«L’environnement est la clé d’une meilleure santé » [2]. Cet état de fait nous place face aux défis de santé publique actuels et la situation écologique dramatique engendrée par nos modes de vie « modernes ». Selon l’Organisation mondiale de la santé (OMS), 23 % des décès et près du quart des maladies chroniques dans le monde peuvent être imputés à des facteurs environnementaux parmi lesquels la pollution atmosphérique, les microplastiques, les perturbateurs endocriniens et bien d’autres polluants chimiques présents dans notre environnement. Face à cette urgence sanitaire, des actions systémiques de promotion de la santé et de maîtrise de ces facteurs exogènes sont nécessaires pour amorcer une meilleure prise en charge des populations et ambitionner d’inverser les courbes épidémiologiques et la part des populations souffrant de cancers, maladies cardiovasculaires, diabète, obésité, maladies autoimmunes, troubles neurocomportementaux ou encore troubles de la reproduction. Si les défauts dentaires sont des marqueurs d’exposition à certains toxiques environnementaux, nous devons pouvoir en tirer avantage pour intégrer des actions de prévention finement adaptées.
L’émail, disque dur des expositions environnementales précoces
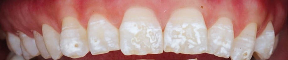
L’émail dentaire, tissu le plus dur et le plus minéralisé du corps humain, peut être affecté par des anomalies génétiques inscrites dans le génome de l’individu, mais également par des facteurs environnementaux. Ces facteurs sont multiples et signent un événement ou une exposition à un xénobiotique au cours de la vie de l’individu. Parmi les atteintes développementales acquises de l’émail, outre la fluorose, figurent les hypominéralisations à type de MIH (Molar Incisor Hypomineralization). Celles-ci sont observées de manière caractéristique sur une ou plusieurs premières molaires permanentes et potentiellement les incisives permanentes éruptant vers l’âge de 6 à 7 ans d’après la description qui en a été faite en 2001 [3] (fig. 1 à 3). La prévalence est importante, la MIH touchant, selon les méta-analyses les plus récentes, plus de 13 % des individus dans le monde, et peut varier selon les études et les pays dans lesquels elles sont menées [4, 5]. Son étiologie est encore incertaine, mais la communauté scientifique s’accorde sur le fait qu’elle serait multifactorielle et notamment en lien avec la survenue d’une hypoxie à la naissance, de fortes fièvres, des épisodes infectieux de la sphère ORL dans la petite enfance ou encore avec une prédisposition génétique [6]. Cette pathologie aurait toujours existé, mais sa prévalence semble être en nette augmentation. Peu d’études ont été réalisées sur cette évolution dans le temps [7].
Les cellules responsables de la synthèse de l’émail, les améloblastes, disparaissant au moment de l’éruption des dents, les défauts de structure et de qualité de l’émail sont irréversibles. L’émail dentaire est ainsi capable d’enregistrer des événements environnementaux ayant eu lieu lors de sa formation. Ces défauts sont donc en quelque sorte le disque dur des contaminations que les améloblastes ont subies. De ce fait, le défaut de minéralisation caractérisant le MIH est le signe d’une exposition environnementale délétère intervenue au cours de la période périnatale (période d’amélogenèse des dents impactées par le MIH), soit environ 5 ans avant leur éruption (fig. 4).
Pollutions environnementales et émail dentaire
Le défaut amélaire peut révéler l’exposition à des contaminants piégés dans le minéral telles que la tétracycline ou être lié à des altérations de l’activité cellulaire survenues au cours de sa formation. Plusieurs études expérimentales et épidémiologiques ont déjà fait le lien entre l’exposition à des perturbateurs endocriniens tels que la dioxine ou les biphényles polychlorés (PCB) chez les enfants vivant à proximité de zones de pollution chimique et des défauts de développement de l’émail à type d’hypominéralisation* [8].
