Le patient parodontal : confluences thérapeutiques

  • Publié le . Paru dans L'Information Dentaire
Information dentaire
La Société Française de Parodontologie et d’Implantologie Orale (SFPIO) organise son congrès national du 2 au 4 juin prochain autour du thème « Le patient parodontal : confluences thérapeutiques ».
Nous avons rencontré les intervenants pour lever le voile sur le programme scientifique, particulièrement prometteur.

Michèle Reners (Liège, Belgique), présidente scientifique du congrès

Comment avez-vous choisi le thème du congrès ?
Organiser un programme scientifique pour une société de parodontologie est un grand honneur, mais aussi un très beau challenge. Il m’a semblé important de se recentrer sur la problématique du « patient parodontal », c’est-à-dire le patient présentant un profil de risque élevé à l’apparition et au développement d’une maladie parodontale.
La condition première est d’établir un diagnostic précoce, de manière à éviter que la quantité de tissus perdus soit trop importante. Il faut aussi établir son profil de risque pour qu’il comprenne que son comportement et ses habitudes, qu’elles soient d’hygiène dentaire, tabagique, alimentaire ou autre auront d’une part un impact sur la résolution de ses problèmes parodontaux, et, d’autre part, amélioreront son état de santé générale.
Ce patient doit être pris en charge de façon très spécifique. à l’heure où le nombre de péri-implantites est en progression, il est crucial que les praticiens réalisent que le traitement parodontal bien mené, qu’il soit chirurgical ou non, permet aux patients de garder leurs dents pendant de nombreuses années de manière prévisible.

Pourquoi avoir mis en avant la « confluence thérapeutique » ?

Tout d’abord, il faut rappeler que la réussite des traitements parodontaux dépend de l’instauration d’une maintenance sérieuse.
Le plan de traitement de cas complexes doit faire appel à d’autres spécialités.
L’orthodontie est une alliée qui est très souvent associée aux traitements parodontaux. Les relations entre les lésions parodontales et l’occlusion ont déjà fait couler beaucoup d’encre et il est temps de faire le point, surtout avec le nombre croissant de patients bruxomanes, qui malheureusement ne sont pas souvent diagnostiqués précocement. L’esthétique après la destruction des tissus parodontaux représente parfois un vrai défi. Pourtant, lorsque la réhabilitation prothétique est réalisée en accord avec la régénération des tissus, les résultats sont impressionnants.
En clôture de ce congrès, le point sera fait sur la reconstruction des tissus disparus grâce à une panoplie actualisée de techniques régénératives.

Quels intervenants avez-vous choisis ?
J’ai donné la parole à Daniel Etienne qui nous parlera de sa belle expérience et des secrets de la réussite à long terme des traitements parodontaux. Deux hygiénistes suisses, Sigried Kaehr et Marisa Novelle, nous décriront comment elles organisent leur travail en collaboration avec le chirurgien-dentiste et arrivent à maintenir la situation parodontale stable chez des patients à risque.
Le « patient parodontal » doit souvent avoir recours à des traitements d’orthodontie complémentaires, Birte Melsen et Bouchra Abbassi décriront leur expérience dans ce domaine. Isabelle Bonafe nous rappellera le rôle majeur de l’occlusion dans la stabilisation du traitement parodontal. Le samedi matin, la parole sera donnée à un duo liégeois de choc pour gérer l’esthétique : France Lambert et Amélie Mainjot.
Quant aux techniques de régénération tissulaire, elles seront abordées par Mario Roccuzzo.

Séance du 2 juin
Les péri-implantites en questions
Philippe Bouchard (Paris), modérateur

Pourquoi avoir accepté de modérer cette séance ?
L’association entre maladies parodontales et autres maladies est une thématique de recherche qui est apparue vers la fin des années 1990 aux États-Unis sous l’impulsion de Robert Genco qui était alors rédacteur en chef du Journal of Periodontology. L’American Association of Periodontology a alors organisé une première conférence à Bethesda (Etats-Unis) sous le thème : Lien entre parodonte et maladies systémiques. Nous étions deux Français dans la salle avec Jacques Charon et nous avions été frappés par l’intérêt que portaient nos collègues médecins à cette « nouvelle affection » qu’ils découvraient. Aujourd’hui, les choses semblent plus claires : les maladies parodontales sont connues – oserait-on dire reconnues – par la communauté médicale dans son ensemble. Depuis Bethesda, nombreux sont ceux qui ont pris le train en marche. Phoebus Madianos a porté dès le départ beaucoup d’intérêt à ce sujet et cela n’est pas étranger à sa réputation de sérieux en tant qu’auteur et conférencier international. Cette conférence constitue donc une piqûre de rappel à la communauté odontologique pour signaler encore et toujours que nous traitons des maladies, maladies parodontales et carieuses pour l’essentiel, et non des dents.

