Cette revue de littérature, rédigée par Mourshed et ses collaborateurs, sous la direction de Kern, propose d’évaluer le taux de survie du concept de bridge collé en extension sur une seule ailette et d’évaluer l’influence du matériau choisi. 12 études proposant un suivi de 3 à 18 ans ont ainsi été retenues et analysées.Dans ce concept, la préparation dentaire ne participe pas directement à la rétention, qui repose uniquement sur les propriétés adhésives du protocole d’assemblage. La longévité clinique rapportée par la plupart des études est excellente (entre 80 et 100 %) et le taux de satisfaction des patients supérieur à 90 %.
Les principales causes d’échecs concernent le décollement en premier lieu puis les fractures de connexion des infrastructures en céramique, qui surviennent tous deux plus fréquemment au maxillaire, mais sans être liés à la dent remplacée, incisive centrale ou latérale. Les cas de décollement rapportés par cette revue concernent principalement les infrastructures métalliques, également prises en compte, mais peuvent être aussi corrélées à la forme et à la résistance de la dent support ou au matériau d’assemblage. L’emploi de résine composite contenant des monomères phosphates (MDP) est validé par plusieurs études mentionnées pour l’assemblage des infrastructures en céramique sans phase vitreuse comme la zircone, mais les auteurs insistent sur la nécessité de sabler à l’alumine la surface de l’ailette avant assemblage. De plus, l’emploi de la digue lors de l’assemblage jouerait aussi un rôle important dans le succès. Quoi qu’il en soit, toutes les prothèses décollées ont pu être recollées durablement sans autres problèmes ultérieurs. Aucune carie n’a été observée sous l’ailette. L’occlusion peut être aussi un facteur important de décollement et l’élément en extension ne doit pas recevoir de contacts dans les mouvements excurcifs, de même que certaines habitudes alimentaires traumatisantes (aliments très durs) ou comportementales (onychophagie…).
Les fractures de connexion, exclusivement observées sur les infrastructures en céramique, sont attribuées à de multiples facteurs comme la surface de la connexion et le rayon de courbure des embrasures autour de la connexion. Aucune fracture de connexion n’a été observée avec les infrastructures en zircone. Des rotations mineures de la dent support ont été rapportées dans seulement deux cas pour toutes les études retenues et aucune mobilité dentaire ou perte de support osseux n’ont été décrites.
Questions à…
MCU-PH à l’Université de Paris Descartes Membre du Groupe International de Bioémulation
Pratique Privée, Paris
Les bridges antérieurs en céramique collés en cantilever constituent l’un de vos sujets de prédilection. Quels sont pour vous leurs avantages et leurs indications privilégiées, en particulier face à l’option implantaire ?
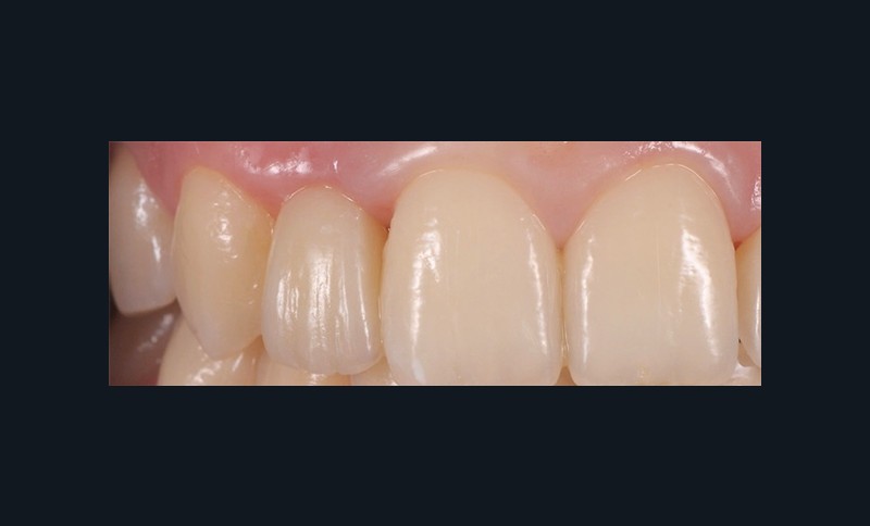
Les bridges collés en céramique bénéficient d’une intégration biologique et esthétique optimale. Assemblés sur une seule dent point d’appui, ils permettent d’échapper au problème de la mobilité différentielle souvent rencontrée dans le cas des bridges collés conventionnels à deux appuis, ce qui réduit le risque de décollement, donc de carie sous l’ailette. L’accès à l’hygiène y est aussi facilité.