En France, des travaux sur le lien entre santé dentaire et pollution chimique ont été initiés grâce à la découverte fortuite de chercheurs travaillant sur les effets des perturbateurs endocriniens. Ils ont observé que les populations d’animaux exposés à certains perturbateurs endocriniens, tels que les bisphénols et les phtalates, présentaient plus fréquemment des dents cassées avec des discolorations. Les incisives des rongeurs présentent la particularité d’être à croissance continue, contrairement aux dents humaines, et permettent donc d’observer les modifications de l’émail en temps réel, même à l’âge adulte. Ces scientifiques ont observé que les améloblastes expriment à leur surface des récepteurs hormonaux parmi lesquels ceux des œstrogènes et des androgènes [9]. Ces récepteurs ont la capacité de moduler l’expression de gènes impliqués dans la minéralisation de l’émail. C’est ainsi que certains perturbateurs endocriniens peuvent venir altérer l’amélogenèse de manière irréversible chez un individu par les régulations transcriptionnelles directes ou épigénétiques en modulant le niveau d’expression des gènes cibles sans en modifier la séquence.
Ainsi, dès 2013, les travaux d’une équipe de chercheurs de l’Inserm et de l’Université Paris Cité, composée notamment de chirurgiens-dentistes, avaient permis d’associer altération de l’émail des rats étudiés et exposition à de faibles doses de bisphénol A, classé depuis perturbateur endocrinien avéré. Les lésions observées évoquaient des défauts de structure de l’émail identique à ceux observés dans la MIH [10].
Plus récemment, d’autres travaux ont cherché à savoir si l’exposition de populations de souris au di-2-ethylhexyl phthalate ou DEHP, perturbateur endocrinien de la famille des phtalates (voir encadré), pouvait être associée à des défauts amélaires [1]. Dans cette étude, les rongeurs, mâles et femelles, ont été exposés à de faibles doses de DEHP de manière chronique (0,5, 5 et 50 µg/kg/j correspondant à un niveau d’exposition équivalent ou inférieur à la dose journalière tolérée par la réglementation qui concerne spécifiquement les matériaux en contact avec les aliments établie par l’Autorité européenne de sécurité des aliments (EFSA) en 2019).
Différentes analyses ont été réalisées à l’issue de 12 semaines d’exposition. Les observations macroscopiques ont révélé la présence de colorations, opacités ou fractures, celles d’ordre microscopiques ont recensé les variations de densité minérale de l’émail. Celles-ci ont été complétées par des analyses histologiques sur coupes sagittales des incisives des souris mettant en évidence des degrés différentiels de minéralisation de l’émail lors du stade de maturation en fonction des conditions expérimentales citées ci-dessus et par des analyses biochimiques quantitatives des améloblastes alliant mesures des niveaux d’expression des gènes clés de l’amélogénèse (particulièrement l’améloblastine et l’énaméline) avec ceux des récepteurs androgènes et œstrogènes. Enfin, les modifications de dureté de l’émail ont été évaluées par des tests de nano-mécanique.
Ces analyses ont permis de conclure que le DEHP agit directement sur les améloblastes et perturbe le développement de l’émail de la souris de manière dose-dépendante. Les modifications étaient plus importantes à la dose d’exposition de 50 µg/kg/j qu’à celle de 5 µg/kg/j et étaient absentes à 0,5 µg/kg/j. Deuxième constat intéressant : les mâles sont plus sensibles que les femelles au développement des défauts de l’émail. Plusieurs hypothèses peuvent être avancées pour expliquer cette différence, parmi lesquelles figurent les particularités toxicologiques du DEHP – observé de manière expérimentale comme étant pro-oestrogénique et anti-androgénique – qui différent selon la nature du perturbateur endocrinien observé.
Les résultats de ces études suggèrent l’implication de perturbateurs endocriniens dans l’hypominéralisation de l’émail et dans la MIH. Le DEHP, à l’instar du bisphénol A, pourrait contribuer au développement de cette pathologie. Les dents atteintes signeraient une exposition précoce à ce polluant.