Quelle place occupe ce sujet dans votre exercice professionnel ?
Une partie importante de mon activité de recherche est orientée sur les relations entre les maladies parodontales et les autres maladies, en particulier cardio-vasculaires. Nous étudions en fait l’effet de l’inflammation parodontale sur la modification des facteurs de risque cardio-vasculaire. Dans notre programme EFP (European Federation of Periodontology), Hélène Rangé, Maria-Clotilde Carra, Christèle Darnaud et Adrien Boillot ont déjà largement publié sur le sujet dans des journaux comme Plos, Atherosclerosis, Journal of Clinical Periodontology, American Journal of Hypertension, Sleep and Breathing, etc. Mon rôle est maintenant celui de coordonnateur de projets et de porte-parole devant nos instances pour mettre en valeur le rôle des odontologistes en général et celui des parodontistes en particulier dans le domaine de la prévention et du traitement des maladies parodontales. Nous mettons en place des travaux pour tenter de comprendre les mécanismes biologiques qui expliquent l’association maladies parodontales/autres maladies et d’affirmer la causalité de cette association.

En quoi est-ce original et novateur ?
La thématique demeure originale et passionnante. Tous les jours, les publications confirment l’importance du sujet. Comme je l’ai souligné plus haut, elle est moins novatrice qu’elle ne le fut dans les années 90. Si nous prenons l’exemple de la relation parodontite/maladie cardio-vasculaire, l’association n’est plus à démontrer. Il reste à comprendre la pathogénie et surtout démontrer que le traitement parodontal a un effet réel sur la survenue d’événements cardio-vasculaires en mettant en œuvre des études d’intervention.

En quoi est-ce utile pour les participants ?
Cette séance n’est pas une boîte à outils. Si la question est : « Est-il utile de penser l’avenir de notre exercice au sein de la médecine ? », alors oui, je crois que les participants auront une réponse à leurs interrogations, en particulier concernant les nouveaux comportements face aux risques encourus par le non-traitement d’affections orales très répandues comme les parodontites.

Phoebus Madianos (Athènes, Grèce)

Le patient parodontal et sa santé
Ces trois dernières décennies, les données recueillies par des études cliniques et épidémiologiques suggèrent qu’une relation à deux voies existe entre la maladie parodontale et les maladies systémiques. Les études épidémiologiques montrent que la parodontite peut augmenter le risque de maladie cardiovasculaire et de naissance prématurée, alors qu’elle peut entraver le contrôle glycémique chez les patients atteints de diabète sucré. L’effet “lointain” de la parodontite peut être induit par métastase de l’infection (bactériémie), activation de l’immunité systémique innée et adaptative, ou une combinaison de ces mécanismes potentiels. L’identification des pathogènes parodontaux dans les plaques athéromes et des anticorps IgM réagissant aux pathogènes parodontaux dans le sang du cordon fœtal des prématurés implique la dissémination hématogène de microbes oraux dans la pathogenèse de ces complications systémiques. Les études cliniques fournissent les preuves que la maladie parodontale déclenche une réponse systémique inflammatoire, comme le montre l’augmentation des marqueurs inflammatoires systémiques comme la protéine C réactive. Les études d’intervention fournissent les preuves de l’effet bénéfique potentiel des soins parodontaux par réduction du risque d’apparition de ces conditions systémiques. L’objet de cette intervention est de résumer l’état de la recherche sur l’impact de la parodontite sur la santé systémique et de déterminer si la prévention ou les soins parodontaux peuvent avoir un effet bénéfique sur ces problèmes.

Pourquoi avoir accepté d’aborder ce thème dans votre conférence ?
À mon avis, on peut défendre que le lien entre les maladies parodontales et la santé générale est la contribution la plus importante de la parodontologie à la science dentaire, celle qui réinstaure l’odontologie comme partie intégrante de la médecine. Il est de la plus haute importance de prendre conscience de la portée de la santé parodontale, pas seulement pour avoir une bouche en bonne santé, mais aussi un patient en bonne santé.

