Pouvez-vous nous dire ce que signifie l’acronyme MIH et nous préciser les caractéristiques de ces atteintes de l’émail, qui semblent de plus en plus fréquentes ?
Elsa Garot : L’acronyme anglo-saxon MIH a été officiellement adopté par l’European Academy of Paediatric Dentistry (EAPD) en 2001 pour définir les hypominéralisations molaires incisives (molar incisor hypomineralisation) [1]. Les MIH correspondent à une anomalie de structure qualitative de l’émail et se caractérisent par la présence d’hypominéralisations sur au moins une première molaire permanente (PMP). Elles sont relativement fréquentes puisqu’elles affectent presque un patient sur cinq, mais avec des degrés de sévérité variables. Plus le défaut sera foncé, plus l’émail sera poreux. Ainsi, les patients peuvent se présenter avec de légères opacités blanches ou avec des délabrements plus importants impliquant une perte de fonction.
Patrick Rouas : L’une des problématiques de cette pathologie est que les étiologies restent à ce jour inconnues. L’aspect multi-factoriel fait consensus auprès de la communauté scientifique. Plusieurs conditions nocives réunies pourraient augmenter le risque de survenue des MIH de manière additive ou même synergique. Les MIH correspondent à une altération de la fonction des améloblastes lors de la phase de maturation [2]. Cette modification intervient entre la fin de la grossesse et les six premiers mois de vie de l’enfant [3, 4]. Plus d’une trentaine d’hypothèses étiologiques ont été recensées depuis ces dix dernières années comprenant les maladies de la petite enfance, des problèmes survenant lors de l’accouchement, une contamination par des polluants environnementaux, une consommation d’antibiotiques ou encore une prédisposition génétique [5]. Notre équipe (laboratoire PACEA, UMR5199, Université de Bordeaux) a montré récemment que les MIH datent de plusieurs siècles, ce qui réfute l’hypothèse d’étiologies contemporaines uniques comme les polluants environnementaux, même si ceux-ci peuvent expliquer l’apparente recrudescence de cas ces dernières années [6].
Un orthodontiste, dans sa structure, peut-il facilement identifier cette anomalie de structure ?
Quelles sont les clés du diagnostic ? Comment les différencier des autres anomalies de l’émail ?
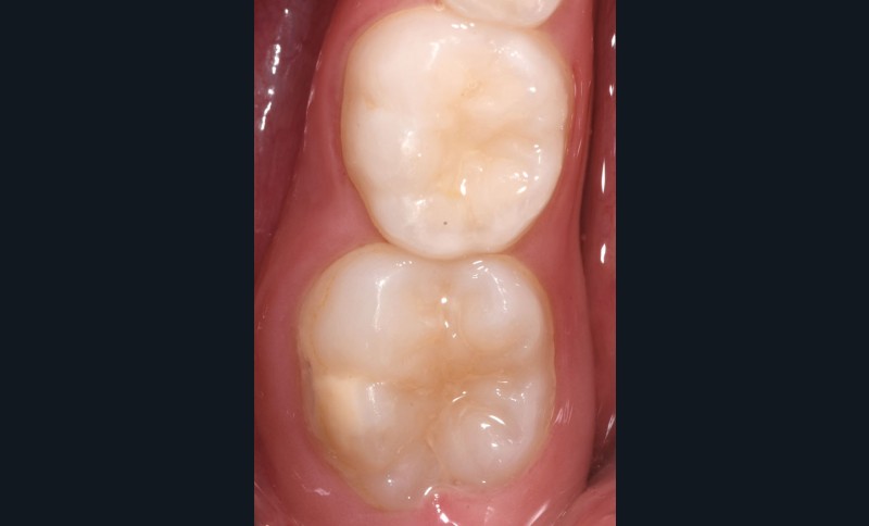
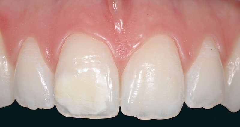
EG : Bien sûr ! Les critères de diagnostic des MIH ont été clairement définis par consensus en 2003 par l’EAPD. Ces hypominéralisations se manifestent par des opacités de l’émail bien délimitées qui peuvent être blanches, beiges ou jaune-brunes (fig. 1). La répartition sur les dents de ces opacités est souvent asymétrique et leurs étendues inégales. Le tiers cervical est la plupart du temps indemne. Dans deux tiers des cas, les incisives permanentes sont également impliquées, mais des hypominéralisations sur d’autres dents permanentes ont également été décrites telles que sur les canines ou sur les secondes molaires permanentes. Ces hypominéralisations sur des secondes molaires temporaires (éventuellement les canines temporaires) peuvent également être un signe prédictif de MIH et sont dénommées hypomineralised second primary molars (HSPM, en français hypominéralisation des secondes molaires temporaires).
