Propos recueillis par Philippe Amat
Philippe Amat : Le traitement des malocclusions de classe III est réputé délicat.
Sur quels éléments cliniques et radiologiques appuyez-vous votre pronostic thérapeutique ?
Jean-Michel Salagnac : La prévalence des pathologies dites de « Classes III » dans la population française est d’environ de 3 % à 7 % selon les auteurs, et varie selon les régions. Elles sont redoutées des orthodontistes, qui en ont moins l’habitude que d’autres pathologies, et jugent leur traitement difficile et incertain à long terme.
Sous le terme « classe III » (encore trop souvent assimilé à la prognathie mandibulaire) sont regroupées des dysmorphoses très différentes, d’étiologies et d’étiopathogénies diverses dans lesquelles tous les constituants squelettiques et dento-alvéolaires peuvent être affectés (dents, procès alvéolaires, dimensions du maxillaire, dimensions de la mandibule, leurs situations respectives et par rapport au crâne) tous ces éléments peuvent être associés, se compenser ou s’exagérer.
Certaines classes III présentent un caractère héréditaire, d’autres font partie d’un syndrome malformatif spécifique : achondroplasie, cranio-facio-sténose, trisomie 21.
Il s’agit donc d’un véritable syndrome qui comprend de nombreuses variétés cliniques dont les plus fréquemment rencontrées sont :
– rétromaxillie + promandibulie
– rétromaxillie + normo mandibulie
– normo maxillie + promandibulie
mais dans environ 50 % des cas il existe principalement une « insuffisance maxillaire ».
Le terme « classe III » n’est donc pas un diagnostic suffisant et acceptable.
A ces anomalies sagittales s’associent fréquemment des anomalies transversales et verticales et des troubles fonctionnels de la ventilation, de la mastication, du volume et de la position linguale, de la posture céphalique…
L’individualisation de ces différentes entités cliniques nécessite une prise en compte de la totalité des éléments de la tête : rachis cervical, base et voûte du crâne, situation de l’ATM/base du crâne, maxillaire, mandibule, procès alvéolaires, dents et impose un bilan de toutes les fonctions oro-faciales. Leur diagnostic est basée sur la sémiologie clinique et radiologique. L’examen clinique du patient en classe III comprend 4 étapes résumées dans les tableaux 1 à 4.![]()
![]()
![]()
![]()
Ainsi conduit l’examen clinique a une grande valeur pronostique et permet de reconnaître quelques indices défavorables résumés dans le tableau n° 5.![]()
De même, l’analyse des téléradiographies, notamment de profil par la méthode architecturale de Delaire, permet de mettre en évidence les particularités du squelette cranio-facial et précise la participation du maxillaire et de la mandibule à la « classe III ».
Chaque sujet présentant une classe III a ses propres caractéristiques et nécessite une thérapeutique individualisée.
Des indices radiologiques « défavorables » sont résumés dans la deuxième partie du tableau 5.
Les signes cliniques et radiologiques ainsi recueillis permettent un bilan complet et précis des anomalies, orientent le choix thérapeutique, constituent une prévision de croissance, donc un pronostic pour en informer utilement les patients.
P.A. : Vous insistez beaucoup sur l’intérêt du traitement orthopédique précoce.
Pour vous la fronde mentonnière conserve-t-elle tout son intérêt chez nos très jeunes patients ?
Dans quelle tranche d’âge l’utilisez-vous, avec quelles modalités (port journalier, force appliquée et durée du traitement) ?
JMS : L’instauration d’un traitement précoce nécessite bien sûr un dépistage précoce. Lorsque cette pathologie de la croissance qui risque de s’aggraver avec le temps a été constatée, je pense qu’attendre pour entreprendre le traitement n’est pas une attitude médicale responsable. C’est même une perte de chance pour le patient.