Quelle place occupe ce thème dans votre exercice professionnel ?
L’exploration de l’association entre la maladie parodontale et les autres maladies et problèmes systémiques est l’objet principal de mes recherches depuis ces dix-huit derniers mois. Celles-ci sont toujours en cours, puisque nous avons besoin d’encore mieux comprendre la nature exacte et l’ampleur de l’impact de la maladie parodontale sur la santé générale. De plus, ce thème a aussi un retentissement en termes de pratique parodontale quotidienne puisqu’il a un impact sur le contexte de nos thérapeutiques.

En quoi est-ce original et novateur ?
Ces vingt dernières années ont vu une réelle explosion de la recherche en médecine parodontale. De nombreuses associations entre la maladie parodontale et d’autres problèmes systémiques ont été explorées, le gros des études s’intéressant à l’association entre maladie parodontale et maladie athérosclérotique, diabète et trouble de la grossesse. De plus, de nouvelles associations sont testées, comme avec les maladies rénales et le cancer.

En quoi est-ce utile pour les participants ?
Cela aide les praticiens à assumer leur nouveau rôle, qui est déjà en train d’évoluer vers un champ plus large. Les chirurgiens-dentistes, pas seulement les parodontistes, ont un rôle majeur à jouer dans la santé, bien au-delà des dents. Notre devoir est d’en rendre non seulement nos collègues mais aussi nos patients conscients, avec pour but de mettre la santé orale au cœur du bien-être et de la qualité de vie de nos patients.

Marie-Laure Colombier (Paris)



Maladie parodontale : un danger pour bébé ?
Processus physiologique, la grossesse peut présenter des complications telles que naissance avant terme, enfant petit pour l’âge gestationnel (PAG) ou prééclampsie. Les études montrent une association entre la parodontite et ces complications, que l’on explique par la libération dans la circulation générale des micro-organismes de la cavité buccale ou des médiateurs de l’inflammation. L’effet du traitement parodontal sur les marqueurs de l’inflammation est aujourd’hui établi. Il semble alors logique qu’un traitement parodontal efficace puisse influer sur ces complications, mais qu’en est-il réellement ?

Pourquoi aborder ce thème dans votre conférence ?
Les maladies parodontales contribuent à la production de médiateurs inflammatoires et à la diffusion de bactéries dans l’organisme. Leur rôle est maintenant reconnu dans des pathologies systémiques comme dans l’état physiologique que constitue la grossesse. Ces thèmes sont au cœur du travail du Groupe de Réflexion Paro Médecine constitué à l’initiative des Laboratoirse Oral B et dont je fais partie. La séance du congrès porte sur la santé générale et parodontale et c’est avec grand plaisir que j’ai accepté de faire le lien entre les deux sur le sujet de la femme enceinte.

Quelle place occupe ce sujet dans votre exercice professionnel ?
Dans le service d’odontologie de l’hôpital Louis Mourier où j’exerce, nous avons créé une consultation de parodontologie dédiée aux femmes enceintes. Cette consultation s’appuie sur les relations que nous avons nouées avec le service de gynécologie-obstétrique, où se déroule l’enquête de santé parodontale des femmes enceintes que nous avons établie. Les patientes sont ainsi sensibilisées aux pathologies gingivales et peuvent venir consulter pour un diagnostic précis et une éducation à la santé orale.

En quoi est-ce original et novateur ?
Les liens entre maladies parodontales et la grossesse font l’objet d’études depuis près de vingt ans maintenant. Du fait des modifications hormonales, la femme enceinte est beaucoup plus susceptible aux infections parodontales. La question essentielle est évidemment de savoir si le traitement parodontal permet d’éviter des complications comme l’accouchement prématuré d’enfant de faible poids, alors que le diagnostic de maladie parodontale est souvent tardif.

En quoi est-ce utile pour les participants ?

Les participants pourront mettre à jour leurs connaissances sur les liens entre maladies parodontales et complications de grossesse. En communiquant avec les médecins et les personnels paramédicaux, le dentiste contribue à améliorer le dépistage des maladies parodontales. Il a donc un rôle essentiel dans la diffusion des connaissances afin que tous les professionnels de santé s’impliquent dans la prévention des pathologies bucco-dentaires et parodontales en particulier.

Séance du 3 juin (matin)
« Prévention et traitement du patient parodontal à long terme »

Philippe Rodier (Lyon), président de séance

Pourquoi ce sujet est-il digne d’être abordé dans notre congrès international ?
Sujet toujours d’actualité, car il concerne la plupart de nos concitoyens, et nécessite une prise en charge adaptée par tous les praticiens, ce qui n’est pas encore le cas en 2016.

