Responsable scientifique : Michèle Reners
En dentisterie, tous nos actes sont liés, les tissus dentaires et parodontaux forment une entité fonctionnelle. Le parodonte est indispensable à la vie de la dent, à son maintien sur l’arcade. La stabilité des tissus parodontaux est essentielle en dentisterie restauratrice et esthétique, qu’elle soit dento-portée ou implanto-portée. Lorsque les parodontites sont avancées, la pénétration des bactéries pathogènes et des médiateurs de l’inflammation, en se disséminant par la circulation sanguine, vont avoir un rôle néfaste dans un grand nombre de maladies systémiques : diabète, maladies cardio-vasculaires, maladies inflammatoires, voire certains cancers. Leur traitement participe à l’amélioration de la qualité de vie des patients par le maintien de la fonction masticatoire, la qualité du sourire, la diminution de l’halitose, l’absence de douleurs.
Pour tout praticien, la difficulté du traitement parodontal est d’établir la bonne harmonie entre la dimension relationnelle et l’abord technique.
L’approche relationnelle est essentielle en omnipratique, car les maladies parodontales sont des maladies silencieuses que le praticien doit prendre le temps d’expliquer afin de modifier le comportement du patient. C’est une posture méthodologique qui, dans l’exercice quotidien, comprend deux étapes : tout d’abord celle du diagnostic, qui intègre le dépistage, l’analyse des facteurs de risque et le bilan parodontal, puis celle de « la motivation » qui comprend l’information, l’éducation à l’hygiène buccale et à une bonne hygiène de vie.
L’abord technique sera aussi traité en deux temps : le temps non chirurgical qui est essentiel dans le traitement initial et lors du traitement de suivi, et le temps chirurgical qui devient de moins en moins invasif et est adapté aux objectifs du patient. Les modalités de traitement suivent un schéma général, mais sont individualisées en fonction des souhaits de chaque patient.
Selon Iain Chapple, le dépistage et l’évaluation des risques sont systématiquement intégrés car, ensemble, ils facilitent le diagnostic. Les rendre systématiques modifiera l’orientation de notre pratique et entraînera un changement de perception du patient. Grâce à une bonne compréhension de ses facteurs de risque, le patient deviendra attentif et recherchera les moyens d’améliorer son profil. Il sera motivé par le fait de retrouver une bonne santé et le changement de comportement souhaité sera obtenu. L’évaluation des risques et le bon diagnostic permettent d’individualiser rapidement le traitement. Cette individualisation se fera sur la base du bilan clinique, mais aussi sur la compréhension et l’engagement du patient. La nouvelle classification des maladies parodontales a un double objectif : aider le patient à mieux comprendre sa maladie et guider le clinicien à préciser son plan de traitement.
Les nouveaux outils d’évaluation aident à faire la différence pour les patients et notre exercice. Pour le praticien, l’organisation systématique facilite et simplifie le protocole, ce changement ne peut qu’avoir des effets économiques positifs et une gestion de planification bénéfique.
Dagmar Slot est une hygiéniste dentaire, elle intervient en partenariat avec les chirurgiens-dentistes pour développer le deuxième temps de la dimension relationnelle nécessaire à l’éducation thérapeutique. L’objectif est de renforcer la compréhension de la maladie par le patient, de l’amener à modifier son comportement pour le rendre actif, efficace et pérenne. Ce champ, nouveau pour la plupart des praticiens, est spécifique, car il fait appel à des méthodes pédagogiques, des techniques motivationnelles qui sont la base de l’activité d’hygiéniste dentaire (fig. 1). Savoir écouter, reformuler, conseiller, répond à un schéma général qui est adapté à chaque situation et illustré par des situations cliniques. C’est donc en fonction du bilan clinique, de l’analyse des risques et de la réponse au traitement étiologique du patient que le choix du traitement peut être proposé. La bonne compréhension réciproque est un préalable à l’instrumentation.