Le rôle du chirurgien-dentiste dans la promotion de la santé environnementale
Un consensus a émergé autour de la période dite des « 1 000 premiers jours » qui commence dès la conception et qui s’étend jusqu’aux 2 ans de l’enfant. Tous les experts s’accordent sur le fait que cette période (et même la période préconceptionnelle) est une fenêtre de vulnérabilité extrême face aux facteurs environnementaux. Grâce au développement d’études sur la DOHaD – ou origine développementale des maladies –, nous savons à présent que des expositions ayant affecté un organisme au cours de la vie fœtale ou la petite enfance peuvent augmenter le risque de voir se développer un grand nombre de pathologies à l’adolescence ou à l’âge adulte, voire au cours des générations suivantes [11]. Considérer l’émail dentaire comme le reflet des conditions environnementales très précoces des individus et, de manière plus générale, la sphère orale comme la cible et le marqueur d’exposition à de nombreux facteurs environnementaux devient un enjeu de santé publique.
L’observation et la compréhension précise des interactions de cet écosystème pourront alors aider à prévenir de nombreuses pathologies orales et générales [12]. Les défauts amélaires, une fois précisément caractérisés, permettront d’observer à l’œil nu les conséquences d’une exposition précoce à des perturbateurs endocriniens sans aucune autre forme d’analyse invasive ou coûteuse en temps et en matériel qu’un examen bucco-dentaire. Plusieurs chercheurs en France issus de différents Universités et Instituts, dont l’INSERM et le CNRS, s’attellent à faire de cette possibilité une réalité. Cependant, les résultats de leurs recherches et les opportunités qu’elles pourraient présenter sont trop peu repris et encouragés par la recherche clinique et les chirurgiens-dentistes eux-mêmes. Par exemple, a contrario de plusieurs pays dans le monde, aucune publication internationale ne rend compte de la prévalence du MIH en France, ce qui est un frein à l’observation de l’évolution de cette prévalence dans le temps. Cette pathologie est encore classée dans la catégorie des pathologies à niveau de preuves insuffisant selon la revue de littérature réalisée dans le cadre du rapport de l’étude PEPS’PE de l’agence Santé publique France, publié en 2019, qui vise à prioriser les effets sanitaires à surveiller dans le cadre de son programme de surveillance lié aux perturbateurs endocriniens.
Développer auprès des chirurgiens-dentistes et assistantes dentaires la formation et la sensibilisation à la promotion de la santé environnementale** – qui n’est pas la santé de l’environnement mais bien le fait de considérer l’environnement, qu’il soit local ou global, comme un déterminant majeur de la santé – favoriserait ce pouvoir d’action au plus près des patients. Bien que cette nécessité de formation initiale et continue ait été objectivée dans plusieurs textes officiels tels que les Plans nationaux santé environnement ou la 2e Stratégie nationale sur les perturbateurs endocriniens, l’offre reste anecdotique sur le terrain et non institutionnalisée.
Les enjeux de santé publique liés au MIH sont multiples
Les leviers à activer dès maintenant pour répondre aux enjeux de santé publique liés à la MIH sont nombreux. C’est d’abord le développement de la collaboration avec les professionnels de santé de la petite enfance. Ceux-ci, dont les médecins généralistes, doivent être sensibilisés au tableau clinique de la MIH – différent de celui de la fluorose ou de l’amélogenèse imparfaite par son caractère asymétrique et sa localisation préférentielle aux molaires et incisives permanentes – afin de favoriser son dépistage et sa prise en charge précoce.