En quoi est-ce original et novateur ?
La thématique de la séance est intéressante à plus d’un titre, car les thérapeutiques non chirurgicales, les thérapeutiques de soutien et la maintenance parodontale sont des challenges difficiles à relever par nos patients : c’est un vrai problème de santé publique.

Pourquoi avoir accepté de présider cette séance ?

Pour honorer notre Société nationale et tous les acteurs qui la composent, mais aussi notre société régionale fort active sous la présidence du Docteur Bravard, mais aussi, bien sûr, pour apporter un regard interrogateur sur ces sujets fondamentaux.

Quelle place occupe ce thème dans votre propre exercice professionnel ?
Fondamentale, car je considère ce thème comme la pierre angulaire de tous nos traitements, la parodontologie étant la discipline phare de l’odontologie.

En quoi est-ce utile pour les participants ?
Les conférences doivent et peuvent faire évoluer les mentalités et les approches thérapeutiques de nos confrères, prendre les patients plus conscients et responsables de leur hygiène, mais aussi apporter une lueur d’espérance pour la reconnaissance de la prévention et de l’hygiène par les pouvoirs publics. L’Europe et les efforts de tous doivent aboutir tôt ou tard à la création d’une nouvelle profession en France : les hygiénistes.

Daniel Etienne (Paris)

Le patient parodontal, son traitement à long terme

Les évidences scientifiques sont abondantes pour le diagnostic et le traitement des parodontites. Cependant, les certitudes du clinicien sont fréquemment bousculées lors de situations spécifiques. Nous pouvons nous interroger sur l’état d’évolutivité de la maladie, sur le potentiel de cicatrisation du patient ou sur la pertinence de préconiser des techniques complémentaires au traitement non chirurgical.
Malgré des progrès technologiques avérés, la décision chirurgicale pour le bénéfice du patient reste empirique. Le suivi régulier et performant à long terme n’est observé que par une minorité de nos patients.
Lors de cette présentation, les critères de décision et l’évaluation des résultats seront discutés.

Pourquoi avoir accepté d’aborder ce thème dans votre conférence ?
Le traitement des parodontites est un aspect dominant de notre pratique clinique et il est important d’aborder le thème « le patient parodontal, son traitement à long terme » qui évoque plusieurs difficultés.
En premier lieu, il nous faut sélectionner la thérapeutique parodontale la plus adaptée à une situation clinique. Le succès du traitement non chirurgical est aussi un préalable aux traitements complémentaires lorsqu’ils sont indiqués. Et le long terme est difficile à obtenir car il nécessite une coopération et une observance des recommandations.

Quelle place occupe ce sujet dans votre exercice professionnel ?

En ce qui me concerne, pour un exercice spécialisé limité à la parodontologie, 50 % de mon activité est concernée par le traitement des parodontites et la maintenance parodontale. Le reste sera concerné par la chirurgie plastique chez des patients à parodonte sain ou la chirurgie implantaire/péri-implantaire chez des patients à parodonte sain ou altéré. Dans ce dernier cas, le traitement parodontal est un préalable à l’acte implantaire.

En quoi est-ce original et novateur ?
La dérive actuelle est de privilégier des traitements rapides et soi-disant sans souci avec des implants et de présenter les traitements parodontaux conservateurs comme des solutions aléatoires ou défavorables pour la pérennité du support osseux. Plutôt que de rechercher un traitement novateur, nous préférons privilégier la notion de coût/bénéfice qui doit être adaptée à chaque patient.

En quoi est-ce utile pour les participants ?
La décision thérapeutique et l’anticipation des résultats sont des plus délicates. Notre présentation illustrera nos critères de choix, les difficultés et les échecs rencontrés au cours de notre exercice.


Sigrid Kaehr
(Arzier, Suisse)
Marisa Novelle (Genève, Suisse)

Prévention : le trio gagnant

L’hygiéniste dentaire est un membre central d’un programme de prévention bucco-dentaire efficace. Son traitement couvre un champ allant de l’instruction d’hygiène buccale au traitement non chirurgical de la parodontite, en passant par la motivation du patient. Les meilleurs résultats seront obtenus si le trio patient, hygiéniste dentaire, praticien collabore. Une présentation de patients suivis en cabinet et d’une prise en charge collaborative mise en place pour les étudiants de Genève permettra de sensibiliser toutes les personnes intervenant au niveau bucco-dentaire.

