Scellement

Odontologie restauratrice

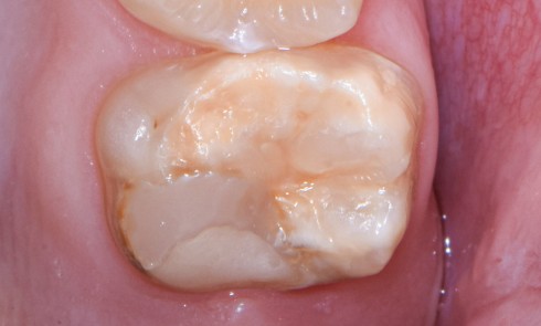
Article réservé à nos abonnés Scellement(s) immédiat(s) : les clefs du collage sur tissu altéré

Contexte Le terme « hypominéralisation molaires incisives » (en anglais MIH, molar-incisor-hypomineralisation) a été défini en 2001 par Weerheijm et al. comme...

Article réservé à nos abonnés Check-lists. Matériel pour reconstitutions corono-radiculaires

Inlay-core Préparation et empreinte Kit d’instruments (sonde, miroir, précelles, spatule) Aspiration chirurgicale et/ou pompe à salive Contre-angle bague rouge ou...
Biomatériaux

Article réservé à nos abonnés L’obturation canalaire avec une nouvelle famille de biomatériaux… en toute simplicité (partie 1)

Les objectifs du traitement endodontique sont souvent restreints à des notions mécaniques. Pourtant, l’objectif principal reste de prévenir toute agression...
Esthétique

Article réservé à nos abonnés Le scellement dentinaire immédiat

Scellement dentinaire immédiat : concept Historique Les protocoles de mise en œuvre des restaurations indirectes nécessitent classiquement (hors CFAO directe...