Prothèse amovible complète

Odontologie pédiatrique

Article réservé à nos abonnés Prothèse amovible complète pédiatrique : réflexions thérapeutiques autour d’un cas clinique

Un jeune patient âgé de 5 ans se présente en consultation d’odontologie pédiatrique avec, comme seul antécédent médical connu, la...
CFAO

Article réservé à nos abonnés L’impression 3D en prothèse amovible complète

La thérapeutique de l’édentement total est actuellement renouvelée par les apports du numérique et de la CFAO. Grâce à eux,...
Prothèse

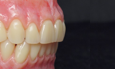
Article réservé à nos abonnés Prothèse amovible complète – partie 1

L’assistant(e) dentaire a un rôle clé dans l’équipe soignante. Il/elle représente l’interface directe entre le praticien et le prothésiste de...
Prothèse amovible

Article réservé à nos abonnés Gestion de la dimension verticale en prothèse amovible complète

La détermination de la dimension verticale d’occlusion (DVO) est une étape importante et complexe du traitement de l’édenté total [1]....
Prothèse amovible

Article réservé à nos abonnés Prothèse amovible complète immédiate et flux numérique

A propos de deux cas cliniques Les prothèses complètes immédiates réalisées avant les extractions et insérées en fin de phase...
Prothèse amovible

Article réservé à nos abonnés 20 ans de prothèse amovible complète au laboratoire

Considéré comme incurable durant des centaines d’années, l’édenté total a fait preuve de patience pour se voir offrir les prémices...