Pourquoi aborder ce thème dans votre conférence ?
L’hygiéniste dentaire est inconnu en France…

Quelle place occupe ce thème dans votre exercice professionnel ?
Le « trio-gagnant » est un thème central dans notre profession. La prévention est notre préoccupation prioritaire, et une bonne prise en charge ne peut être réellement efficace qu’à ces conditions.

En quoi est-ce original et novateur ?
Le concept n’a rien de novateur ni d’original dans de nombreux pays, où la collaboration patient/hygiéniste dentaire/praticien fait ses preuves. Alors pourquoi ne pas le développer ?

En quoi est-ce utile pour les participants ?
Notre profession est peu connue en France. Elle peut faire peur et est parfois vue comme une concurrence, alors qu’elle est en réalité complémentaire à l’activité du médecin-dentiste et/ou du spécialiste en parodontologie. C’est le message que nous aimerions apporter au travers de notre présentation.

Séance du 3 juin (après-midi)
« L’orthodontie au service de la parodontologie et les relations paro-occlusion »

Kerstin Gritsch (Lyon), présidente de séance

Pourquoi ce sujet est digne d’être abordé dans notre congrès international ?
Le sujet de la séance que j’ai l’honneur de présider concerne l’apport de l’orthodontie et de l’occlusodontie, d’un point de vue diagnostique comme thérapeutique, à la prise en charge des pathologies parodontales. Elle s’inscrit donc parfaitement dans la thématique du congrès qui met en exergue l’intérêt de la confluence des thérapeutiques dans l’amélioration des soins prodigués à nos patients.

En quoi est-ce original et novateur ?
Les interrelations entre orthodontie et parodontologie ou entre occlusion et parodontologie sont depuis longtemps au cœur de nos préoccupations. Elles sont aussi reconnues comme pertinentes en implantologie orale. La réactualisation constante des protocoles et des échanges entre ces disciplines cliniques est néanmoins nécessaire selon l’évolution des connaissances et de l’émergence de nouveaux dispositifs médicaux et/ou techniques.

Pourquoi avoir accepté de présider cette séance ?

En tant que parodontologiste, j’ai à cœur de proposer les meilleurs soins à mes patients. Pour cela, il est souvent nécessaire d’aborder le diagnostic des maladies parodontales et les thérapeutiques adaptées selon une approche pluridisciplinaire. Les échanges avec des experts des trois disciplines vont permettre d’éclairer nos participants quant à l’éventail des outils thérapeutiques à disposition.

Quelle place occupe ce sujet dans votre propre exercice professionnel ?
Mon activité hospitalière en parodontologie au sein des Hospices Civils de Lyon me permet de prendre en charge de manière pluridisciplinaire les patients qui me sont adressés, du fait de la présence au sein de la même structure, de spécialistes en orthopédie dento-faciale et en occlusodontie. Cela constitue un véritable atout pour nos patients et un confort d’exercice certain.

En quoi est-ce utile pour les participants ?
Il n’est pas toujours aisé de communiquer avec des spécialistes d’autres disciplines ou de savoir quand adresser son patient à l’orthodontiste ou encore comment mettre en évidence une occlusion pathologique. Cette séance permettra d’éclairer les participants pour qu’ils acquièrent une bonne compréhension des relations qui peuvent exister entre ces trois disciplines. Elle leur permettra donc aussi d’améliorer leurs échanges avec leurs correspondants pour optimiser les résultats de la thérapeutique parodontale et/ou implantaire.


Birte Melsen
(Aarhus, Danemark)

L’orthodontie au service de la parodontologie

Les problèmes parodontaux qui se produisent chez les patients adultes conduisent souvent aussi à des migrations spontanées qui rendent impossible, par des soins parodontaux dans les règles de l’art, l’obtention d’un résultat esthétiquement et fonctionnellement acceptable. La perte d’attachement va un peu plus compromettre le traitement et amener les dents à être mobiles et conduire à un remplacement par des implants. Mais est-ce nécessaire ? L’orthodontie peut-elle aider à améliorer le pronostic parodontal ? Cette intervention démontrera comment l’interaction entre les orthodontistes et les parodontologistes, assistés des praticiens en charge de la prothèse, peut restaurer une dentition, même sévèrement atteinte, et comment les résultats peuvent être entretenus. L’attention se portera sur : 1. l’amélioration du niveau d’attachement, 2. les remplacements semi-permanents de dents manquantes pour entretenir l’os, 3. le maintien de l’os pour des implantations futures. La reconstruction d’os peut être réalisée grâce à des mouvements appliqués sur les dents, même en zone édentée. En résumé, comment le travail d’équipe avec un orthodontiste peut aider à améliorer le statut parodontal de façon qualitative et quantitative. L’importance de l’entretien des résultats et la responsabilité seront des points clés de l’intervention.