Non seulement la fronde mentonnière conserve tout son intérêt, mais c’est le seul outil thérapeutique efficace chez le très jeune enfant. Son efficacité est optimale entre 12-36 mois. Bien souvent à cet âge la « classe III » est modérée et s’accompagne d’une part de proglissement mandibulaire. Un des objectifs de la fronde est de s’opposer à l’avancée de la mandibule. Une force faible d’environ 100 à 200 g suffit. À cet âge, l’enfant n’est pas scolarisé, il est gardé dans la famille ou va à la crèche, il a de longues plages de sommeil dans une journée. Il est donc facile de faire porter la fronde pendant 14 à 16h/24h. Ce dispositif est très bien toléré par l’enfant, bien accepté par les parents et ce d’autant mieux si l’un des parents a eu (subi ou bénéficié !) un traitement orthopédique ou chirurgical pour traitement de sa « classe III ».
La durée moyenne de cette phase de traitement varie de 4 à 6 mois.
Un autre avantage de la fronde mentonnière est qu’elle remonte la lèvre inférieure et assure un contact bilabial.
Il est bien sûr indispensable de s’assurer avant de mettre en œuvre cette thérapeutique que l’enfant ne présente pas d’obstacle à une ventilation nasale normale comme une hypertrophie adénoïdienne ou amygdalienne…
Dans les cas favorables cette phase orthopédique peut être suffisante. Cependant il est nécessaire d’effectuer une surveillance annuelle ou bisannuelle pour s’assurer de la stabilité du résultat jusqu’à l’évolution des quatre incisives supérieures permanentes, c’est-à-dire vers 7 ans. Si les rapports incisifs s’établissent correctement, on peut alors considérer que l’étape orthopédique a été bénéfique.
Il est regrettable que, d’une part, de nombreux orthodontistes ne voient pas suffisamment tôt ces jeunes patients et considèrent cette thérapeutique d’un « autre âge ou historique » et que, d’autre part, des mentonnières adaptées à la morphologie des mentons des très jeunes enfants ne soient pas commercialisées. J’utilise les dispositifs de chez Ortho-Force (ref. SOF-CCJ) dont je raccourcis les extrémités de la mentonnière.
40 années d’utilisation des frondes mentonnières m’ont convaincu de leur efficience et ont permis d’éviter à beaucoup de patients une chirurgie orthognathique.
P.A. : Depuis 1969, les tractions postéro-antérieures à appui fronto-mentonnier sur masque de Delaire ont changé le paradigme du traitement et du pronostic des classes III par insuffisance maxillaire.
À partir de et jusqu’à quel âge maximal les employez-vous ? Quelle force de traction et quelle durée de port recommandez-vous ?
JMS : La meilleure indication des tractions à direction postéro-antérieures sur masque facial sont les insuffisants maxillaires c’est-à-dire les rétromaxillies, les brachymaxillies et les rétroalvéolies maxillaires ce qui représente plus de 50 % des classes III. Les résultats les plus rapides et les meilleurs s’obtiennent entre 5 et 9 ans, mais on obtient de bons résultats jusqu’à l’âge de 12 -13 ans. Au-delà la réponse est individuelle.
L’intensité des tractions varie de 600 g (2x300g) avec un arc double scellé sur les deuxièmes molaires maxillaires temporaires à 800 g-1 000 g (2x400g ou 2x500g) avec un arc double scellé sur les premières molaires maxillaires.
Les tractions sont exercées uniquement la nuit soit environ 8 à 10 h/24h.
P.A. : Vous avez apporté une réponse simple et efficace au délicat problème de la pseudo-dysharmonie dento-maxillaire due à une insuffisance de développement du prémaxillaire.
Comment en individualisez-vous les différentes entités cliniques. Quels protocoles thérapeutiques spécifiques leur appliquez-vous ?
