Responsable scientifique : Anne-Sophie Vaillant-Corroy
Pourquoi avoir choisi ce thème ? Que représente-t-il exactement ?
Dans le cadre d’un plan de traitement prothétique, la sérénité repose essentiellement sur deux éléments : la capacité à réaliser une évaluation clinique précise de la situation initiale et la réflexion permettant de déterminer le chemin thérapeutique qui part de la situation initiale jusqu’à la solution prothétique décidée. Une fois cette planification établie, les étapes de réalisation correspondent alors à des gestes techniques qui s’enchaînent dans un ordre déterminé.
Très souvent, dans les cabinets, pris par le tourbillon d’une activité intense, des praticiens s’engagent dans des traitements en faisant confiance à leur intuition, leur expérience, leurs habitudes, leurs compétences cliniques, sans toujours prendre le temps d’analyser l’ensemble des paramètres décisionnels qui pourraient leur permettre de réaliser une option thérapeutique répondant totalement aux critères des données avérées en rapport avec la demande de leur patient. De plus, ce temps de réflexion présente aussi l’avantage de permettre la mise en place d’une programmation efficace dans l’avancée de la thérapeutique. Le thème du plan de traitement est d’une richesse sans fin tellement il offre d’ouverture d’échanges, de controverses. Mais quelles que soient les options thérapeutiques envisagées, quelle que soit la vision thérapeutique du praticien, le plan de traitement est toujours construit selon quatre grandes étapes :
– l’anamnèse avec le recueil des informations et le diagnostic ;
– le choix thérapeutique (phase de réflexion) ;
– la réalisation (qui comprend la réévaluation) ;
– la phase de maintenance.
Ce thème est au cœur de l’activité de nos cabinets, car l’absence de planification des traitements est source de risques et de perte de temps, et peut générer des échecs à court ou moyen terme.
Quels sont les conférenciers qui vont traiter ce thème ?
Au cours de cette séance, trois praticiens, Anne-Sophie Vaillant, Frédéric Raux et Michel Bartala, vont, dans le cadre d’une discussion confraternelle ouverte, car interactive, confronter et partager leur vision de traitements ou d’objectifs thérapeutiques. La particularité de cette séance réside dans une mise en scène de discussion entre les trois intervenants. Parfois, dans une provocation scientifique voulue, jouée, ils ouvriront des débats animés, voire passionnés, car chacun peut discerner des solutions différentes de traitement liées à son vécu professionnel ou personnel. Il faut savoir garder en mémoire que, souvent, il n’existe pas une seule solution de traitement mais des options thérapeutiques qui sont toutes respectables et intéressantes dès lors qu’elles sont bâties sur des justifications de traitement reconnues.
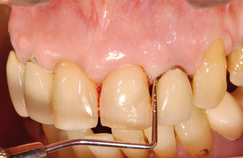
Avant de répondre aux différentes interrogations cliniques, il faut analyser la situation par des évaluations cliniques (état coronaire, situation endodontique, environnement parodontal) (fig. 1) puis, parfois, il est nécessaire de poursuivre cette étude préthérapeutique à l’aide d’outil de simulation comme l’articulateur (fig. 2), de techniques radiologiques en 3D. La conjugaison du recueil des informations et de l’analyse de la situation va nous permettre de proposer une solution en rapport avec la problématique médicale globale.
À côté de ces fondamentaux médicaux, odontologiques, différents des paramètres « non médicaux » peuvent intervenir comme l’âge, les souhaits du patient, ses possibilités en termes financiers et de disponibilité. En prothèse, et c’est d’actualité, on sait que l’acceptation du traitement repose souvent sur la volonté ou la possibilité d’investissement financier du patient dans sa thérapeutique.
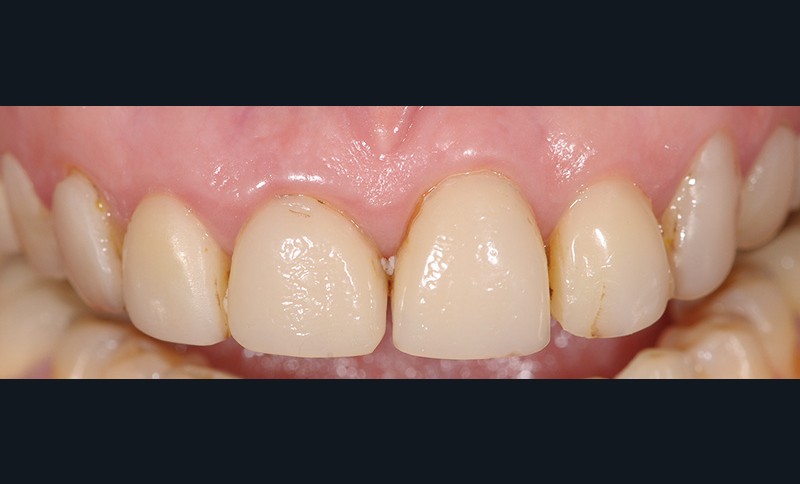
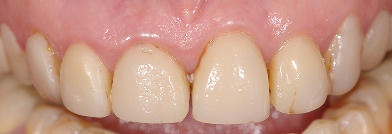
Ainsi, chez ce patient (fig. 3) quelle(s) solution(s) thérapeutique(s) peut-on envisager pour répondre au problème de mobilité dentaire en respectant son souhait de conservation ? Doit-on envisager d’extraire toutes les dents et d’avoir recours à une solution implantaire ou existe-t-il une solution fiable de conserver ses dents ?
Quel est son intérêt pour
Quel est son intérêt pour le praticien ? À quelles questions répond-il ?
La réactivité clinique est la capacité d’un praticien à s’adapter et à envisager une solution thérapeutique. Cette séance, par son interactivité et par les différents cas cliniques exposés, va permettre aux praticiens de poursuivre leur enrichissement en situations cliniques. Ainsi, face à une fracture radiculaire (fig. 4a), la seule solution est-elle l’extraction ? Sur ce cliché (fig. 4b), la question est un peu provocatrice, et je vous engage à venir voir et écouter dans cette séance la solution apportée et surtout la pérennité de la décision choisie.
Ainsi, au cours de cette séance, les intervenants vont s’attacher à mettre en avant les étapes de la réflexion clinique permettant de prendre une décision qui peut répondre à la situation. Il serait optimiste ou prétentieux de penser pouvoir, en deux heures, répondre à toutes les questions cliniques mais, grâce à l’interactivité de ce moment confraternel, nous pourrons développer notamment la question du pronostic de l’organe dentaire et le difficile choix de l’extraction ou de la conservation et les étapes d’un traitement du secteur antérieur avec ces impératifs esthétiques. Un cas clinique mettra aussi en avant la nécessité d’établir une relation de confiance performante avant de débuter un traitement où des imprévus peuvent survenir.
Quels sont les différents aspects qui seront exposés ?
En deux heures, nous parcourrons les phases clés d’un plan de traitement à travers différentes situations cliniques. Seront ainsi abordées : la première consultation avec le recueil des données, la relation avec le patient, la notion de consentement éclairé qui, malgré toutes les précautions, peut être mise à mal par des situations inhabituelles.
Mais, surtout, notre objectif est de mettre en lumière la phase essentielle de réflexion thérapeutique qui reste la seule garante d’un traitement réfléchi et pérenne.





Commentaires