Vidéos cliniques - L'Information dentaire
Vidéos disponibles
Une vidéo
Durée : 48:00 Ce mois-ci, le Dr Chiara Pascali aborde L’analyse esthétique au service de la réhabilitation du sourire…
Une vidéo
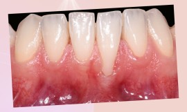
Article réservé à nos abonnés Derrière l’objectif : La greffe gingivale libre pas à pas
Durée : 11:38
Une vidéo
Article réservé à nos abonnés Idplus #10 – L’onlay en céramique
Durée : 24:11 Ce mois-ci, le Dr Hugues de Belenet aborde l’onlay en céramique. En s’appuyant sur un…
Une vidéo
Article réservé à nos abonnés Chirurgie Minimalement Invasive
Durée : 2:35 Nouvelle rubrique de la revue PIO – Le geste clinique derrière l’objectif Vidéo accompagnant le…
Une vidéo
Article réservé à nos abonnés Idplus #9 – La prévention des litiges au cabinet dentaire
Durée : 19:30 Ce mois-ci, le Dr Cédric Falla aborde : La prévention des litiges au cabinet dentaire Ce…
Une vidéo
Article réservé à nos abonnés Idplus #8 – La greffe gingivale libre
Durée : 18:10 Ce mois-ci, Le Pr Virginie Monnet-Corti et son assistant opératoire, le Dr Romain Ohanessian abordent…
Une vidéo
Durée : 25:15 Ce mois-ci, le Dr Pascal Karsenti aborde : L’extraction implantation immédiate mise en esthétique immédiate en…
Une vidéo
Article réservé à nos abonnés Idplus #6 – Le certificat médical initial du chirurgien-dentiste
Durée : 21:40 Ce mois-ci, le Dr Cédric Falla aborde : Le certificat médical initial du chirurgien-dentiste Après un rappel…
Une vidéo
Newsletter
Inscrivez-vous à la newsletter pour recevoir chaque semaine l’essentiel de L’Information Dentaire
Je m'inscris