JMS : Il est important de distinguer chez les insuffisants maxillaires quatre paramètres, qui sont bien mis en évidence par la méthode d’analyse céphalométrique de Delaire-Salagnac, et reconnaître ce qui provient (fig. 1) :
• d’une mauvaise orientation du maxillaire (rétromaxillie)
• d’un défaut de longueur de la base palatine (ENA-Pti) en distinguant la participation du prémaxillaire (ENA-NP) et du palais secondaire (NP-Pti) Normalement ENA-NP= ¼ ENA-ENP ce qui permet de distinguer les brachymaxillies globales et les « brachy-prémaxillies »,
Plusieurs de ces quatre paramètres peuvent bien sûr coexister.
Beaucoup d’insuffisances maxillaires s’accompagnent d’une apparente dysharmonie dento-maxillaire caractérisée par un manque de place plus ou moins important pour les canines maxillaires. Leur traitement est difficile car toute extraction est formellement contre indiquée pour ne pas ajouter une insuffisance dento-alvéolaire à l’insuffisance squelettique, surtout si l’insuffisance maxillaire est associée à une prognathie mandibulaire. Trois formes cliniques d’insuffisances alvéolo-dentaires maxillaires avec manque de place pour les canines se rencontrent fréquemment et doivent être reconnues. Ce sont :
• les brachyalvéolies maxillaires globales avec manque de place pour les canines (fig. 2a),
• les insuffisances prémaxillaires caractérisées par une position normale des secteurs molaires et prémolaires, un bout à bout incisif et un manque de place pour les canines (fig. 2b),
• les insuffisances prémaxillaires avec mésio position des secteurs molaires et prémolaires, manque de place pour les canines et bout à bout incisif ou articulé incisif inversé (fig. 2c).
Leurs traitements nécessitent des tractions postéro-antérieures selon des modalités spécifiques. Utilisées depuis 1976, les tractions orthopédiques postéro-antérieures à ancrage incisif par l’intermédiaire du masque facial de Delaire ou du dispositif à potences antérieures apportent une réponse à ce difficile problème.
Principes de traitement
S’il existe une rétromaxillie associée à l’une de ces trois formes cliniques, il convient dans un premier temps de corriger celle-ci en appliquant des tractions à direction postéro-antérieures sur masque de Delaire.
• Traitement des brachyalvéolies supérieures avec manque de place pour les canines et bout à bout incisif : il convient, dans une première phase, d’exercer les tractions sur un arc double relié à un masque facial de Delaire puis, dans une deuxième phase, d’appliquer les tractions à partir des incisives soit avec le masque facial soit avec notre dispositif personnel : Dispositif à Potences Antérieures (DPA) (fig. 2a).
• Traitement des insuffisants prémaxillaires avec : secteurs prémolaires et molaires bien situés, incisives en bout à bout et place insuffisante pour les canines. Le dispositif extra-oral utilisé peut être soit le masque facial soit l’arc à potences antérieures.(fig. 2b).
• Traitement des insuffisants prémaxillaires avec mésialisation des secteurs latéraux, bout à bout incisif et place insuffisante pour les canines. Il convient alors d’utiliser une force extra-orale munie de potences antérieures « dispositif trombone à coulisses » qui permet à la fois de distaler les secteurs latéraux en ajoutant une traction extra-orale cervicale à direction antéro-postérieure et d’avancer le bloc incisif par les tractions postéro-antérieures créant ainsi la place nécessaire pour les canines (fig. 2c).