PR : Différents types de dents peuvent être impliquées dans les MIH et/ou les HSPM et nous laissent à penser que le diagnostic différentiel le plus fréquemment évoqué par les praticiens est l’amélogenèse imparfaite héréditaire (AIH). Cependant, cette dernière est d’origine génétique et affecte toutes les dents. De plus, les deux dentures de l’individu sont atteintes, ce qui permet de la différencier des MIH. Les hypominéralisations pouvant être retrouvées dans les AIH sont plutôt symétriques et peuvent atteindre le tiers cervical, ce qui est rarement le cas dans les MIH.
Les lésions carieuses font également partie des grandes sources de confusion et peuvent constituer une conséquence des MIH. Des premières molaires permanentes sévèrement délabrées, alors que le reste de la denture est sain, doivent faire évoquer un éventuel diagnostic de MIH.
À partir de quel niveau d’atteinte doit-on se poser la question d’avulsion éventuelle des premières molaires permanentes ?
PR : Dès lors que l’émail est hypominéralisé, nous savons que nos protocoles d’adhésion seront moins efficaces. La réalisation de restaurations adhésives nécessite l’élimination de l’intégralité de l’émail hypominéralisé pour obtenir des marges non affectées garantes de l’étanchéité de la restauration coronaire et d’une adhésion optimale. Ces restaurations sont réalisées chez de jeunes patients, et nous pouvons nous poser la question de leur pérennité dix ou vingt ans plus tard.
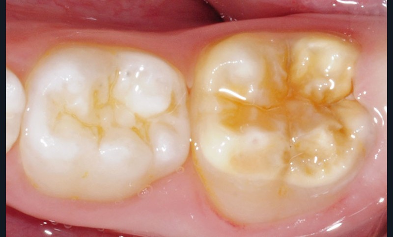
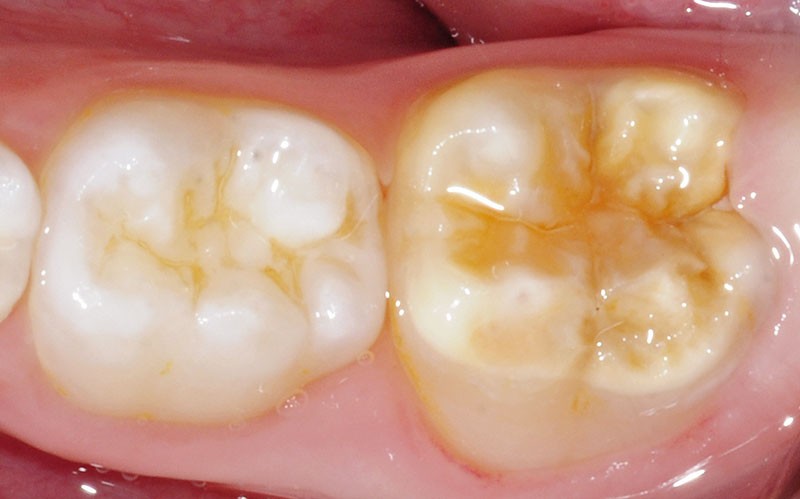
EG : L’endodonte est également souvent impliqué lorsque l’atteinte est sévère ou que se surajoutent des lésions carieuses. Se pose alors la question de la coopération et de l’acceptation de ce type de soin par l’enfant, dont l’anxiété est augmentée suite aux réinterventions multiples de chirurgiens-dentistes. En effet, les échecs sont la plupart du temps liés à des difficultés d’anesthésie de ces dents ou à des restaurations défectueuses. D’un point de vue purement technique, l’étendue de la surface impliquée ainsi que la couleur (jaune-brun en particulier) rendent le pronostic de ces dents défavorable (fig. 2 et 3). Évidemment, le manque de coopération de l’enfant sera un facteur aggravant.
