Zircone

Odontologie restauratrice

Article réservé à nos abonnés Parlons ensemble d’adhésion

Responsable scientifique : Alain Vanheusden Intervenant : Frédéric Raux Photo et schéma : © Frédéric Raux Le grand principe commun de l’adhésion...

Article réservé à nos abonnés Matériaux : une nouvelle mise en forme des céramiques, l’impression 3D

La CFAO apparaît dans l’industrie au cours des années 60. Le premier programme de CFAO est associé à Pierre Bézier,...
Implantologie

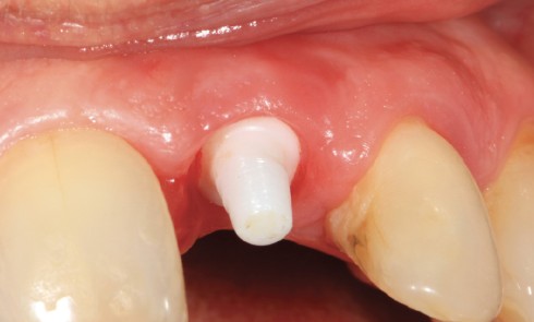
Article réservé à nos abonnés Zircone ou titane en implantologie orale, comment choisir ?

Loin de se satisfaire des performances des implants dentaires sur le marché, dont l’ostéointégration est majoritairement acquise, les chercheurs, sous l’impulsion...
Odontologie restauratrice

Article réservé à nos abonnés Pourquoi faudrait-il utiliser une solution de nettoyage des restaurations indirectes après l’essayage en bouche ?

Le succès clinique d’une restauration indirecte collée est dépendant de la qualité de la liaison entre la résine composite de collage et la surface...
Biomatériaux

Article réservé à nos abonnés Les couronnes tout céramique – Partie 2 – Quel choix dans le secteur postérieur ?

Cet article s’intègre dans une série d’articles dont le but est de guider le praticien dans la réalisation d’une couronne...
Esthétique

Article réservé à nos abonnés Céramiques en prothèse supra-implantaire : quelles options en 2020 ?

En prothèse plurale, la suprastructure prothétique est constituée d’une armature zircone stratifiée ou monolithique maquillée, transvissée directement (direct implant) ou...
Esthétique

Article réservé à nos abonnés Zircone et polissage

Questions… 1.  Existe-t-il plusieurs types de zircone avec différentes propriétés mécaniques ou optiques influençant les indications thérapeutiques ? 2. Les...
Prothèse amovible

Article réservé à nos abonnés Couronnes en zircone et prothèses amovibles à infrastructure métallique

Les prothèses amovibles à infrastructure métallique (PAPIM) nécessitent des préparations des dents support pour recevoir les éléments constitutifs du châssis...
Esthétique

Article réservé à nos abonnés Restauration prothétique fixée dans l’enfance : les couronnes pédiatriques en zircone

Les anomalies de structure des dents temporaires se manifestent par des atteintes très diverses : des anomalies de teinte, de morphologie,...
Implantologie

Article réservé à nos abonnés La zircone est-elle une alternative au titane en implantologie orale ?

La structure Le zirconium est un métal de transition du groupe IV et du sous-groupe du titane dans le tableau...
Biomatériaux

Article réservé à nos abonnés Zircone(s) – Partie 2 – Restaurations émaillées ou monolithiques ?

Dans la première partie de cet article [1], nous avons dressé le cahier des charges du biomatériau idéal et avons...