6, 7, 8 mai 2015
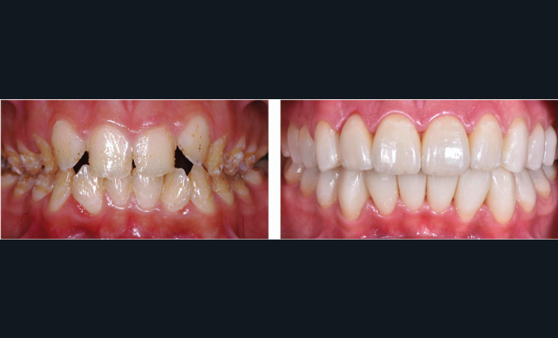
La dentisterie céramique adhésive apporte des solutions nouvelles grâce à une dentisterie biomimétique donnant une esthétique et une fonction optimales avec un coût tissulaire minimal. Face à une demande esthétique, le premier réflexe doit être de privilégier l’orthodontie, la moins mutilante des thérapeutiques. Viennent ensuite les techniques très esthétiques de collage de céramiques (facettes et microfacettes), souvent combinées aux méthodes d’éclaircissement des dents. L’idée est de régénérer (greffe conjonctive, régénération osseuse) ou de recréer les organes absents (implants versus bridge traditionnel) pour éviter ou repousser les échéances de prothèses mutilantes (dépulpations des dents, bridge complet, prothèse amovible) à un âge plus avancé. Sous l’éclairage du tryptique décisionnel coût/santé/sécurité, cette approche peu invasive est efficace à long terme.
Cette révolution de la dentisterie dite biomimétique et a minima n’est possible que par l’intermédiaire d’un tripode fondamental :
– un changement de pratique et de concept de traitement afin de répondre au mieux aux réalités des matériaux modernes (le praticien met l’organe dentaire et sa préservation au cœur de ses préoccupations). La dentisterie a minima devient ainsi la norme, on entre dans l’ère de la biomimétique ;
– une collaboration étroite grâce à une communication importante avec le prothésiste ;
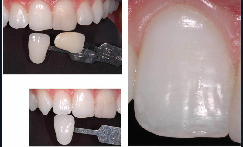
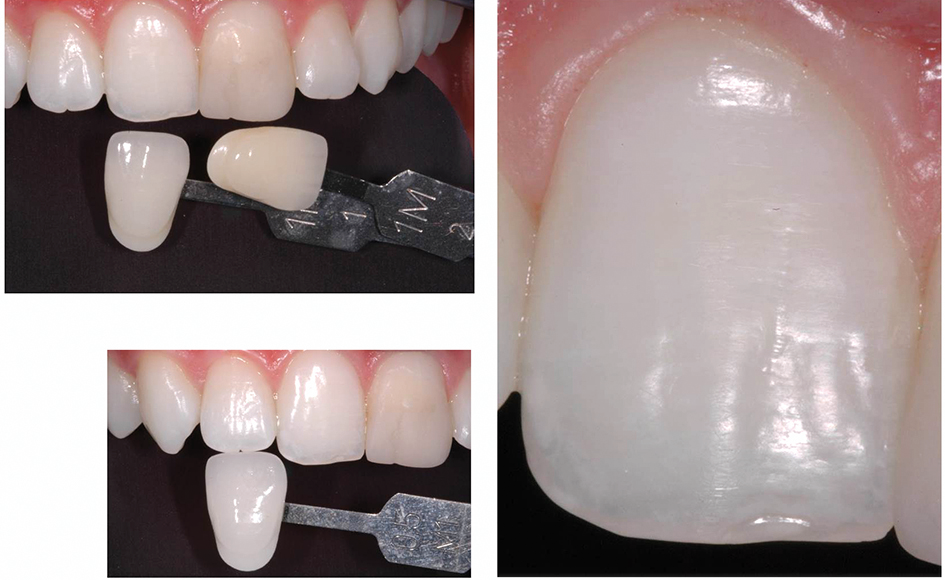
– le recours à des matériaux modernes disposant d’une aptitude au collage afin de répondre aux impératifs biologiques (moins préparer les dents), esthétiques (des restaurations toujours plus naturelles), biomécaniques (des restaurations toujours plus fines, mais aussi plus résistantes grâce au collage).
Ces trois piliers de la réussite méritent d’être développés afin de comprendre comment le praticien peut satisfaire les exigences élevées des patients dans sa pratique quotidienne.
Pendant longtemps, les impératifs biologiques et esthétiques étaient antagonistes. Avoir de belles dents était synonyme de délabrement important. La préparation dentaire était guidée par le cahier des charges des matériaux. Aujourd’hui, le beau rime avec préparation a minima.





Commentaires