Recommandations IADT

Odontologie restauratrice

Article réservé à nos abonnés Certificat médical initial (CMI) et aspects médico-légaux

Une lésion dentaire traumatique est un problème de santé dentaire publique de par sa fréquence, sa survenue à un jeune...
Odontologie restauratrice

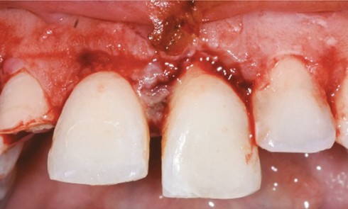
Article réservé à nos abonnés La contention en traumatologie dentaire aujourd’hui : points clés

La meilleure compréhension des processus de guérison du parodonte, de la pulpe et de l’os alvéolaire et le rôle principal...