Une patiente de 62 ans, brigadier-chef de police à la retraite, arrive avec une forte demande fonctionnelle et esthétique. Elle présente une usure stabilisée depuis le port de gouttière de libération occlusale. Avec le stress de sa profession, l’usure, à laquelle s’ajoutait érosion chimique découlant, l’a amenée en classe III. Pour lui permettre de retrouver une classe I tout en restaurant son calage postérieur et son esthétique antérieure, le plan de traitement envisagé se base sur une technique de three-steps [1].
Séquence clinique
Étapes de la technique de three-steps préalables aux restaurations semi-directes
Ce traitement consiste à augmenter la dimension verticale en trois étapes : onlays/overlays postérieurs, facettes palatines de canine à canine puis facettes vestibulaires de canine à canine. Pour réaliser des courbes de mastication idéales, après étude avec le laboratoire de prothèse, ce plan de traitement prévoit des restaurations de faible volume en résine composite directe des molaires maxillaires sans préparation.
Le choix de restauration nous oriente finalement vers une restauration semi-directe, rendue possible grâce à l’évolution de la qualité optique et de la résistance à l’usure des résines composites [2,3]. La patiente a conservé son mock-up sur ses 16 et 17 lors des phases de traitement.
Enregistrements préalables au fauteuil
À la fin de la séance de pose des facettes vestibulaires, les mock-up postérieurs sont éliminés et une empreinte en double mélange sur une demi-arcade est réalisée (Honigum Pro Putty Soft Fast et Light Fast, DMG). Un enregistrement de l’occlusion (fig. 1) est réalisé dans les secteurs postérieurs au silicone d’occlusion (O-Bite, DMG) avant de poser les cales provisoires au verre monomère pour assurer le calage en interséance. Le prochain rendez-vous de la patiente permettra le collage de ces pièces composites semi-directes et les photos finales du sourire sans l’anesthésie.
Préparation des modèles
Entre ces deux séances, le protocole suivant, simple et reproductible, peut commencer sans contrainte de temps.
Le mordu réalisé sert à confectionner un guide d’occlusion en coulant de la résine (Luxacrown, DMG) dans les faces occlusales de l’antagoniste (fig. 2). L’empreinte silicone double mélange est recouverte d’un film de glycérine. Un silicone rigide (Luxabite, DMG) y est injecté pour la coulée du maître modèle (fig. 3). Les dents à restaurer sont recouvertes d’un vernis à ongles transparent en couche très fine.
Stratification du composite Omnichroma
La restauration est réalisée par ajout progressif de composite (Omnichroma, Tokuyama Dental) directement sur le modèle (fig. 4) [4]. Les pièces prothétiques sont très fines ; ce choix de composite permet une correspondance chromatique optimale, adaptée au substrat dentaire. La sculpture est facilitée grâce aux instruments LM-Arte (Modella et Fissura) (fig. 5 et 6) et l’occlusion vérifiée à chaque étape grâce au mordu de résine qui guide la restauration (fig. 7). Ce sont deux faces occlusales et le point de contact est déjà existant ; par conséquent, il n’est pas nécessaire d’individualiser chaque dent (fig. 5).
Contrôle de l’occlusion et finitions
Une fois l’occlusion finale validée, les différents composites de maquillage sont apposés pour donner du relief, de la profondeur et du naturel aux pièces. Ces dernières sont photopolymérisées sous un gel de glycérine pendant deux minutes, pour assurer un taux de conversion maximal et une stabilité tridimensionnelle dans le temps.
Collage
Le champ opératoire est mis en place et son étanchéité est vérifiée. Comme pour un collage de composite de laboratoire, l’adaptation des pièces est validée en bouche. Les surfaces dentaires sont ensuite préparées par un sablage à 50 microns d’oxyde d’alumine et mordancées à l’acide orthophosphorique pendant trente secondes (fig. 8). La préparation de l’intrados des pièces comprend un sablage et une application de silane. L’adhésif est frotté, séché vigoureusement puis photopolymérisé dix secondes.
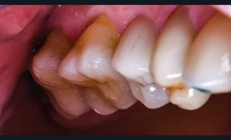
Pour le choix du matériau de collage, compte tenu ici de la finesse des pièces, notre choix de matériau de collage s’oriente vers un composite fluide (Estelite Universal Flow, Tokuyama Dental). Une matrice sectorielle postérieure est apposée entre les deux molaires et permet de ne pas coller les dents entre elles. L’utilisation d’un pinceau facilite l’élimination des excès de composite fluide. Une fois la photopolymérisation longue terminée, un mimétisme chromatique permet la bonne intégration esthétique des restaurations (fig. 9).
L’occlusion est réglée en statique et dynamique (fig. 10) [5], ces réglages étant grandement facilités par l’utilisation du guide d’occlusion en résine réalisé grâce au mordu. Les transitions sont adoucies et polies par le passage de soft lex spirales (3M) en deux étapes, puis celui des pointes caoutchouc, également en deux étapes.
Les figures 11 et 12 illustrent le sourire de la patiente avant et après sa prise en charge.
Conclusion
La technique de restauration semi-directe en résine composite fait désormais partie de l’arsenal thérapeutique du chirurgien-dentiste. Grâce à la qualité des matériaux d’aujourd’hui, elle est aussi fiable et pérenne qu’une restauration indirecte par usinage. Elle permet des épaisseurs extrêmement fines et n’est pas plus chronophage. Les restaurations peuvent s’effectuer en chair side ou en extemporané, comme ici. L’avantage principal par rapport à une technique directe est le contrôle de l’occlusion pendant la stratification, ce qui est impossible avec le champ opératoire et son crampon. Par conséquent, le maquillage occlusal sera possible en toute sérénité et les étapes de réglages grandement simplifiées.
adaptation chromatique d’une restauration semi-directe et résine composite innovante












Commentaires