Odontologie restauratrice – Battle C69
Jeudi 30 novembre – 16h/17h
Responsable scientifique : François Bodic
Conférenciers : Jean-François Lasserre, Anthony Atlan
Objectifs
• Savoir choisir une technique de réalisation des masques (mock-up)
• Savoir réaliser une temporisation
• Maîtriser une technique de collage (protocoles et matériaux)
Contradictions et désaccords : 3 points clefs pour la réalisation de facettes en céramique
La pose de facettes en céramique est une technique peu délabrante, en bonne place dans le gradient de mutilation [1], avec un taux de survie supérieur à celui des composites par stratification. Pourtant, de nombreux confrères hésitent encore à réaliser ce type de restauration, certaines étapes étant considérées comme difficiles, peu fiables ou contraignantes. Si l’on se réfère aux différentes formations, de nombreux conférenciers présentent leurs habitudes ou leurs techniques personnelles qui diffèrent et parmi lesquelles on peut se perdre. L’indication posée, il n’existe pas de technique universelle pour chaque étape. L’étude clinique du cas sera toujours complétée par la réalisation d’un projet esthétique.
Le projet esthétique avec 3 variantes
1. Le projet esthétique transféré en bouche : mock-up ou masque peut être réalisé directement en bouche à l’aide de composites [2]. La technique est simple si les références esthétiques sont bonnes (longueurs, largeur des dents, positionnement des bords libres, alignement des collets…) et une certaine dextérité manuelle pour un résultat directement visible par le patient.
2. Le mock-up peut être réalisé à partir d’un wax-up fait par le praticien ou le prothésiste sur des répliques coulées d’empreintes surfaciques réalisées en bouche. Le praticien peut alors faire un guide en silicone pour transférer le wax-up en bouche [3]. Avec un silicone transparent, le masque peut être réalisé en composite fluide injecté et photopolymérisé à travers le silicone. Avec un silicone traditionnel pour empreinte en double mélange, le masque doit être réalisé en résine chémopolymérisalble. Certains utilisent aussi une gouttière thermoformée stabilisée par un silicone de laboratoire rigide pour réaliser le masque en résine. Quel que soit le matériau, ce premier masque peut être modifié par une technique cut-back composite pour améliorer l’esthétique.
3. La dernière possibilité consiste à réaliser un projet esthétique numérique à partir d’empreintes numériques et de photos du visage du patient [4], un modèle pouvant être réalisé en résine, la mise en place du masque est faite comme dans la technique précédente à partir de guides et de clefs. Dans certaines conditions, le mock-up peut être réalisé directement par le prothésiste à partir d’empreintes physiques ou du projet numérique.
La temporisation pose souvent question
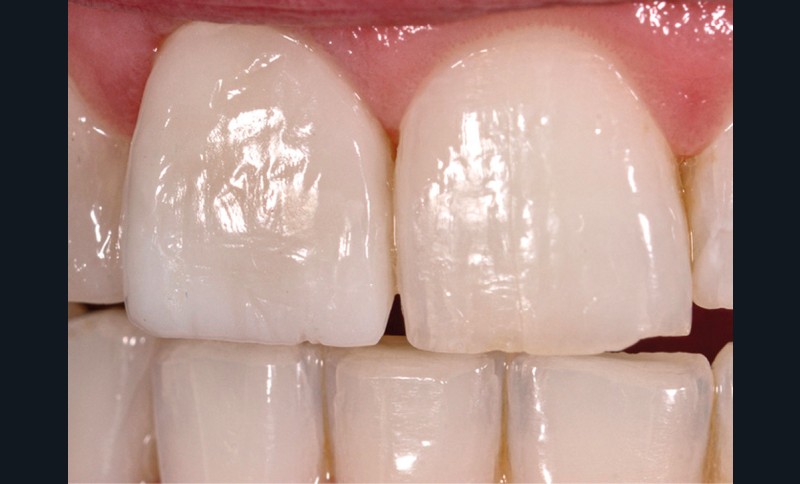
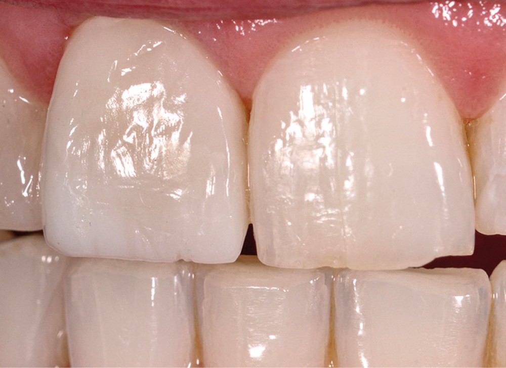
Les provisoires peuvent en effet poser de nombreux problèmes : Quels matériaux choisir ? Doit-on sceller ou coller les facettes provisoires ? Cette étape est très importante, l’esthétique doit être acceptable, la plus proche possible du projet final (forme, couleur, luminosité…). La protection des dents préparées est impérativement assurée et la fonction et le parodonte marginal préservés. Ces facettes provisoires doivent rester stables en bouche pendant toute la durée de la temporisation, parfois assez longue, et être déposées intégralement sans dégrader la préparation réalisée. Un contact intime des facettes d’usage sur la surface dentaire est assuré pour permettre un collage parfait (fig. 1 à 3).
Le collage : une étape essentielle pour la pérennité des restaurations
« Aujourd’hui, on peut affirmer que l’on peut tout coller, mais pas avec n’importe quoi et surtout pas en s’y prenant n’importe comment » [5].
Le collage demande rigueur et application. Tout commence par le choix de la colle [6]. Si de nombreuses colles existent sur le marché, notre choix se recentre sur des colles sans potentiel adhésif, des colles universelles, et des composites fluides. Ces matériaux assurent une esthétique parfaite du joint de collage et, au-delà de la force d’adhésion immédiate (mise en évidence dans les batailles de l’adhésion) [7], une adhésion en bouche assurant la pérennité de la restauration. Lors de cette étape, il est indispensable de respecter les protocoles de mise en œuvre, en tenant compte aussi de la nature des céramiques utilisées qui justifie certaines variantes de protocoles [8]. Si le collage renforce la résistance de l’élément prothétique et de la dent, il faut être particulièrement attentif à la qualité et à la vitesse de polymérisation. Une photopolymérisation trop rapide risque, par le retrait de prise du matériau de collage, de provoquer des fêlures de la facette de faible épaisseur, et ne permettra pas d’enlever facilement les excès de colle.
Ces points essentiels seront abordés par les conférenciers au cours de cette « battle », les arguments avancés par chacun vous permettront de faire votre choix entre les différentes techniques proposées.



Commentaires