Usure

Biomatériaux

Article réservé à nos abonnés Phénomènes d’usures par frottement au sein des dispositifs médicaux… En toute simplicité

Pascale Corne a réalisé une thèse d’université sur les mécanismes d’usures au sein des connexions implantaires co-dirigée par Jean Geringer,...
Biomatériaux

Article réservé à nos abonnés Usure abrasive à trois corps ou « Abrasion »

L’usure est la détérioration que produit l’usage. Au niveau des tissus dentaires, c’est une manifestation physiologique, cumulative et irréversible qui...
Odontologie restauratrice

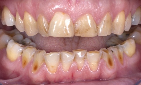
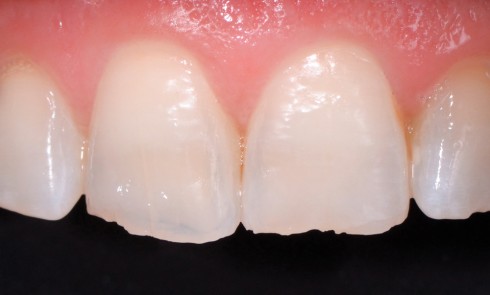
Article réservé à nos abonnés Approche clinique moderne d’une patiente atteinte d’usure érosive

Le diagnostic préalable de l’étiologie des phénomènes d’érosion-usure, qui peut être chimique, abrasive ou encore attritive, est essentiel pour permettre...
Biomatériaux

Article réservé à nos abonnés Usure abrasive à deux corps ou « attrition »

L’usure est la détérioration que produit l’usage. C’est une manifestation physiologique qui revêt parfois un caractère pathologique. Elle est alors susceptible...

Article réservé à nos abonnés Usure et dimension verticale d’occlusion

Les compensations dento-alvéolaires peuvent être assimilées à un système dynamique et adaptatif destiné à assurer et à maintenir dans le...
Occlusodontologie

Article réservé à nos abonnés Usures dentaires, traiter ou ne pas traiter ?

Responsable scientifique : Jean-François Laluque Conférenciers : Mathieu Contrepois, Jean-Daniel Orthlieb, Cécilia Laï La perte de DVO dans le contexte...
Esthétique

Article réservé à nos abonnés Le veneerlay : une RECC indispensable dans le traitement des usures/érosions avancées

Le terme veneerlay est une combinaison des termes anglo-saxons veneer et overlay. Difficilement traduisible en français, il caractérise une Restauration...
Odontologie restauratrice

Article réservé à nos abonnés Préparations contemporaines pour overlays

Les overlays (céramique et composite) sont devenus en quelques années un véritable référentiel en termes de restaurations partielles postérieures. Ils sont même...
Esthétique

Article réservé à nos abonnés Restauration des conséquences de l’usure par technique adhésive sans préparation

Lorsque l’usure dentaire entraîne des conséquences biologiques et/ou au niveau de la fonction et de l’esthétique, il nous est possible...
CFAO

Article réservé à nos abonnés Table-tops et overlays par CFAO directe : quand et comment ?

Les patients présentant des situations avancées d’usures et d’érosions dentaires plurales sont de plus en plus nombreux à venir nous consulter....