C’est aussi l’occasion d’une collaboration interdisciplinaire entre le chirurgien-dentiste et le corps médical. Une fois le diagnostic de MIH réalisé au cabinet dentaire, le suivi spécifique et systématique des enfants pourrait permettre d’identifier plus précocement d’autres pathologies liées aux mêmes pollutions environnementales. Les actions de prévention secondaire pourront être sollicitées auprès des spécialités médicales concernées (voir l’entretien avec le Dr Patricia Rannaud-Bartaire). Selon les recherches actuelles, l’exposition précoce au bisphénol A ou aux phtalates pourrait faire craindre un risque d’apparition plus fréquente, dans les années suivant cette exposition, de différentes pathologies diagnostiquées le plus souvent après plusieurs années, parmi lesquelles figurent : puberté précoce, trouble du comportement, surpoids ou encore cancer hormono-dépendant. Une étude a d’ailleurs évalué de manière positive l’association entre MIH et les troubles du déficit et de l’attention avec ou sans hyperactivité (TDAH) [13].
Évoquer la MIH comme une conséquence d’un facteur environnemental, c’est aussi une opportunité pour le praticien et son équipe de considérer de manière globale l’impact des polluants chimiques sur la santé des individus et des écosystèmes utilisés au quotidien au sein des cabinets dentaires. Comme pour les médicaments, l’usage de certains produits de soins dentaires, utilisés pour la prophylaxie buccale, ou les matériaux de dentisterie adhésive, utilisés lors des traitements restaurateurs et orthodontiques, nécessite l’évaluation préalable de la balance bénéfice-risque et le respect des conseils de précaution et d’usage, notamment chez les publics les plus vulnérables. Pour les biomatériaux, plusieurs études ayant permis d’observer par exemple le relargage de monomères de bisphénol A suite à l’utilisation et à la mise en place d’adhésifs et de résines composites sur les dents, il est indispensable de respecter les protocoles et le temps de polymérisation propres à maîtriser le relargage éventuel de ces monomères. Fabricants et praticiens souhaitent une amélioration de la gestion de ces risques associés et une évolution favorable de la composition des matériaux. Plus de recherches sont cependant nécessaires pour cerner les risques liés à la question d’une exposition chronique à faible dose, à l’effet cocktail ou synergique entre les différents polluants potentiels de la sphère buccale, aux propriétés spécifiques de celle-ci, notamment l’hyperperméabilité de la muqueuse sublinguale.
Selon les chercheurs, les données expérimentales publiées doivent être consolidées et mises en relation plus finement avec les données épidémiologiques et les résultats des études de cohortes mère-enfant. Néanmoins, le fait de reconnaître que les dents sont sous influence hormonale face au défi de santé publique représenté par les perturbateurs endocriniens et l’épidémie mondiale de maladies chroniques est un levier majeur, encore trop largement inexploité. Nous sommes face à une situation écologique et sanitaire inquiétante qui risque de compromettre notre bien-être considéré jusqu’à présent comme un fait établi et durable pour les plus favorisés d’entre nous. Tous les leviers susceptibles de participer à la réponse à y apporter sont à considérer. Chirurgiens-dentistes, assistantes dentaires et l’ensemble des parties prenantes de nos professions ont un rôle à y jouer.
*Les PCB sont des composés synthétiques largement utilisés dans la fabrication des gaines
isolantes électriques dont l’usage est aujourd’hui interdit. Ce sont des polluants organiques persistants. Ils continuent donc, malgré la réglementation, de polluer les milieux naturels.
**La santé environnementale est définie par l’OMS comme comprenant « les aspects de la santé humaine, y compris la qualité de la vie, qui sont déterminés par les facteurs physiques, chimiques, biologiques, sociaux, psychosociaux et esthétiques de notre environnement. Elle concerne également la politique et les pratiques de gestion, de résorption, de contrôle et de prévention des facteurs environnementaux susceptibles d’affecter la santé des générations actuelles et futures ».
Les phtalates : sources d’exposition et risques associés
Les phtalates sont un groupe de produits chimiques industriels utilisés dans de nombreux produits du quotidien, notamment pour assouplir les plastiques. Il existe plusieurs types de phtalates classés selon leur taille et présentant des propriétés chimiques et des activités variables. Certains sont nocifs pour la santé en interférant avec le système hormonal ou en provoquant des allergies.
