Secteurs postérieurs

Prothèse

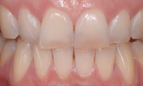
Article réservé à nos abonnés Technique de stratification composite guidée dans les secteurs postérieurs dans le cadre d’une réhabilitation globale avec augmentation de DVO

Dans le cadre d’une réhabilitation globale, l’analyse esthétique et fonctionnelle est désormais incontournable. Dans les situations d’usure modérées à sévères,...
Esthétique

Article réservé à nos abonnés Le scellement dentinaire immédiat

Scellement dentinaire immédiat : concept Historique Les protocoles de mise en œuvre des restaurations indirectes nécessitent classiquement (hors CFAO directe...
Esthétique

Article réservé à nos abonnés L’occlusion, un paramètre essentiel à la pérennité d´une restauration

Pour un résultat pérenne, il est important de diagnostiquer et de corriger d’éventuelles mal-occlusions ou prématurités avant d’envisager les restaurations...
Esthétique

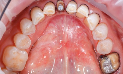
Article réservé à nos abonnés Les restaurations directes et indirectes postérieures

La perte de substance intéresse deux types de tissus, l’émail et la dentine, ayant des caractéristiques et des propriétés différentes....
Esthétique

Article réservé à nos abonnés Nature des pertes de substances dentaires – Partie 2 : nature des pertes de substances dentaires

Étiopathologies Les érosions dentaires sont une atteinte des tissus dentaires sans implication bactérienne et se caractérisent, comme dans le cas...
Esthétique

Article réservé à nos abonnés Formes de préparation pour les restaurations indirectes postérieures

Après étude de la littérature, nous constatons qu’il n’existe pas aujourd’hui de design de préparation recommandé pour les restaurations indirectes...
Esthétique

Article réservé à nos abonnés Biomimétisme : la dent naturelle, une source d’inspiration

Les concepts du biomimétisme sont adaptés en dentisterie depuis déjà plusieurs années et sont au cœur de la dentisterie contemporaine....
Esthétique

Article réservé à nos abonnés Nature des pertes de substances dentaires – Partie 3: fêlures et fractures : « Cracked tooth syndrom »

Définitions et classifications Le « cracked tooth syndrom » couvre un large panel de situations cliniques, et peut s’étendre de la formation...
Esthétique

Article réservé à nos abonnés Nature des pertes de substances dentaires – Partie 1 : La lésion carieuse

Caractéristiques cliniques et diagnostic Cliniquement, deux types de lésions carieuses peuvent être observés : des caries actives et des caries chroniques...