Ils constituent une alternative subtile, contemporaine et réaliste à l’implant antérieur, en particulier dans les situations d’agénésie des latérales ou de traumatisme sur des sujets adolescents ou jeunes adultes en croissance. L’implant posé précocement induit fréquemment un problème d’harmonie des lignes de collets des prothèses implanto-portées par rapport aux dents naturelles adjacentes qui poursuivent leur évolution. Cette observation est souvent à l’origine de doléances esthétiques à un âge adulte plus avancé, en particulier lorsque la ligne du sourire est haute, posant ainsi le délicat problème de la réintervention… Ces bridges cantilever sont donc tout à la fois une alternative possible à l’implant unitaire tout en étant complémentaires.
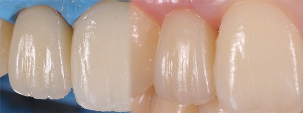
Vous préférerez, pour l’infrastructure, l’emploi de la vitrocéramique renforcée au disilicate de lithium plutôt que la zircone. Pour quelles raisons ?
Les vitrocéramiques renforcées au disilicate de lithium présentent une meilleure aptitude au collage que la zircone, mais surtout de meilleures propriétés esthétiques dans un secteur d’arcade qui nécessite une immense exigence.
Cependant, mécaniquement plus fragile que la zircone, une surface de la connexion de 12 mm2 au minimum doit impérativement être réalisée pour ce matériau, sans aucun compromis. En dessous de cette valeur, nous choisirons la zircone.
Quels sont selon vous les points de vigilance particuliers à observer pour espérer les meilleures chances de succès ?
En premier lieu le contexte occlusal qui nous conduit souvent à indiquer un temps orthodontique, en particulier dans les situations de classe 2 (problème lié à la supracclusion), afin d’augmenter un peu l’« overjet » et de diminuer l’« overbite » pour être le plus conservateur possible au niveau de l’émail palatin de la dent point d’appui.
Parallèlement, l’absence ou l’insuffisance de calage occlusal postérieur contre-indiquera de facto la réalisation en l’état du bridge collé cantilever antérieur.
La surface de connexion, déjà évoquée, est un facteur incontournable de résistance mécanique.
Le contrôle et le réglage précis de l’occlusion avec :
– en OIM, des contacts répartis sur l’ailette palatine et sur l’intermédiaire de bridge ;
– en propulsion, seule l’ailette palatine prend en charge la guidance antérieure tandis que l’intermédiaire est déchargé.
Enfin, on indiquera pour l’heure raisonnablement le bridge collé cantilever en céramique dans les cas de remplacement des incisives latérales et des centrales maxillaires et mandibulaires.
Quelles sont les principales difficultés à surmonter dans la mise en œuvre de ce traitement ?
En cas de temps orthodontique, il faut s’assurer de la contention des dents antérieures lors des différentes étapes de réalisation du bridge collé cantilever.
Lors du collage, la mise en place du champ opératoire peut générer un effet « trampoline » au niveau de l’intermédiaire de bridge. L’utilisation de ce que j’ai appelé la « clé de collage », réalisée au laboratoire, permet un positionnement précis du cantilever lors du collage en s’opposant justement à cet effet « batracien » du champ opératoire.




Commentaires