Pourquoi aborder ce thème dans votre conférence ?
Parce que je vois que l’entretien d’une dentition fonctionnellement et esthétiquement acceptable a une influence grandissante sur la qualité de vie de la population vieillissante et il est important que nous puissions y contribuer.

Quelle place occupe ce thème dans votre exercice professionnel ?
Je n’ai quasiment que des patients concernés par ces problèmes.

En quoi est-ce original et novateur ?
L’information concernant la reconstruction et le maintien de l’os est complètement nouvelle.

En quoi est-ce utile pour les participants ?
Je suis sûre que les confrères profiteront de ces nouvelles informations, car elles sont facilement applicables.


Bouchra Abbassi
(Casablanca, Maroc)

L’orthodontie et les parodontites agressives

Les parodontites agressives se caractérisent par une perte d’attache rapide et une destruction osseuse invasive. Elles surviennent souvent chez les adolescents et les jeunes adultes. La prévalence des parodontites agressives est alarmante au Maroc.
À la suite de l’évolution de ces parodontites, le préjudice esthétique est important. Il se manifeste à travers des migrations dentaires secondaires. Elles constituent un motif de consultation fréquent chez nos jeunes patients.
L’approche parodonto-orthodontique représente une alternative de prise en charge pour ces patients. Ainsi, le déplacement orthodontique de dents à parodonte réduit assaini permet d’améliorer les paramètres cliniques et radiologiques, de diminuer la taille des lésions parodontales et d’optimiser le pronostic à long terme.
Toutefois, et pour la réussite de cette approche, la rationalisation de la démarche thérapeutique ainsi que le respect de certaines conditions s’imposent.


Pourquoi aborder ce thème ?

J’ai le plaisir d’aborder ce sujet portant sur l’approche parodonto-orthodontique dans la prise en charge des parodontites agressives puisque cette approche a démontré son efficacité dans la prise en charge du préjudice aussi bien esthétique que fonctionnel.

Quelle place occupe ce sujet dans votre exercice professionnel ?
Il occupe une place prépondérante dans notre pratique hospitalière, car la prévalence des parodontites agressives est particulièrement élevée au Maroc, par conséquent nous recevons un grand nombre d’adolescents et de jeunes adultes souffrant de ces pathologies. Ainsi, la collaboration entre le médecin dentiste parodontitste et l’orthodontiste permet de traiter et de stabiliser la parodontite agressive et de répondre au souci esthétique.

En quoi est-ce original et novateur ?
L’originalité réside dans le fait que lors de cette approche, des mouvements orthodontiques seront réalisés sur un parodonte réduit mais assaini, permettant une amélioration des lésions osseuses, de la profondeur des poches parodontales et des récessions gingivales avec reconstruction des papilles interdentaires.

En quoi est-ce utile pour les participants ?
Cela est utile dans la mesure où cette conférence décortiquera les étapes de cette approche ainsi que les conditions de réussite, cela à travers des cas cliniques avec un suivi à moyen et long terme étayés d’une revue de littérature.

Isabelle Bonafe (Montpellier)

Le rôle de l’occlusion dans les traitements parodontaux

Une bonne compréhension de la relation occlusion-maladie parodontale est indispensable à tout praticien qui souhaite réaliser un traitement parodontal optimum chez ces patients présentant une occlusion traumatique. Les différents types d’occlusion pathologique et leurs interactions sur le parodonte seront traités au travers de cas cliniques illustrant la complexité de cette relation et leur prise en charge conjointe.

Pourquoi traiter ce thème dans votre conférence ?
Le rôle de l’occlusion dans la maladie parodontale a toujours été un sujet difficile et la relation contacts dentaires/parodonte a fait l’objet de nombreux débats. Dans ce contexte, il nous a paru intéressant d’aborder ce sujet avec une approche occlusale plus globale, fondée certes sur l’examen dentaire, mais également sur l’examen clinique approfondi des différents composants du système manducateur, et ce, que ce soit en statique ou dynamique.

Quelle place occupe ce sujet dans votre exercice professionnel ?
En tant que spécialiste en occlusodontie, je suis amenée à travailler quotidiennement en partenariat avec d’autres spécialités dont la parodontie et je considère que les traitements occlusaux et parodontaux sont indissociables.

