représentée par une ligne festonnée qui suit le contour de...
Parodontologie

Article réservé à nos abonnés Les relations entre parodontite et obésité

L’Organisation mondiale de la santé (OMS) définit l’obésité comme une accumulation excessive de graisses corporelles représentant un risque pour la...