Tissus mous

Esthétique

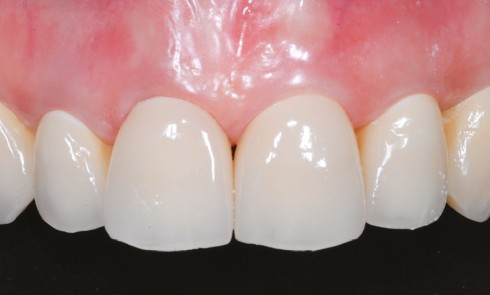
Article réservé à nos abonnés Gestion des tissus mous par adaptation prothétique selon le protocole BOPT : un cas clinique de réalignement des collets gingivaux

La technique de préparation du moignon prothétique est un sujet constamment débattu dans le domaine dentaire scientifique : tous les...
Implantologie

Article réservé à nos abonnés Approche parodontale de la stabilité des tissus mous autour d’un implant unitaire en secteur esthétique

La position idéale du niveau de la muqueuse péri-implantaire est essentiellement guidée par la stabilité à travers le temps de...
Implantologie chirurgicale

Article réservé à nos abonnés Réhabilitation implantaire secteur postérieur mandibulaire et ROG

La question Il s’agit d’évaluer, selon la situation clinique, la pertinence du recours à la technique de la régénération osseuse...