En quoi est-ce original et novateur ?
Au-delà de l’analyse de l’occlusion, l’étude de la dysfonction du système manducateur est un concept plus global dans la prise en charge de la maladie parodontale. Remettre le praticien au carrefour de plusieurs disciplines me paraît essentiel pour une bonne gestion des implications spécifiques de chaque spécialité, la hiérarchisation des étapes cliniques étant la base d’une thérapeutique efficace.

En quoi est-ce utile pour les participants ?

Une bonne compréhension de l’interrelation entre occlusion et maladie parodontale est utile pour le praticien. Toute dysfonction du système manducateur (bruxisme, interférence, prématurité…) devra être appréhendée et corrigée si nécessaire en amont du traitement parodontal par ajustement occlusal, gouttières… mais également au cours de la thérapeutique afin d’assurer une stabilité occlusale optimale et pérenne.
Cette approche thérapeutique globale doit obligatoirement débuter par un examen clinique musculo-articulaire et occlusal complet, avec l’analyse du schéma occlusal du patient (simulateur) avant de se poursuivre par l’étude parodontale.

Séance du 4 juin (matin)
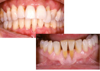
« Le patient parodontal peut-il espérer un résultat esthétique ? »
Jean-François Keller (Vienne) président de séance

Pourquoi ce sujet est-il digne d’être abordé dans notre congrès international ?
Les maladies parodontales ont une importante incidence esthétique. Lors de leur traitement, l’aspect esthétique est trop souvent sous-estimé par les praticiens. Au travers de ce sujet, seront abordées les approches cliniques et scientifiques de la réhabilitation esthétique afin de répondre au mieux aux attentes des patients.

Pourquoi avoir accepté de présider cette séance ?
La réhabilitation esthétique des patients parodontaux présente un véritable défi. Lors de cette séance, des conférencières de renommée internationale apporteront une réponse pluridisciplinaire basée sur une approche scientifique et innovante.

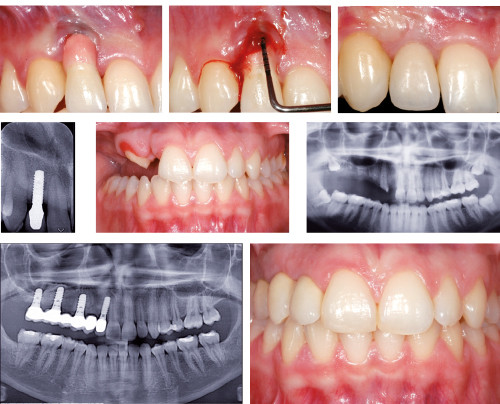
France Lambert (Liège, Belgique)
Amélie Mainjot (Liège, Belgique)

Une approche en équipe pour retrouver le sourire
La réhabilitation d’un sourire, qui plus est chez le patient parodontal, nécessite une approche pluridisciplinaire et un travail en équipe bien coordonné. En effet, le résultat esthétique dépend hautement de l’harmonie entre la gencive et la restauration prothétique. Dès lors, chaque étape du traitement a une importance majeure, depuis sa planification jusqu’à la réhabilitation prothétique en passant par la gestion des tissus mous et l’orthodontie.
L’objectif de cet exposé est de mettre en lumière la prise en charge pluridisciplinaire des réhabilitations esthétiques. Les challenges liés au patient parodontal seront mis en évidence à travers la description de plusieurs cas cliniques. L’accent sera également mis sur les nouvelles technologies et sur le choix des techniques et des biomatériaux.

Pourquoi avoir accepté d’aborder ce thème dans votre conférence ?

La réhabilitation du secteur esthétique est l’un de nos domaines cliniques de prédilection combinant plusieurs aspects qui nous passionnent. Nous apprécions également beaucoup de communiquer sur ce sujet.

Quelle place occupe ce thème-sujet dans votre exercice professionnel ?
Nous travaillons en binôme depuis plusieurs années pour les réhabilitations du secteur esthétique. Notre passion commune pour ce type de cas, mais aussi pour la recherche et l’iconographie, nous a amenées à donner régulièrement des conférences sur notre approche pluridisciplinaire.

En quoi est-ce original et novateur ?

Dans le cadre de nos recherches scientifiques, nous sommes continuellement à la recherche de l’innovation en termes de biomatériaux, nouvelles technologies et protocoles chirurgico-prothétiques.

En quoi est-ce utile pour les participants ?

Nous pensons pouvoir les inspirer en leur donnant une vision à la fois clinique et scientifique de l’approche du plan de traitement.

