Les péri-implantites avancées : traiter ou déposer ?

  • Publié le . Paru dans L'Information Dentaire n°31 - 18 septembre 2019
Information dentaire
La notion de péri-implantite a été abordée dans la littérature dès les années 1990. Le sujet, au début peu décrit, est devenu « à la mode ». Rien de tel qu’une recherche Pubmed pour le prouver : le nombre d’articles est passé de 3 en 1990 à 297 en 2018. Et pour cause, il s’agit aujourd’hui de la principale complication en implantologie.

Responsable scientifique : Emmanuelle Ettedgui (Paris)
Conférencier : Philippe Doucet (Paris)

La prévalence des péri-implantites est difficile à établir, car la définition des péri-implantites est différente d’une publication à l’autre. Certains auteurs et sociétés scientifiques ont néanmoins essayé d’établir une moyenne et parlent de 10 % des implants et 20 % des patients implantés à 10 ans chez des populations ayant majoritairement un suivi chez l’hygiéniste [1-3]. En 2017, Rokn et coll. publient des chiffres de prévalence des péri-implantites dans une population sans maintenance et rapportent des taux de 9 % des implants après seulement 5 ans de mise en fonction [4].

L’Association américaine de parodontologie (AAP) et la Fédération européenne de parodontologie (EFP) se sont entendues récemment pour redéfinir les péri-implantites comme un état pathologique inflammatoire des tissus péri-implantaires, associé un saignement et/ou une suppuration, une augmentation de la profondeur de sondage et/ou une récession ainsi qu’une perte osseuse évolutive par rapport au remodelage osseux initial après la pose de l’implant [5].

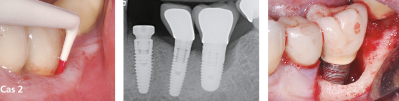
Les péri-implantites sont pour la plupart asymptomatiques et le diagnostic est souvent tardif. Le praticien est donc confronté à des pertes osseuses péri-implantaires souvent sévères pouvant représenter plus de la moitié de la hauteur de l’implant. De plus, la morphologie des lésions osseuses associées peut être plus ou moins complexe.

Face à un tel diagnostic, quelle est la conduite à tenir ?

Bien sûr, patient et praticien sont désireux de sauver le ou les implants dont la mise en place est l’aboutissement d’efforts en temps et d’investissements financiers et parfois émotionnels. Mais jusqu’où est-il raisonnable d’aller pour sauver ces implants sévèrement atteints, et à quel prix pour le patient ?

La régénération autour des implants, décrite dans la littérature et faisant l’objet de nombreuses conférences parfois spectaculaires, n’est pas toujours prédictible et dépend de multiples facteurs [6-8].

Il est donc logique de se poser la question, face à une péri-implantite sévère, de la conservation ou de la dépose de l’implant atteint. Il n’existe aujourd’hui dans la littérature aucun arbre décisionnel concret pour cette prise de décision : traiter ou déposer ?

Notre séance abordera le thème des péri-implantites avancées sous de multiples angles. Nos objectifs seront notamment :
– de comprendre la rapidité d’évolution des péri-implantites par rapport aux parodontites et la difficulté que le praticien peut rencontrer pour les traiter ;
– de proposer des pistes dans la prise de décision de traitement ou de dépose d’un implant atteint de péri-implantite sévère grâce à l’analyse de différents critères d’évaluation (humains, médicaux, cliniques, radiographiques, coût/bénéfice/risque) ;
– de proposer différentes techniques de traitement, de dépose et de réaménagement des défauts osseux associés.

L’Essentiel E115 – Les péri-implantites avancées : traiter ou déposer ?
Samedi 30 novembre – 11h/12h
Responsable scientifique : Emmanuelle Ettedgui
Conférencier : Philippe Doucet

Thèmes abordés

Commentaires

Laisser un commentaire

Sur le même sujet

Formation

Titre

Intertitre Intertitre_2 Intertitre_3 Intertitre_4 Intertitre_5 Sous_titre Texte TEST ENCADRE TEST CITATION