Vidéos cliniques - L'Information dentaire
Vidéos disponibles
2.2 – Enregistrement du Face Scan
Durée : 1:38 par Marwan Daas et Édouard Cristofari Vidéo issue de l’ouvrage « Prothèse Implantaire Biomimétique » Durée :…
Avec le soutien de
Article réservé à nos abonnés Derrière objectif, Qu’en pensez-vous ? Comment faire ? #3
Durée : 5:12 Réponse dans la mini-série « Derrière l’objectif » à suivre dans les numéros de PIO 2023 ! Par…
Une vidéo
Durée : 18:00 Ce mois-ci, le Pr Alexis Gaudin aborde : Les nouvelles techniques d’obturation à base de…
Une vidéo
Article réservé à nos abonnés Derrière objectif, Qu’en pensez-vous ? Comment faire ? #2
Réponse dans la mini-série « Derrière l’objectif » à suivre dans les numéros de PIO 2023 ! Par…
Une vidéo
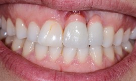
Article réservé à nos abonnés Derrière objectif, Qu’en pensez-vous ? Comment faire ? #1
Durée : 6:21 Réponse dans la mini-série « Derrière l’objectif » à suivre dans les numéros de PIO 2023 ! Par…
Une vidéo
Article réservé à nos abonnés IdPlus #14 – L’éclaircissement des dents vitales
Durée : 30:48 Ce mois-ci, le Dr Mélanie Giallo aborde L’éclaircissement des dents vitales Cette thérapeutique ultra-conservatrice, située…
Une vidéo
Newsletter
Inscrivez-vous à la newsletter pour recevoir chaque semaine l’essentiel de L’Information Dentaire
Je m'inscris