L’analyse esthétique est la première étape de l’analyse globale et complète qu’attendent les patients lorsqu’ils demandent un « bilan ». Pour cela, une connaissance des critères esthétiques fondamentaux est le prérequis indispensable à toute analyse esthétique.
Jean-Christophe Paris, fondateur de l’Académie du sourire, abordera ce thème de l’analyse esthétique, qui permet au praticien de réaliser une analyse personnalisée du patient à partir des critères de beauté s’appliquant au sourire.
Il sera démontré que la restauration esthétique d’un sourire ne peut pas être abordée d’un point de vue purement intuitif au prétexte que seuls les opérateurs ayant des prédispositions artistiques peuvent réussir dans cette mission.
Cette tâche ne peut pas non plus être abandonnée au technicien de laboratoire qui n’a, en général, que très peu de contacts avec le patient et qui, au mieux, n’en voit que des photos.
Le praticien est le maître d’œuvre de ce sourire, mais il doit aussi en être l’architecte : il doit à la fois faire « beau, fonctionnel et durable ». Comme l’architecte, il doit collecter des informations avant tout traitement.
Aux habituels examens cliniques (radiographies, sondages, moulages d’étude) s’ajoutent les photographies, indispensables à cette étude.
Les études esthétiques ont d’abord existé sous forme papier avant d’être remplacées par des supports numériques :
– classiques, sur ordinateur ;
– sur iPad/tablettes qui augmentent l’interactivité avec le patient. Certaines applications proposent une prévisualisation, telles que Gett App®, Smile Designer Pro®, DSD app® et, dernièrement, EASY® (Esthetic Analysis by Smile academY).
Jean-Christophe Paris décrira l’application EASY®.
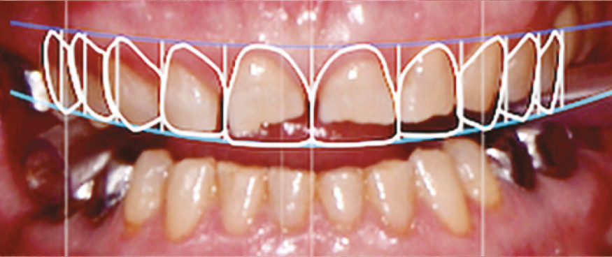
Pour chaque critère esthétique, un exemple de projet esthétique sera proposé, démontrant ainsi l’importance du diagnostic avant tout acte clinique, fut-il esthétique (fig. 1 et 2).
Cependant, depuis plusieurs années, les projets esthétiques (ou smile design) font l’objet de nombreuses publications. Fortement plébiscités mais également très décriés, qu’en est-il réellement ? Sont-ils réservés aux seules réhabilitations esthétiques ? Leur utilisation peut-elle être élargie ?
Christelle Giacomelli, chirurgien-dentiste, et Dominique Vinci, prothésiste dentaire, membres de Sens !, groupe d’experts internationaux en dentisterie digitale, feront le point sur les smile design et leurs différentes applications dans un exercice d’omnipratique.
Après un rapide rappel sur les principes d’élaboration des smile design, ils démontreront que, loin de la standardisation du sourire si souvent avancée par leurs détracteurs, la réflexion qui y conduit est au contraire une véritable personnalisation du sourire en fonction des critères esthétiques propres à chaque patient.
Bien que basé sur les dents antérieures du maxillaire supérieur, le projet esthétique ainsi composé permet au praticien une analyse plus globale, notamment dans les cas de perturbation du plan occlusal, par exemple lors de parafonctions (bruxisme, érosion…) (fig. 3).

