Péri-implantite

Article réservé à nos abonnés Diagnostic des maladies péri-implantaires

RÉSUMÉ Les pathologies péri-implantaires, qui englobent la mucosite péri-implantaire et la péri-implantite, ont une forte prévalence. La mucosite péri-implantaire correspond...
Médecine, Parodontologie

Article réservé à nos abonnés Évaluation de différents scores de risque Dans la prévention des maladies péri-implantaires. Analyse d’une étude clinique de cohorte à long terme

RÉSUMÉ Contexte Cette étude a comparé la valeur pronostique à long terme de deux modèles de scores d’évaluation du risque...
Implantologie

Article réservé à nos abonnés Traitement d’une péri-implantite et son suivi : est-ce réellement aussi simple ?

Le patient 54 ans Parodontite traitée en 2015 stabilisée, puis plusieurs épisodes d’activation sur les dernières années Prise en charge...
Implantologie

Article réservé à nos abonnés Couple d’insertion élevé et péri-implantite

Le lien possible entre un couple d’insertion élevé et le déclenchement ultérieur d’une péri-implantite est parfois évoqué en conférence (Choukroun...
Implantologie

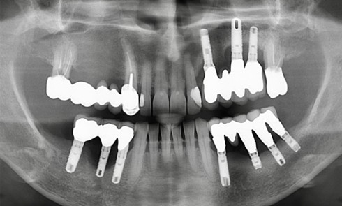
Article réservé à nos abonnés Tissue Level contre Bone Level

1. Péri-implantite sur un implant Tissue Level à gauche, et Bone Level à droite. On distingue effectivement deux grandes catégories d’implants (fig. 2)...
Implantologie

Article réservé à nos abonnés Os reconstruit et implant : une liaison dangereuse ?

La péri-implantite trouve-t-elle la même expression dans l’os reconstruit et dans l’os natif ? L’interface os reconstruit/implant est dépendante de...
Implantologie

Article réservé à nos abonnés La réostéointégration de l’implant est-elle possible ?

Les études animales Elles sont regroupées dans deux revues systématiques de la littérature. La première [1] est proposée par le...
Implantologie, Parodontologie

Article réservé à nos abonnés Une stratégie « zéro péri-implantite » est-elle possible ?
Hiérarchiser et intégrer les facteurs de risque pour réduire les complications biologiques en implantologie

Introduction Il convient donc à ce stade de faire une première clarification entre une perte osseuse péri-implantaire « initiale » associée à...
Implantologie, Parodontologie

Article réservé à nos abonnés Traitement de la péri-implantite par décontamination électrolytique et régénération osseuse guidée

La patiente 65 ans ASA type I Pas de problèmes systémiques Pas de prise de médicaments Pas de consommation de...
Implantologie, Parodontologie

Article réservé à nos abonnés Surfaces implantaires et péri-implantite : point et contre-point

Hallucinations péri-implantaires ? Les publications issues des conférences de consensus nous guident dans nos choix thérapeutiques. Prendre des décisions cliniques sur la...
Implantologie, Parodontologie

Article réservé à nos abonnés Traitement d’une péri-implantite par chirurgie de régénération osseuse guidée

La patiente 61 ans Sous bêta-bloquant Bonne hygiène orale Parodontite traitée et stabilisée depuis 2016 Maintenances tous les 6 mois...
Implantologie, Parodontologie

Article réservé à nos abonnés Traitement d’une péri-implantite : le choix du « tout laser »

Le patient 70 ans Pas d’antécédents médicaux Ne fume pas Hygiène correcte L’implant Site 23 Mis en place il y...