De l’enfant vers l’adulte, puis vers l’enfant…
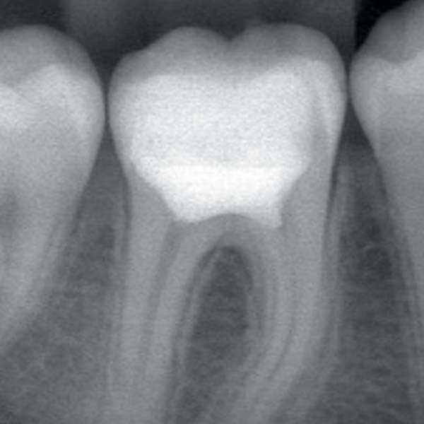
La pulpotomie a longtemps été considérée en odontologie pédiatrique comme une solution intermédiaire d’attente. Utilisée pour traiter des dents immatures sur lesquelles le traitement canalaire est complexe, la pulpotomie camérale permet de conserver la vitalité pulpaire nécessaire à la poursuite de la radiculogenèse et sa finition par l’apexogenèse.
Le terme « apexogenèse » renvoie à une notion biologique et non thérapeutique. L’apexogenèse est le processus de développement dentaire qui conduit à la fermeture apicale de la dent et à la mise en place de son apex (apexogenèse) qui fait passer la dent d’un stade « immature » au stade de « mature ». Une fois cette maturité acquise après traitement par pulpotomie camérale, le praticien se sent très souvent en confiance pour réaliser le traitement canalaire, et réintervient alors pour réaliser la pulpectomie de la dent.
Par cette approche, on comprend que l’indication de la pulpotomie camérale, dans ce contexte, est guidée par une conception très mécanique de l’endodontie. Car finalement, sur le plan biologique, qu’est-ce qui peut justifier cette seconde intervention ?
Il est intéressant de constater que la plupart de nos actes sont guidés par des hypothèses, elles-mêmes orientées par l’expérience clinique ; la nôtre ou celle de nos pairs.
Il n’existe pas à ce jour de démonstration scientifique de l’intérêt d’intervenir secondairement sur la dent pour réaliser sa pulpectomie. Ni sur l’intérêt de ne pas le faire d’ailleurs !
Sur le plan biologique, la logique voudrait qu’on ne réintervienne pas sur cette dent. Si la radiculogenèse et l’apexogenèse ont pu se mettre en place, c’est bien que la pulpe est vivante, et en bonne santé. Si l’étanchéité coronaire est observée, que pourrait-il lui arriver ensuite, qui pourrait justifier d’éliminer ce tissu biologique et le remplacer par un matériau inerte et synthétique ?
La pulpotomie comme traitement permanent
Depuis quelques années, l’intérêt de la pulpotomie camérale comme thérapeutique permanente sur la dent adulte est ressuscité de ses cendres. Souvent considéré comme traitement de seconde zone, force est de constater que les nombreuses études cliniques réalisées sur le sujet tendent toutes à démontrer la pertinence de traiter une dent dont la pulpe est exposée, voire inflammatoire, par un coiffage profond, au niveau des entrées canalaires.
On justifie souvent ce regain d’intérêt par le développement de nouveaux matériaux, bioactifs, qui auraient rendu possible cette technique jusque-là écartée de notre arsenal thérapeutique.
Si ces matériaux sont d’un intérêt indéniable, ils ne sont pas les seuls responsables de cette reconversion !
C’est probablement le fort regain d’intérêt pour le tissu pulpaire et la renaissance de l’intérêt pour les techniques de préservation de la vitalité pulpaire, comme le coiffage direct, qui ont permis de réviser les objectifs d’un traitement endodontique.
L’endodontie ne se restreint plus au seul traitement canalaire
L’endodontie est trop souvent restreinte, à tort, à la seule notion de traitement canalaire. Pourtant, toutes les techniques de préservation et de compréhension du tissu in situ font partie de la discipline. Les progrès réalisés dans le domaine de l’instrumentation endo-canalaire, avec l’apparition du nickel-titane et de l’approche mécanisée, ont largement facilité les procédures de préparation et donc d’obturation canalaire. L’intérêt de conserver la vitalité pulpaire a donc reculé pendant une vingtaine d’années.
Mais l’odontologie étant en permanente évolution, les considérations plus préservatrices de tissu pour une odontologie contemporaine moins invasive nous ont conduits à reconsidérer la préservation de la pulpe plutôt que de procéder systématiquement à la pulpectomie et au traitement canalaire.
La pulpotomie camérale peut s’intégrer à ce titre comme une étape supplémentaire des traitements dentaires disponibles pour la conservation d’une dent. Elle vient s’insérer entre le coiffage pulpaire, dont le pronostic reste difficile à anticiper, et le traitement canalaire, considéré comme invasif et mutilant quand l’indication n’est pas clairement justifiée.
Dans cette séance, nous reviendrons sur les indications du traitement par pulpotomie camérale. Nous verrons comment les données scientifiques publiées sur la dent permanente mature ont permis de justifier une approche thérapeutique utilisée en odontologie pédiatrique depuis des années. Nous verrons également pourquoi ce traitement peut dorénavant, dans certaines situations, être considéré comme permanent et non intermédiaire.
Et tout cela, avec un équilibre et une balance juste entre hypothèse de laboratoire, expérience clinique et preuve scientifique (ou en tout cas clinique)
Si vous voulez tout savoir sur la pulpotomie camérale cette année à l’ADF en osant poser toutes les questions, retrouvez-nous le mercredi 27 novembre dans la séance B44.
L’Essentiel B44 – Faut-il dépulper la première molaire permanente chez l’enfant ?
Mercredi 27 novembre – 16h/17h
Séance en Interprétation simultanée
français/anglais
Responsable scientifique : Sibylle Vital
Conférencier : Stéphane Simon


Commentaires