Cette analyse n’échappe pas non plus au patient. Le smile design devient alors un magnifique moyen de communication avec les patients, qui perçoivent ainsi rapidement les problématiques de leur traitement.
Grâce aux outils numériques qui intègrent cette fonctionnalité, les patients peuvent facilement se projeter dans leur « nouveau sourire », même si cela ne nous dispense pas d’une validation clinique en 3D par un masque (ou mock-up) positionné en bouche.
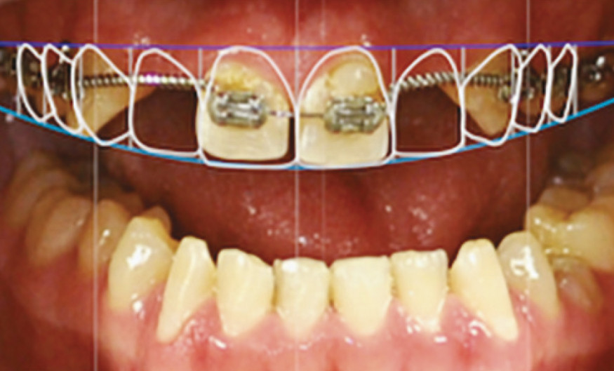
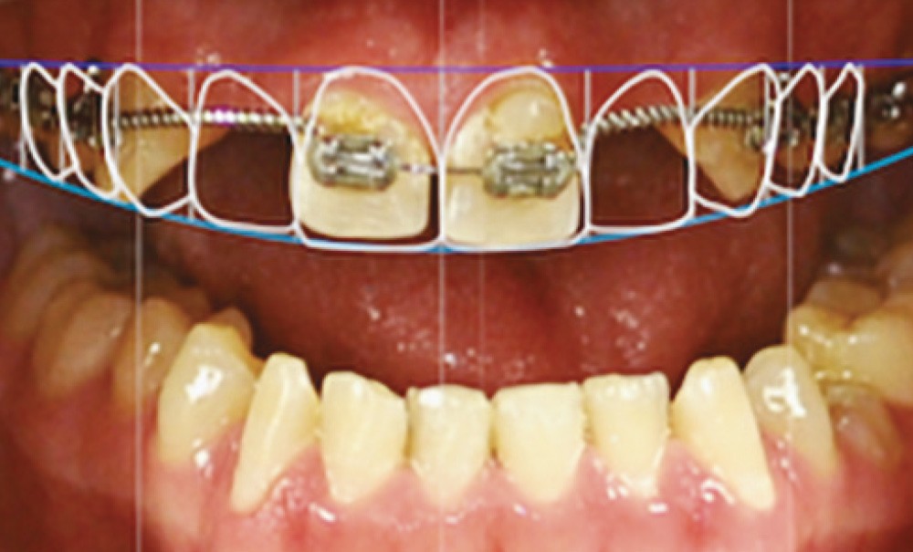
Les conférenciers mettront en lumière le fait que l’utilité du smile design ne s’arrête pas au diagnostic. C’est également un trait d’union entre les différentes spécialités de notre profession.
Christelle Giacomelli et Dominique Vinci décriront son utilisation en synergie avec le spécialiste en orthodontie ou en implantologie, par exemple faisant apparaître que les objectifs de traitement sont ainsi clairement définis entre les différents correspondants, et ce afin d’optimiser les résultats (fig. 4).

Enfin, ils aborderont largement la communication et la complémentarité cabinet-laboratoire.
Le technicien de laboratoire n’a que rarement la possibilité de rencontrer le patient. Même si le recours aux photos et vidéos se démocratise au sein des cabinets, elles ne suffisent pas à percevoir la personnalité et les attentes des patients aussi fidèlement que les entretiens menés au cabinet.
L’élaboration du projet esthétique par le praticien permet de tracer un calque pour l’élaboration du wax-up par le technicien. Nous verrons qu’il est maintenant possible de superposer les informations en 2D fournies par les photos et le smile design à la 3D (modèles et scans faciaux) grâce aux outils numériques qui ont largement intégré les laboratoires de prothèse.
Quelle que soit la technique utilisée, le recours au smile design ou projet esthétique remet le patient au centre du traitement. Il permet de récolter et transmettre un maximum d’informations aux différents protagonistes. Utilisé et repris tout au long du traitement, depuis le diagnostic jusqu’à la réhabilitation prothétique finale, il assure une pérennité des objectifs fixés en accord avec le patient.
Des démonstrations en direct d’utilisation de scanners faciaux, d’applications de smile design en réalité augmentée, permettront de percevoir leur intérêt.
Venez participer activement à une analyse esthétique réalisée, étape par étape, avec les conférenciers et vous repartirez, samedi matin, le sourire aux lèvres, convaincus de l’intérêt de ces « smile design » !
Et le lundi matin, vous vous surprendrez en train de dire à vos patients : « Souriez, vous êtes filmés ! ».
Points de vue E107 – Analyse esthétique : souriez, vous êtes soigné !
Samedi 30 novembre – 9h-10h30
Responsable scientifique : Thomas Sastre
L’analyse du sourire : n’oublions pas les fondamentaux !
Jean-Christophe Paris
Smile Design : pour qui, pour quoi ?
Christelle Giacomelli, Dominique Vinci


Commentaires