Pronostic

Biomatériaux

Article réservé à nos abonnés Pronostic du résultat colorimétrique obtenu post-éclaircissement des dents vitales : Le Coefficient Potentiel d’Éclaircissement CPE (Partie 2)

Finalement, que signifie avoir les dents blanches ? « Docteur, je viens vous voir pour avoir les dents blanches ! », voici...
Biomatériaux

Article réservé à nos abonnés Nouvelle proposition pour une approche quantitative prévisionnelle du résultat de l’éclaircissement des dents vitales : le Coefficient Potentiel d’Éclaircissement (CPE)

L’éclaircissement est-il prévisible ? Dans les années 90, l’un des pères fondateurs de la dentisterie esthétique, le Dr Ronald Goldstein,...
Biomatériaux

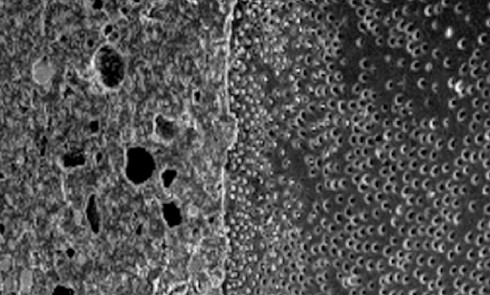
Article réservé à nos abonnés Échec clinique et retrait commercial d’un système d’obturation endodontique prometteur

L’objectif principal d’un traitement endodontique radiculaire est de supprimer l’étiologie des maladies pulpaires et périapicales afin de créer les conditions...
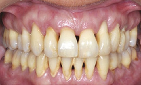
Implantologie, Parodontologie

Article réservé à nos abonnés Conserver, extraire : quelles sont les limites ? Point de vue parodontal

Du point de vue parodontal, la décision de conserver ou d’extraire dépend du pronostic. Un mauvais pronostic justifie l’extraction. Le...