Usure dentaire

Odontologie restauratrice

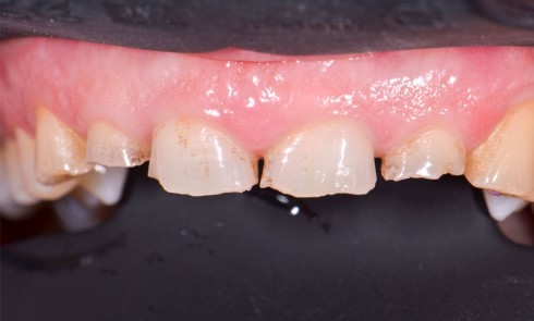
Article réservé à nos abonnés Usure sévère et matériaux hybrides CAD/CAM

Traitement Au vu du contexte para-fonctionnel et de l’étendue de la perte tissulaire, des coiffes périphériques minimalement invasives ont été...
CFAO

Article réservé à nos abonnés Apport du numérique dans le suivi du patient dans le temps Application aux cas d’usure dentaire

En quelques années, les flux de travail se sont numérisés, modernisés, réinventés grâce aux avancées technologiques (matérielles et logicielles), mais...
Prothèse

Article réservé à nos abonnés Apport de l’électromyographie dans la prise en charge des usures dentaires

L’usure dentaire est un phénomène physiologique naturel. Cependant, dans certains cas (érosion chimique ou mécanique), les pertes de substance engendrées...

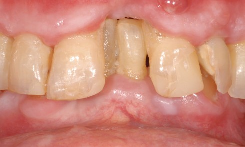
Article réservé à nos abonnés Planification et gestion de la phase provisoire d’une patiente atteinte d’usure érosive

Coordination : Kinz Bayet Situation clinique initiale et synthèse diagnostique Une patiente, âgée de 30 ans, se présente en consultation pour...
Esthétique

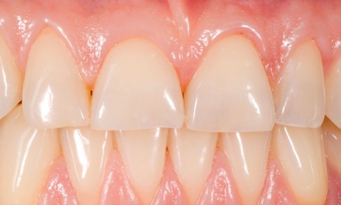
Article réservé à nos abonnés Usure érosive localisée : le principe de Dahl optimisé

Dans certaines situations cliniques d’usure dentaire essentiellement localisée au secteur antérieur, c’est-à-dire sans aucune, ou avec de faibles atteintes postérieures,...

Article réservé à nos abonnés Usure dentaire : normale ou pathologique ?

Cette idée est souvent mal comprise car actuellement, bien que moins développée, elle est souvent considérée comme pathologique. Pour ajouter...
Occlusodontologie

Article réservé à nos abonnés Occlusion et bruxismes

Dans une revue traitant de différents aspects de l’occlusion dentaire, il semble normal d’évoquer les modifications des morphologies dentaires au...
Occlusodontologie

Article réservé à nos abonnés Comment l’occlusion participe à la mastication

Physiologie de la mastication normale L’ingestion commence par le choix d’un aliment et finit par le passage du sphincter œsophagien...