Parodontologie

Article réservé à nos abonnés Consensus report of the second European. Consensus Workshop on Education in Periodontology

CONTEXTE L’évolution des techniques d’enseignement mais aussi des attentes de la profession en termes de formation a conduit au deuxième...
Parodontologie

Article réservé à nos abonnés Vitamines C et D : impacts sur le parodonte et supplémentation de nos patients

En 2021, l’ANSES (Agence nationale de sécurité sanitaire de l’alimentation, de l’environnement et du travail) statue que la couverture vitaminique...
Parodontologie

Article réservé à nos abonnés Connaissances, attitudes et pratiques professionnelles vis-à-vis des soins ortho-parodontaux chez l’adulte. Une enquête transversale auprès des omnipraticiens, parodontistes et orthodontistes français

RÉSUMÉ Contexte Avec un nombre croissant de patients adultes, les orthodontistes sont fréquemment confrontés aux problèmes parodontaux. La coordination entre les...
Pathologie

Article réservé à nos abonnés Mieux connaître le milieu buccal pour mieux soigner

Au sein de la littérature scientifique foisonnante sur la salive, nous retiendrons un papier de Huang et coll. intitulé «...
Parodontologie

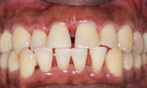
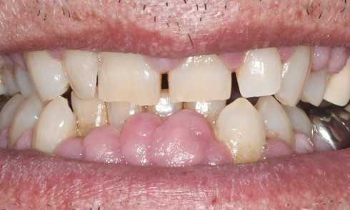
Article réservé à nos abonnés Accroissement gingival d’origine médicamenteuse : et si le traitement étiologique suffisait ?

RÉSUMÉ Devant l’augmentation continue des prescriptions médicamenteuses, la gestion de leurs effets secondaires implique une coopération entre professionnels de santé,...
Médecine

Article réservé à nos abonnés Le lymphocyte B

L’objectif de cette rubrique est de rédiger la carte d’identité d’un habitant du parodonte. Elle présente l’identité de l’habitant (procaryote...
Parodontologie

Article réservé à nos abonnés L’éducation thérapeutique en parodontologie

«Du désir au plaisir de changer. » Voici comment Françoise Kourilsky titrait l’un de ses ouvrages, mais pourrions-nous appliquer cette formule...
Parodontologie

Article réservé à nos abonnés Parodontite, grossesse et accouchements prématurés

La santé maternelle est décrite par l’Organisation Mondiale de la Santé (OMS) comme l’état de la femme durant la période...
Parodontologie

Article réservé à nos abonnés L’élongation coronaire chirurgicale pour la réhabilitation de l’esthétique du sourire

L’éruption dentaire s’établit en deux phases : une phase active lorsque la dent chemine dans la cavité orale jusqu’à entrer en...
Parodontologie

Article réservé à nos abonnés Repousser les limites du traitement des lésions infra-osseuses sévères en combinant techniques régénératives et greffe conjonctive : preuve de concept

Efficacité des stratégies conventionnelles de reconstruction/régénération parodontale Les défauts infra-osseux possèdent un potentiel de cicatrisation remarquable lorsque les procédures thérapeutiques...