Prise en charge

Article réservé à nos abonnés Le cancer des voies aérodigestives supérieures (VADS) au cabinet dentaire

Épidémiologie Le cancer des VADS représente le 5e cancer le plus fréquent avec plus de 17 000 nouveaux cas par...

Article réservé à nos abonnés La relaxation : une solution pérenne pour traiter les parafonctions dans la prise en charge orthodontique

En décembre 2003, l’Agence Nationale d’Accréditation et d’Évaluation en Santé recommande la prise en charge des fonctions oro-faciales pour garantir...
Pathologie

Article réservé à nos abonnés Bruxisme du sommeil chez les adultes : résumé des connaissances actuelles sur l’étiologie, l’évaluation et la prise en charge

Le bruxisme est une affection buccale très documentée qui intéresse plusieurs disciplines comme l’odontologie, la psychologie, la neurologie et la...
Pathologie

Article réservé à nos abonnés Le Sahos : traitement par Orthèse d’avancée mandibulaire (OAM)

Place des OAM dans le traitement du Sahos [1 2 3] Définition des OAM Une orthèse est un dispositif médical amovible qui...
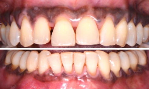
Parodontologie

Article réservé à nos abonnés Rôle du chirurgien-dentiste chez les patients obèses éligibles à une chirurgie bariatrique

L’obésité (indice de masse corporelle, IMC > 30 kg/m2) est l’une des maladies chroniques les plus fréquentes dans le monde...
Parodontologie

Article réservé à nos abonnés Intérêt de la prise en charge parodontale chez les patients atteints de dysplasie cémento-osseuse

Caractéristiques cliniques et radiographiques La dysplasie cémento-osseuse (DCO) définit une lésion osseuse bénigne pouvant atteindre tous les âges et toutes les...