Le virus mpox toujours présent

  • Publié le . Paru dans L'Information Dentaire n°25 - 26 juin 2024
Information dentaire

Le virus mpox (variole du singe ou monkeypox) « continue à circuler à bas bruit », indique Santé publique France dans un point de situation le 13 juin. Entre 12 et 14 cas sont déclarés chaque mois depuis janvier dernier. Si la région Ile-de-France concentre toujours le plus grand nombre de cas, deux régions rapportent un nombre de cas plus important sur les quatre premiers mois de l’année comparativement à la même période de 2023 : Auvergne-Rhône-Alpes et Nouvelle Aquitaine.

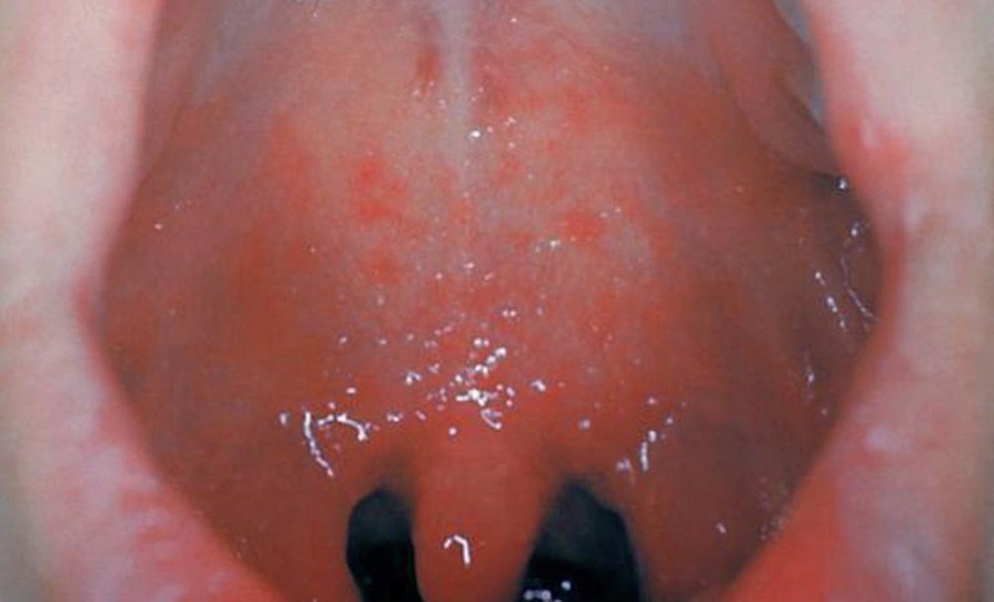
Rappelons que dans cette affection, les muqueuses buccales sont particulièrement touchées. L’éruption cutanée, qui commence généralement dans les un à trois jours suivant l’apparition de la fièvre, touche en premier lieu la bouche et la langue (énanthème). Puis une éruption maculaire cutanée apparaît, débutant au niveau du visage et s’étendant aux membres supérieurs et inférieurs, puis aux mains et aux pieds, incluant paumes et plantes.

Au 3e jour, les lésions maculaires (plates) évoluent en papules (lésions fermes en léger relief) et se développent au 4e-5e jour en vésicules (lésions remplies de liquide clair). Elles se transforment en pustules (lésions remplies de liquide jaunâtre) et enfin en croûtes qui sèchent et tombent à partir du 7e jour. L’évolution spontanée est majoritairement favorable en une vingtaine de jours.

Thèmes abordés

Commentaires

Laisser un commentaire

Sur le même sujet

Santé publique Vie de la profession

Une proposition de loi veut créer un statut d’hygiéniste dentaire

Selon le député Fabien Di Filippo (Droite républicaine) à l’origine de ce texte, il s’agit, face à la pénurie croissante...
Santé publique

Article réservé à nos abonnés Réduire l’empreinte eau au cabinet dentaire : un enjeu écologique et sanitaire

L’eau, une ressource vitale et sensible (INTER 2) L’eau est massivement présente sur Terre, mais seule une faible proportion – environ 3...
Actualité Santé publique

« Et toi, t’as des caries ? »

Caries, anatomie dentaire, parodontite, implants, hygiène bucco-dentaire… Dans le cinquième et dernier épisode de la série Youtube « Quand je serai grand je serai soignant »...