Plan de traitement

Article réservé à nos abonnés La planification des cas complexes : aide au plan de traitement dans le concept 2D3D4D

De l’importance de la première consultation Comment définir ce qui peut être considéré comme une situation complexe ? Un traitement élaboré...

Article réservé à nos abonnés Communiquer avec le patient lors de la phase préthérapeutique

L’entretien Les premiers échanges avec le patient ont lieu lors de la prise de rendez-vous où il est souvent utile...

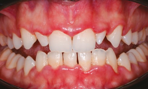
Article réservé à nos abonnés Esthétique et fonction : apport de l’orthodontie dento-faciale

Soigner n’est donc plus un défi, il est maintenant impératif de conserver, préserver et pérenniser les dentures des patients. L’avenir...

Article réservé à nos abonnés Place de l’état de santé général dans le plan de traitement odonto-stomatologique

Influence de l’état de santé général sur les tissus parodontaux La parodontite est actuellement définie comme la destruction progressive du...

Article réservé à nos abonnés Dossier médical, consentement éclairé, aspects médico-légaux

Notre objet n’est pas ici de traiter de façon exhaustive de ces sujets, dont chacun pourrait faire l’objet d’une publication...
Odontologie restauratrice

Article réservé à nos abonnés Principes de la planification thérapeutique globale – Partie 2 – La prise de décision

Une approche scientifique et psychosociale Une fois le diagnostic posé, le plan de traitement devra intégrer les meilleures preuves scientifiques...
Implantologie prothétique

Article réservé à nos abonnés Planification des traitements implanto-prothétiques

Exercice limité à la parodontologie et l’implantologie, Paris Praticien attaché à la consultation d’implantologie du service de chirurgie maxillo-faciale (hôpital de Villeneuve-Saint-Georges)...
Implantologie, Parodontologie

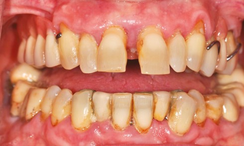
Article réservé à nos abonnés Conserver, extraire : quelles sont les limites ? Point de vue parodontal

Du point de vue parodontal, la décision de conserver ou d’extraire dépend du pronostic. Un mauvais pronostic justifie l’extraction. Le...