Les lésions cervicales non carieuses, qui sont extrêmement fréquentes chez bon nombre de nos patients, demeurent assez mystérieuses tant dans la compréhension de leur étiologie que dans l’attitude thérapeutique à adopter. Elles sont parfois l’objet ayant motivé la consultation du patient, en particulier lorsqu’elles sont douloureuses, ou peuvent être observées lors d’un examen de routine ou de prévention. Ces pertes de substances situées au niveau de la jonction amélo-cémentaire peuvent avoir diverses configurations et évoluer défavorablement avec le temps, entraînant une souffrance pulpaire, une fragilisation de la dent ou une atteinte des tissus parodontaux environnants. De nombreuses études ont démontré l’origine multifactorielle de ces lésions attribuées à des mécanismes d’érosion (dégradation chimique et électrochimique), de friction, d’attrition (usure mécanique endogène), d’abrasion (usure mécanique exogène), auxquels s’ajoutent les contraintes occlusales. La prévalence croissante de ces lésions avec l’âge montre que ces lésions cervicales progressent certainement lentement au fur et à mesure du temps qui passe.
Les facteurs étiologiques combinés à la lésion cervicale qui en résulte conduisent à une exposition dentinaire et à une accumulation de biofilm à ce niveau avec pour conséquences des hypersensibilité dentinaires et une récession gingivale affectant la même dent.
Le but de cette étude transversale réalisée au Brésil est donc d’évaluer les facteurs de risque associés aux lésions cervicales non carieuses, aux hypersensibilités dentinaires et aux récessions gingivales au-delà de leurs seules interrelations. Les auteurs ont ainsi étudié, de 2013 à 2016, 185 patients adultes d’une consultation spécifique d’un programme ambulatoire de réhabilitation des lésions cervicales. À l’aide d’un questionnaire, ils ont recueilli des données concernant l’âge des patients, leur passé médical, le type de brossage dentaire appliqué, leurs habitudes alimentaires, leurs habitudes parafonctionnelles ou encore la présence de syndrome gastro-œsophagien. Le niveau d’hygiène est relevé par un évaluateur. La profondeur et la forme des pertes de substances cervicales sont déterminées à l’aide de moulages issus d’empreintes aux élastomères, le niveau de sensibilité dentinaire est indiqué par le patient grâce à une échelle visuelle de douleur suite à un stimulus de 2 secondes par jet d’air froid sur la lésion, tandis que les récessions gingivales sont caractérisées grâce à la classification spécifique de Miller, bien connue des parodontologistes. La présence de traumatismes occlusaux est révélée par un examen clinique à l’aide de papier encré.
Les résultats de cette étude montrent une forte corrélation avec l’âge pour la présence des lésions cervicales et des récessions. Les sensibilités dentinaires y sont aussi corrélées, mais diminuent après cinquante ans ; ce qui s’explique assez logiquement par une pulpe plus atrophiée, donc moins proche de la surface dans cette tranche d’âge. Parmi les types de dents, les prémolaires maxillaires sont les plus atteintes. Cela peut s’expliquer par leur plus faible volume coronaire, une table osseuse vestibulaire très fine et des contraintes occlusales en latéralité qui favorisent la flexion de leur couronne. Parmi la morphologie des lésions, les lésions étroites et profondes, donc plus proches de la pulpe, sont logiquement plus souvent associées à des sensibilités dentinaires que les lésions plus arrondies. Plus globalement, les auteurs confirment que la prévalence des lésions cervicales et des récessions est fortement corrélée à l’âge, et que celles-ci sont aussi corrélées avec les sensibilités dentinaires.
Commentaire
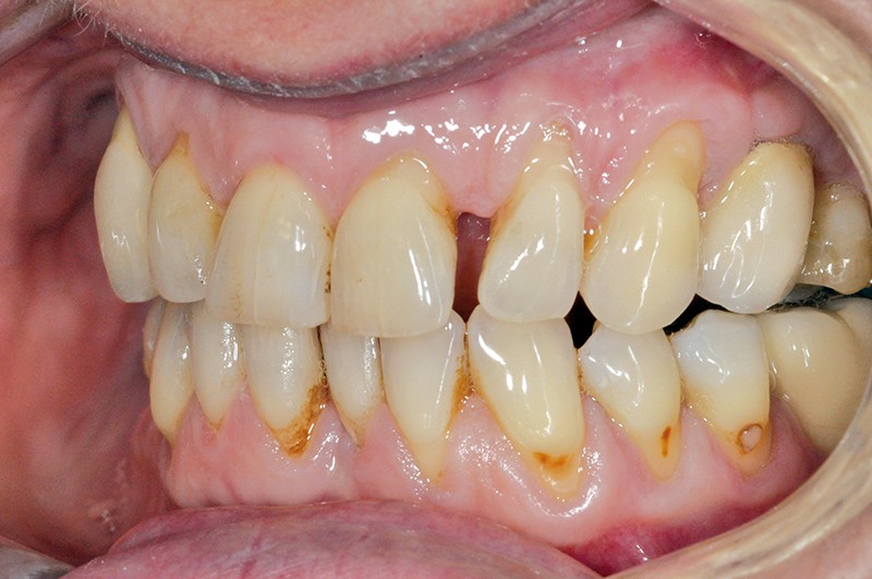
Ainsi, si le brossage « normal » n’altère pas significativement la surface dentaire selon certaines études, un brossage excessif horizontal et appuyé avec un dentifrice fortement chargé en abrasifs, comme le sont les dentifrices dit « blancheur », favorisera sans aucun doute l’ouverture des tubuli et les sensibilités dentinaires. Par ailleurs, l’exposition dentinaire des lésions de collet non carieuses non traitées associées à une hygiène imparfaite favorisera le développement carieux sur ces zones exposées (voir photo). Face à des lésions cervicales non carieuses symptomatiques ou non, le chirurgien-dentiste doit tâcher d’en comprendre les principaux facteurs étiologiques et adopter une thérapeutique adaptée afin d’enrayer la cascade des événements pathogéniques qui aggraveront inévitablement la situation avec le temps. Mais le traitement de ces lésions révèle encore bien d’autres difficultés…

Commentaires