Séance du 4 juin (après-midi)
« Régénération des tissus dans les traitements implantaires »
Stéphan Duffort (Lyon), président de séance

Pourquoi ce sujet est-il digne d’être abordé dans notre congrès international ?
La régénération des tissus péri-implantaires est un sujet complexe et nécessite d’être traité par un conférencier qui a de l’expérience dans les domaines de la parodontologie et de l’implantologie.
Le Docteur Mario Roccuzzo, auteur de nombreuses publications internationales sur le sujet, nous aidera à comprendre comment optimiser nos résultats implantaires.

En quoi est-ce original et novateur ?

Nous connaissons depuis longtemps les procédures chirurgicales pour épaissir les tissus mous en parodontologie et pour réaliser des augmentations osseuses en implantologie.
Nous pouvons considérer qu’il est important d’associer toutes ces techniques chirurgicales pour éviter peut-être un jour l’apparition de péri-implantites, problème majeur aujourd’hui en implantologie.

Pourquoi avoir accepté de présider cette séance ?
Personnellement, j’ai été honoré que la SFPIO me propose de présider cette séance, car le sujet m’intéresse particulièrement et parce que j’ai beaucoup d’admiration pour le Docteur Roccuzzo.

Quelle place occupe ce thème dans votre propre exercice professionnel ?
Ce sujet est une préoccupation majeure et quotidienne de mon exercice professionnel.
Nous savons aujourd’hui que la bonne qualité des tissus durs et mous péri-implantaires est garante d’un résultat implantaire stable sur le long terme avec un programme de maintenance adapté, bien entendu.

En quoi est-ce utile pour les participants ?

Je pense que cette séance sera utile pour les participants, car elle répondra à de nombreuses interrogations que peuvent se poser des praticiens qui souhaitent progresser en implantologie ou pour d’autres, qui souhaitent confirmer leurs connaissances.


Mario Roccuzzo
(Turin, Italie)

Régénération des tissus dans les traitements implantaires
Les attentes des patients ont beaucoup augmenté au cours des dernières années, donc une thérapie moderne réussie ne peut plus être seulement jugée sur le critère de l’ostéointégration des implants. L’un des plus grands défis que les cliniciens doivent relever est l’obtention à long terme d’une intégration de tissu mou idéale qui imite un contour gingival parfait et empêche la formation de poches et/ou de récessions autour des implants. Ceci est particulièrement difficile dans les emplacements mis en danger par des traumatismes, des atrophies, des maladies parodontales et/ou des infections. Bien que plusieurs protocoles pour des poses d’implant associées à des régénérations osseuses aient montré des taux de survie optimaux, leurs résultats en termes de stabilité des tissus mous à long terme sont souvent moins idéaux. Des études récentes ont confirmé que, du point de vue de l’entretien et de la gestion à long terme, de même que pour ce qui concerne l’esthétique, la présence qu’une quantité appropriée de tissus kératinisés est nécessaire. Si un défaut vertical sérieux est présent, après un diagnostic approfondi, une sélection prudente parmi les techniques de greffe peut, dans la plupart des cas, produire de bons résultats. On appliquera un processus de prise de décision au traitement des défauts dans différentes zones de la cavité buccale et on montrera différentes approches chirurgicales étape par étape, fondées aussi sur les résultats d’une récente étude sur dix ans.

Quelle place occupe ce thème-sujet dans votre exercice professionnel ?
Ce thème a une place très importante dans la mesure où la grande majorité des implants sont placés après ou en association avec des procédures de régénération.

En quoi est-ce original et novateur ?
La régénération n’est pas un principe nouveau, mais, ces dernières années, beaucoup de choses ont changé dans la façon dont nous traitons les différents défauts.

En quoi est-ce utile pour les participants ?
Pendant mon intervention sera présenté un processus de prise de décision pour le traitement des défauts dans différentes zones de la cavité buccale. Différentes approches chirurgicales seront montrées étape par étape, fondées aussi sur les résultats récents d’études avec un suivi de dix ans.

Thèmes abordés

Commentaires

Laisser un commentaire

Sur le même sujet

Actualité Revue de presse Vie de la profession

Lorem ipsum

Lorem ipsum dolor sit amet, consectetur adipiscing elit, sed do eiusmod tempor incididunt ut labore et dolore magna aliqua. Ut...
Santé publique Vie de la profession

Une proposition de loi veut créer un statut d’hygiéniste dentaire

Selon le député Fabien Di Filippo (Droite républicaine) à l’origine de ce texte, il s’agit, face à la pénurie croissante...