Parodontologie

Implantologie

Article réservé à nos abonnés Prise en charge multidisciplinaire d’un cas complexe concernant la zone esthétique antérieure maxillaire

Résumé La zone antérieure maxillaire est une zone esthétique carrefour des différentes spécialités odontologiques. Sa réhabilitation doit toujours passer par...
Endodontie, Parodontologie

Article réservé à nos abonnés Douleurs endodontiques et parodontales

Les douleurs dentaires résultent le plus souvent de l’infection de l’endodonte ou/et du parodonte par des bactéries, conséquence logique de...
Parodontologie

Article réservé à nos abonnés Nouvelle classification… et gingivite

Qu’est-ce que la gingivite induite par le biofilm selon Chicago 2017 ? Il s’agit d’une lésion inflammatoire résultant d’interactions entre...
Hygiène et Asepsie

Article réservé à nos abonnés Utilisation des instruments ultrasonores : réduire les risques de l’aérocontamination

Par son action dans un milieu septique, le détartrage ultrasonique s’accompagne de gouttelettes très chargées en microbes, à la différence...
Parodontologie

Article réservé à nos abonnés Nouvelle classification… et santé parodontale

Qu’est-ce que la santé parodontale selon Chicago 2017 ? Cette nouvelle classification introduit pour la première fois la notion de santé parodontale...
Parodontologie

Article réservé à nos abonnés Migration dentaire pathologique : signe pathognomonique d’une lésion parodontale

Définitions La migration dentaire pathologique est un déplacement dentaire provoqué lorsque l’équilibre entre les forces qui maintiennent la position physiologique...
Parodontologie

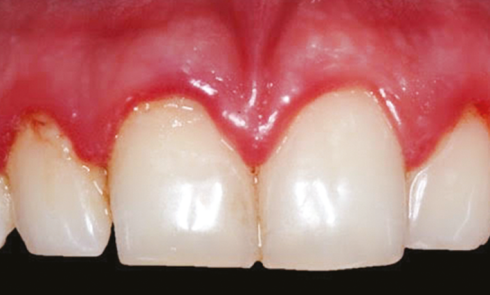
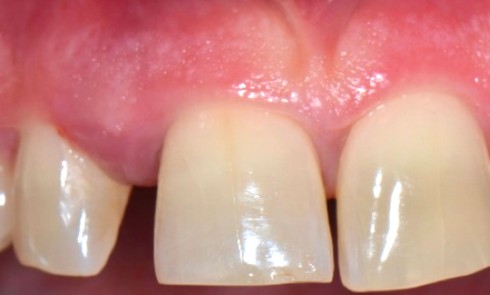
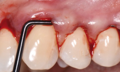
Article réservé à nos abonnés La prise en charge de la récession parodontale

Diagnostic La récession parodontale se définit comme l’exposition pathologique de la surface radiculaire à la suite d’une migration apicale de...