QCM

Dermatologie buccale

Article réservé à nos abonnés À propos de douleurs linguales atypiques

Rubrique coordonnée par Guy Princ 1. Au vu de l’anamnèse et de l’examen clinique, quel(s) diagnostic(s) vous semble(nt) le(s) plus probable(s)...
Chirurgie orale

Article réservé à nos abonnés À propos d’une image radioclaire mandibulaire

1. Que révèle le Cone Beam ? a. Des corticales osseuses lysées b. L’extension de la lésion au niveau du canal dentaire...
Médecine

Article réservé à nos abonnés Ne pas se fier aux apparences

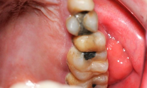
1. Quel(s) diagnostic(s) doit-on évoquer en première intention ? a. Epulis b. Abcès parodontal c. Fibrome d. Abcès d’origine endodontique 2....
Médecine

Article réservé à nos abonnés À propos de lésions buccales chroniques généralisées en période de pandémie Covid-19

À l’interrogatoire, le patient affirme qu’il a des difficultés à maintenir une hygiène bucco-dentaire satisfaisante du fait des douleurs, et...
Médecine

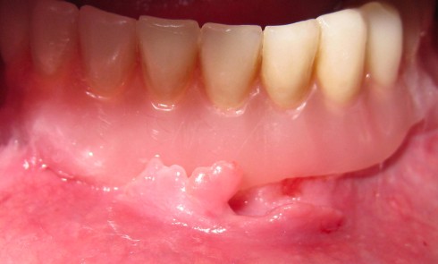
Article réservé à nos abonnés QCM – Une hyperplasie fibreuse du vestibule inférieur

  Un homme âgé de 72 ans, suivi pour une hypertension artérielle équilibrée, est adressé pour avis. Il présente une...