Le choix de l’instrument et des techniques non chirurgicales développé par Gilles Gagnot est guidé par l’objectif du traitement : désorganiser les biofilms et éliminer les dépôts. Le choix de l’instrumentation a évolué pour répondre au but qui est le contrôle de l’infection et pas seulement le lissage des racines. Selon la profondeur de poche et la complexité radiculaire, il existe de nombreux types de curettes et différentes formes d’inserts dont le nombre en omnipratique peut être réduit. L’utilisation d’une quantité limitée d’instruments permet une meilleure maîtrise de ceux-ci et accroît l’efficacité.
Les instruments manuels sont limités aux curettes de Gracey et les instruments ultrasonores aux micro-inserts (fig. 2a et b). Seules leurs formes et tailles réduites permettent de pénétrer au fond des poches. Les avantages et inconvénients seront discutés. Le choix du débridement ultrasonique répond aux objectifs du contrôle de l’infection par la désorganisation et l’élimination des biofilms. La stratégie et l’organisation proposées peuvent s’adapter aussi bien dans le traitement initial que dans le suivi tout au long de la vie du patient. Si le traitement étiologique est toujours nécessaire, il peut être insuffisant en fonction des objectifs de traitement ; c’est un préalable aux techniques chirurgicales.
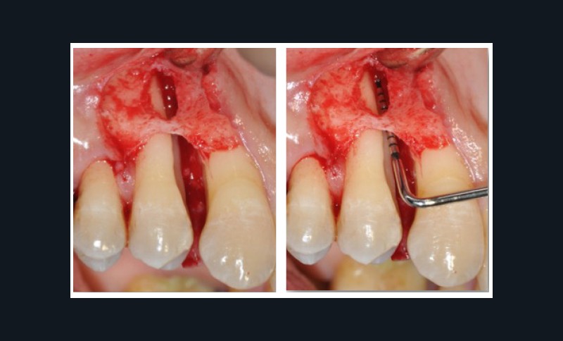
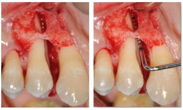
Quand et comment intervenir par voie chirurgicale ? C’est la question à laquelle Filippo Graziani tentera de répondre car, si les techniques de débridement non chirurgical ont permis de repousser les limites des indications chirurgicales, celles-ci sont encore nécessaires (fig. 3a et b). Le choix chirurgical dépend à la fois des objectifs définis initialement avec le patient et des résultats du traitement étiologique. Les séances de chirurgie peuvent être généralisées ou localisées, et faire appel aux différentes techniques d’assainissement, de résection ou d’addition, avec la possibilité de régénération tissulaire par apport de biomatériaux.
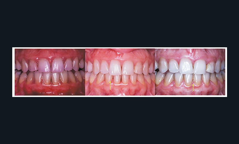
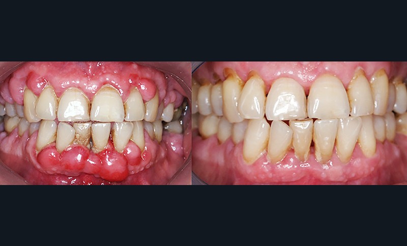
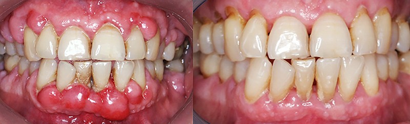
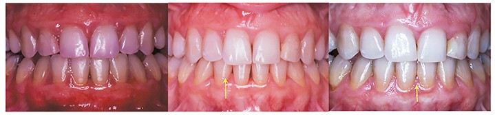
L’objectif de cette séance est d’apporter une vue actualisée, claire et précise, nécessaire au dépistage, à la motivation et aux techniques des traitements parodontaux, et de faciliter leur intégration dans l’exercice omnipratique (fig. 4, 5 et 6).
Jeudi 29 novembre – 9h/12h
Interprétation simultanée français/anglais
Responsable scientifique : Michèle Reners
Conférenciers : Gilles Gagnot, Iain Chapple, Dagmar Slot, Filippo Graziani





Commentaires