Parole d'expert

Article réservé à nos abonnés Fonction, dysfonction et usure : vers une contention active ?

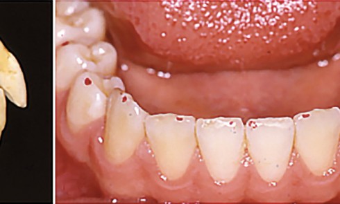
Docteur Kohaut, vous accompagnez les orthodontistes depuis des années dans la prise en charge (entre autres) des dysfonctions et des...
ODF

Article réservé à nos abonnés Le nouveau Règlement Général sur la Protection des Données et son impact dans les cabinets orthodontiques

Que sont les « données personnelles » en matière d’orthodontie ? On appelle « donnée personnelle » toute donnée digitale ou non digitale qui peut...