Les voies d’exposition sont principalement orale, cutanée ou inhalatoire. Les phtalates n’étant pas chimiquement liés aux matériaux auxquels ils sont ajoutés, ils sont très volatils.
L’usage de certains phtalates a fait l’objet de réglementations à l’échelle européenne, dont le DEHP qui est classé dans la catégorie cancérogène, mutagène ou reprotoxique (CMR) toxique pour la reproduction et depuis 2021 reconnu comme perturbateur endocrinien*. La molécule peut nuire à la fertilité ou au fœtus et interférer avec son système hormonal. Certains phtalates affectent le développement sexuel des garçons, ce qui peut conduire à l’infertilité à l’âge adulte. Il existe en effet des preuves de relations entre l’exposition au DEHP et la distance anogénitale chez les garçons mais également un risque accru d’obésité infantile, de naissance prématurée, de diabète de type 2, une dégradation de la qualité du sperme ou encore le développement d’une endométriose**. D’autres études font le lien entre exposition aux phtalates et troubles du développement neurocomportemental de l’enfant à type de trouble du déficit de l’attention avec ou sans hyperactivité (TDAH) ou de retard de langage***.
*Agence européenne des produits chimiques (ECHA). Phtalates. https://echa.europa.eu/fr/hot-topics/phthalates
**Kahn L, Philippat C, Nakayama S, Slama R, Trasande L. Endocrine-disrupting chemicals: implications for human health. Lancet Diabetes Endocrinol 2020 ; 8 (8) : 703-18.
***Engel S et al. Prenatal phthalates, maternal thyroid function, and risk of attention-deficit hyperactivity disorder in the norwegian mother and child cohort. Environ Health Perspect 2018 ; 126 (5) : 057004.
Témoignage sur le lien entre santé environnementale et santé orale
Alice Baras : En tant que pédiatre endocrinologue, quelles évolutions des pathologies environnementales constatez-vous au cours de votre exercice, lesquelles vous alarment le plus ?
Patricia Rannaud-Bartaire : En fréquence, on observe une augmentation de toutes les pathologies endocriniennes pendant l’enfance, et un décalage de leur survenue dans le temps. Elles se déclarent de plus en plus précocement. Plusieurs études ont permis d’observer une augmentation des hypothyroïdies congénitales, en particulier les formes transitoires et modérées, liées probablement à l’environnement, ou des pubertés précoces chez les filles. Les études sont encore insuffisantes pour évaluer l’évolution épidémiologique précise des autres pathologies au sein de la population.
Le plus souvent, il ne s’agit pas de pathologies graves. Néanmoins, elles sont très préoccupantes car le fait qu’elles augmentent en fréquence est le reflet d’un terrain à risque de développer des pathologies plus graves ensuite, parmi lesquelles troubles de la fertilité, endométriose, syndrome des ovaires micro-polykystiques (SOPK), cancer du sein. C’est aussi pour le jeune patient atteint, l’entrée dans une première maladie chronique.
Dans ma pratique clinique, j’observe régulièrement que les mêmes jeunes patients cumulent parfois déjà plusieurs pathologies environnementales. Par exemple, un patient présentant une précocité pubertaire peut présenter également une hypothyroïdie auto-immune débutante, un surpoids, des troubles du neurodéveloppement (Troubles du déficit et de l’attention avec ou sans hyperactivité (TDAH), une dyslexie sévère, des troubles du spectre autistique, des troubles du comportement) et lors de l’examen bucco-dentaire, je diagnostique souvent les symptômes d’une MIH associée.
Il n’y a hélas aujourd’hui aucune étude qui ait été menée pour évaluer la prévalence de ce tableau clinique. Il serait particulièrement intéressant, par exemple, de mener une étude interdisciplinaire entre endocrino-pédiatres, neuro-pédiatres et odontologistes pour compléter l’étude faisant le lien entre TDAH et MIH.
