Stade III

Parodontologie

Article réservé à nos abonnés Traitement d’une parodontite stade 3 : application des recommandations S3 de l’EFP en pratique clinique

La Fédération Européenne de Parodontologie (EFP) a organisé en 2019 un European Workshop of Periodontology (EWP) dédié à formaliser des...
Parodontologie

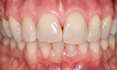
Article réservé à nos abonnés Nouvelle classification… parodontite stade III grade A

Qu’est-ce qu’une parodontite stade III grade A selon la classification de Chicago 2017 ? Il s’agit d’une parodontie sévère à...