PR : La conservation de la vitalité pulpaire à travers des thérapeutiques minimalement invasives est essentielle. À partir du moment où cette vitalité ne peut plus être conservée, la question de l’avulsion de ces premières molaires se pose. Il convient de vérifier la présence des germes des troisièmes molaires en position exploitable et la possibilité de proposer un traitement orthodontique avec extractions.
Quel rôle peut avoir l’orthodontiste dans la prise en charge des MIH ?
PR : L’orthodontiste va avoir plusieurs rôles en fonction de l’étape à laquelle le patient consultera. Son rôle ne se limitera pas seulement au diagnostic mais pourra également comprendre des actions ou des thérapeutiques préventives telles que l’enseignement de méthodes de brossage, de conseils alimentaires, la prescription d’un dentifrice fluoré et de crème à base de CPP-ACP (phosphopeptide caséine-phosphate de calcium amorphe) permettant la reminéralisation de cet émail hypominéralisé. Lorsque l’avulsion d’une première molaire est envisagée, l’orthodontiste peut préférer temporiser et attendre l’âge qui lui semblera le plus opportun pour l’avulsion de cette dent.
Conjointement à la prise en charge du patient par un chirurgien-dentiste, les solutions thérapeutiques transitoires pourront être discutées, en l’absence de toute symptomatologie infectieuse ou douloureuse. La mise en place de bagues peut également servir de sertissage aux restaurations transitoires, en attente d’une restauration définitive à la fin du traitement ODF.
EG : À l’inverse, le chirurgien-dentiste peut anticiper et protéger les dents atteintes afin de prévenir d’éventuelles fractures postéruptives de l’émail à la dépose des bagues. Ce travail conjoint peut impliquer la pose de coiffes ou de restaurations préalables à la mise en place de bagues. De plus, éliminer les premières molaires permanentes sévèrement atteintes par une MIH, en présence de germes de troisièmes molaires en position correcte et si un plan de traitement orthodontique avec extraction est envisageable, c’est donner une chance à l’enfant d’avoir des dents saines.
Peut-on coller efficacement sur les lésions de type MIH des dents antérieures ?
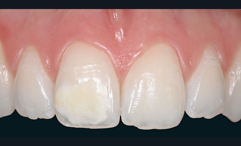
EG : D’un point de vue histologique, les lésions de type MIH débutent à la jonction émail-dentine et, en fonction de leurs sévérités, elles atteignent parfois la surface de l’émail (fig. 4). Les défauts blancs n’affectent généralement pas la couche superficielle de l’émail, donc le collage réalisé en surface est similaire à un émail sain. Seuls les défauts sévères (beige-jaune ou bruns) vont réduire la capacité d’adhésion de l’émail pour le collage des brackets (fig. 5). L’émail hypominéralisé contient une quantité plus importante de protéines inhibant l’infiltration des résines [7]. Certaines études suggèrent de réaliser un pré-traitement à l’hypochlorite de sodium (5 %) afin de déprotéiniser l’émail hypominéralisé. Son application serait plus efficace lorsqu’elle est réalisée après l’étape de mordancage/rinçage de l’émail et avant la mise en place de l’adhésif [8].
PR : En ce qui concerne le choix du type de système adhésif, à l’heure actuelle, aucune étude n’a pu mettre en évidence qu’une génération particulière d’adhésif apportait de meilleurs résultats sur un émail hypominéralisé. Si le protocole est respecté et que l’isolation est parfaite, l’adhésion sera optimale.
La résine TEGMA (Icon®, laboratoire DMG) peut pénétrer et sceller l’émail hypominéralisé qui est poreux en améliorant la liaison ultérieure du matériau composite à l’émail hypominéralisé. La résine va également augmenter les propriétés mécaniques de l’émail hypominéralisé, même si la pénétration de la résine n’est pas homogène dans la lésion. Dans les cas les plus sévères ou si le patient souhaite améliorer l’esthétique de son sourire, un protocole d’érosion/infiltration en profondeur associé à une restauration par un matériau composite (masse émail) préalable au traitement ODF peut également être réalisé [8-10].n




Commentaires