A. B. : Comment accueillez-vous les résultats des études menées par l’équipe du Dr Sylvie Babajko, à l’origine de plusieurs publications sur le lien entre défauts de l’émail et exposition précoce aux perturbateurs endocriniens.
P. R.-B. : Ces études permettent de confirmer qu’il y a des fenêtres de vulnérabilité pendant la grossesse et que des expositions à des polluants environnementaux ont un impact sur des organes précis à des moments précis de la vie.
Ils montrent aussi qu’un même polluant, ici le DEHP, peut avoir des effets sur plusieurs organes ou systèmes comme en témoignent de nombreuses études sur les phtalates. Enfin, leurs résultats soulignent l’intérêt de développer ces recherches et de faire évoluer les recommandations professionnelles cadrées pour se servir du MIH comme marqueur précoce d’exposition aux perturbateurs endocriniens.
Les enjeux sont très importants. On constate néanmoins que cette maladie est encore mal connue, même des chirurgiens-dentistes. Pour le seul diagnostic, elle est souvent confondue avec la fluorose ou une mauvaise hygiène bucco-dentaire*.
C’est aussi intéressant pour rappeler le double enjeu face auquel se trouve le chirurgien-dentiste : cette maladie dentaire d’origine environnementale et le risque d’exposer les patients et eux-mêmes aux perturbateurs endocriniens ou substances cancérigènes mutagènes reprotoxiques via leur pratique et certains produits de soin dentaire. Il est indispensable de prévenir les expositions dangereuses pendant la période des 1000 jours et l’adolescence, et de mettre en place des actions de prévention sur les lieux de travail pour les femmes chirurgiens-dentistes désireuses d’enfants, enceintes ou allaitantes.
A. B. : Face à un patient présentant une puberté précoce, contactez-vous le dentiste afin de prévenir l’exposition via les matériaux dentaires ?
P. R.-B. : Pour cette pathologie, les facteurs sont anténataux, il est trop tard en quelque sorte. Sa découverte est néanmoins l’occasion de détecter une MIH associée afin de prévenir et d’accompagner le risque de caries avec leur dentiste et, surtout, d’informer les parents des sources d’exposition aux perturbateurs endocriniens, et de les aider à les maîtriser par des conseils simples à intégrer dans leur quotidien. L’exposition via les médicaments, dispositifs médicaux ou cosmétiques est bien sûr à considérer.
*Propos appuyés par les résultats d’une étude menée dans le cadre d’une thèse d’exercice en 2017 auprès de 336 omnipraticiens et 32 orthodontistes. Soumis à un questionnaire portant sur le diagnostic de MIH, l’enquête révèle que 48,2 % des chirurgiens-dentistes et 25 % des orthodontistes ont posé un mauvais diagnostic.
Source : Craveia J. Evaluation des connaissances actuelles et prise en charge des MIH par les chirurgiens-dentistes et orthodontistes de Nouvelle Aquitaine. Thèse pour l’obtention du diplôme d’état en chirurgie dentaire. Université de Bordeaux. 2018.
Patricia Rannaud-Bartaire,
Pédiatre endocrinologue à l’Hôpital Saint Vincent – Lille
Le Dr Patricia Rannaud-Bartaire est à l’origine de la création du site pédagogique www.lesperturbateursendocriniens-mamaison.com et d’un programme de recherche, l’étude PENELOPE, une étude clinique qui a pour objectif d’analyser l’impact des perturbateurs endocriniens sur les pubertés précoces.
Pour soutenir l’étude clinique PENELOPE, vous pouvez vous rendre via le site pédagogique www.lesperturbateursendocriniens-mamaison.com, suivre le lien « soutenir l’étude PENELOPE », vous recevrez immédiatement votre attestation afin de bénéficier des avantages fiscaux auxquels vous donne droit tout don à la recherche.






Commentaires