Prothèse

Formation

Titre

Prothèse

Article réservé à nos abonnés Laboratoire et cabinet en full numérique ?

Le processus traditionnel de fabrication des couronnes télescopiques est généralement connu pour être long et fastidieux. Aujourd’hui, les techno­logies avancées...
CFAO

Article réservé à nos abonnés Prothèse amovible partielle « tout numérique » et châssis métalliques usinés

La prothèse amovible est une discipline complexe : psychologiquement, par communication du stress du patient engendré par une perte de...
Prothèse

Article réservé à nos abonnés Position de référence en prothèse et programmation de l’articulateur : quand ? Pourquoi et comment ?

Le choix du concept occluso-prothétique est déterminé par le type de prothèse à réaliser. La prothèse fixée, la prothèse implanto-portée,...
Biomatériaux, Prothèse

Article réservé à nos abonnés Les alternatives au cobalt-chrome en prothèse amovible partielle

Les alliages de cobalt-chrome (Co-Cr) ont une place prépondérante au sein de notre pratique, tant en prothèse fixée qu’amovible. Leurs...
Implantologie

Article réservé à nos abonnés Recommandations de bonne pratique de niveau S3 de l’EFP sur le traitement de la parodontite de stade IV : position commune du CNEP et de la SFPIO

RÉSUMÉ Le guide de pratique clinique récemment publié pour le traitement des parodontites de stade I à III a fourni...
CFAO

Article réservé à nos abonnés L’impression 3D au service de l’implantologie guidée

La révolution numérique a désormais touché le monde de l’odontologie, lequel connaît une transformation rapide. De nouveaux outils ont permis...
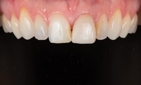
Odontologie restauratrice

Article réservé à nos abonnés Les restaurations partielles indirectes antérieures en céramique

La restauration partielle antérieure en céramique est un traitement prédictible et durable qui rétablit non seulement l’aspect esthétique de la dent...
Hypnose

Article réservé à nos abonnés Apport de l’hypnose en prothèse

Depuis quelques années, l’hypnose est en plein essor, notamment dans le domaine médical. Elle peut être un véritable allié pour...
Prothèse

Article réservé à nos abonnés Simplifier la réalisation de la prothèse complète implanto-portée

La définition de la santé, par l’Organisation Mondiale de la Santé, est un état de confort total physique, psychique et...