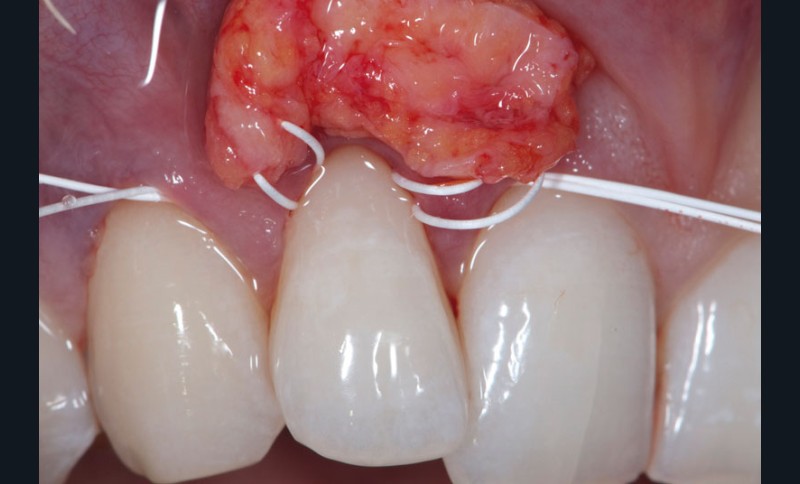
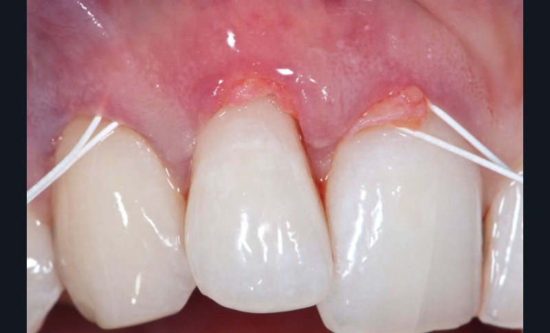
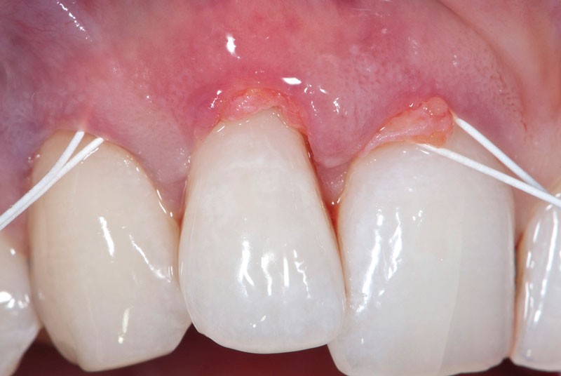
Le concept de microchirurgie a montré un intérêt croissant ces dernières années. Il permet au clinicien de réaliser des interventions chirurgicales très précises et atraumatiques avec des instruments plus petits et des sutures plus fines. Mais, y a-t-il des bénéfices cliniques mesurables ? Les principes de microchirurgie procurent-ils de réels avantages s’ils sont comparés aux concepts conventionnels de chirurgie parodontale ? La conférence du Docteur Zuhr répondra à ces questions et présentera une synthèse des innovations et des évidences scientifiques dans ce domaine.
Otto Zuhr est spécialisé en parodontologie et en implantologie. Il est assistant-professeur à l’Université de Frankfort dans le Département de Parodontologie. Depuis 2008, il est associé avec le Docteur Markus Hurzeler dans leur clinique à Munich. Ils sont également co-auteurs de l’ouvrage best-seller Chirurgie plastique en chirurgie parodontale et implantaire (Quintessence, 2012).
Journées dentaires de Nice
- Publié le . Paru dans L'Information Dentaire
6, 7, 8 mai 2015 – Aperçu des conférences
Jeudi 7 mai : « Appliquer les principes de microchirurgie en parodontologie et en implantologie », conférence du Dr Otto Zuhr
Jeudi 7 mai : « Appliquer les principes de microchirurgie en parodontologie et en implantologie », conférence du Dr Otto Zuhr





Commentaires