• Aller au menu
  • Aller au contenu
  • Aller à la recherche
Information-dentaire.fr
IdWebformation.fr
Abcdent.pro
Congres-jip.fr
EditionsCdP.fr
Information dentaire - Le portail de la médecine Bucco-dentaire
Je m'abonne
Connexion
  • Information
    • Revues
    • Actualité
    • Formation
    • Vidéos
  • Services
    • Petites annonces
    • Formations DPC
  • Évènements
    • Agenda
    • Grands Prix
    • Webinars
    • Congrès JIP
  • Boutique
    • Abonnements
    • Revues
    • Librairie
    • Mon panier
  • Base documentaire
    • Effectuer une recherche
  • Facebook
  • Twitter
  • Linkedin
Information dentaire - Le portail de la médecine Bucco-dentaire
  • Rechercher

    Recherche avancée

  • Se connecter
  • Je m'abonne
  • Revues
  • Actualité
  • Formation
  • Vidéos
  • Annonces
  • Évènements
  • Journée ID – JIP
  • Kiosque / Librairie
  • Panier

Variole du singe

Santé publique

Variole du singe : l’OMS lève l’alerte maximale

Santé publique

Mpox : un an après le début de l’épidémie, la DGS appelle à la vigilance

Santé publique

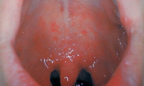
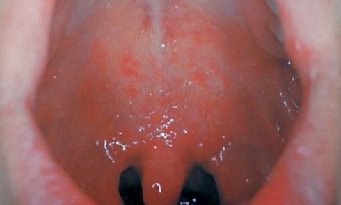
Variole du singe : les muqueuses buccales sont particulièrement touchées

Abonnement

Abonnez-vous pour recevoir la revue et bénéficiez des services en ligne
Je m'abonne

Application mobile

Retrouvez les éditions abonnés sur notre application mobile

Nos autres revues

Découvrez nos autres revues et abonnez-vous
Découvrir
  • Information
    • Actualité
    • Formation
    • Vidéos
    • Newsletter – s’inscrire
  • SERVICES
    • Petites annonces
    • Formations DPC
  • NOS REVUES
    • L’Information Dentaire
    • Réalités Cliniques
    • Stratégie Prothétique
    • Parodontologie Implantologie Orale
    • Biomatériaux Cliniques
    • Profession Assistant(e) Dentaire
    • L’Orthodontiste
  • BOUTIQUE
    • Abonnements
    • Kiosque
    • Librairie
  • événements
    • Agenda
    • Grands Prix
    • Webinars
    • Congrès JIP
  • À propos
    • Qui sommes-nous ?
    • Contacts
    • Mentions légales
    • Politique de confidentialité
    • Instructions aux auteurs
    • Protection des données auteurs
    • Facebook
    • Twitter
    • Linkedin
Gestion des cookies

L'Information Dentaire
est une société du groupe Philia Medical Editions

Êtes-vous un professionnel de santé ?