Modalités d’utilisation
Les dispositifs d’ancrage incisif
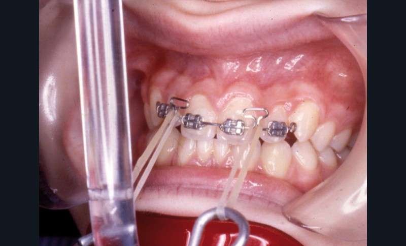
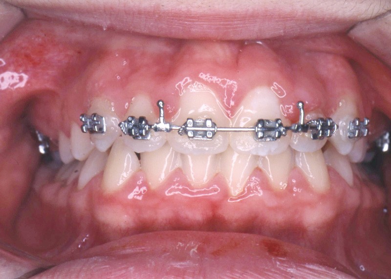
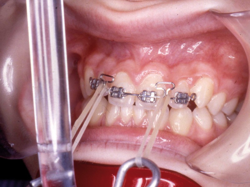
L’ancrage incisif est constitué par un arc rigide « pleine gorge ».022x.028 réunissant les quatre incisives avec deux crochets sertis ou soudés entre 11-12 et 21-22 (fig. 3).
Le dispositif extra-oral
Il est déterminé par l’étude clinique et radiologique. Ce sera selon les cas :
– soit le masque facial de Delaire
– soit le dispositif à potences antérieures DPA (fig. 4) la partie intra-orale d’une force extra-orale est isolée après section des branches externes.
Sur cet arc interne sont soudées deux potences verticales en acier rigide de diamètre 1 mm et de 3 cm de longueur.
Avantages de ce dispositif : beaucoup moins imposant que le masque facial, il est facilement accepté par les patients et leur entourage familial. Mécaniquement, il permet le contrôle des secteurs latéraux et exerce une légère action distalante sur les molaires.
La traction élastique
Deux élastiques relient l’ancrage incisif au masque facial ou à l’arc à potences antérieures et délivrent chacun une force de 400 g soit au total 800 g. C’est une erreur de vouloir utiliser des forces trop légères, elles provoqueront une version des incisives. Cette traction est appliquée uniquement la nuit soit environ 10h/24h. Elle doit être orientée obliquement de haut en bas (Fig. 5a et 5b).
Ainsi utilisées ces forces lourdes provoquent très peu de sensibilité et de mobilité dentaire. Elles doivent être appliquées jusqu’à obtention d’un recouvrement incisif satisfaisant dans le sens antéro-postérieur et vertical (jugé sur la position des incisives latérales et non des incisives centrales).
P.A. : Les syndromes de classe III associent fréquemment à l’anomalie sagittale des anomalies de la dimension transversale. En pareil cas, conseillez-vous de mener la correction transversale avant, pendant, ou après celle de la dimension sagittale.
Quelles modalités et dispositifs thérapeutiques privilégiez-vous ?
JMS : En général je n’aime pas essayer de faire plusieurs corrections dans des directions différentes simultanément. Souvent, le contrôle est moins bon et on perd plus de temps que l’on en gagne.
Je fais la correction du déficit transversal :
• avant les tractions sur masque lorsque, après mise en position manuellement corrigée des moulages, il persiste une insuffisance transversale et lorsque l’insuffisance transversale maxillaire est associée à un déficit de ventilation nasale. J’utilise alors soit un disjoncteur intermaxillaire, soit un dispositif d’expansion personnel qui est une variante du Quad hélix,
• après lorsqu’après simulation de la correction sagittale sur les moulages le déficit transversal est corrigé.
Mon conseil : appliquer les tractions postéro-antérieures le plus tôt possible.
P.A. : La qualité du résultat de traitement d’une classe III ne se juge qu’en fin de croissance.
À plus court terme, quels critères de succès thérapeutiques vous fixez-vous, notamment sur le plan radiologique ?
JMS : J’avertis toujours les parents des enfants présentant une dysmorphose de type classe III, que la qualité du traitement se juge à l’âge adulte. La croissance pubertaire et la maturation squelettique faciale postpubertaire réservent parfois bien des surprises.
Mon conseil : Ne jamais se satisfaire de l’amélioration des seuls rapports incisifs pour apprécier la qualité du résultat. Poursuivre les tractions pour obtenir une hypercorrection maximale…on ne va jamais trop loin.
À court terme, 2 critères d’appréciation des résultats sont observables cliniquement et radiologiquement et doivent être systématiquement recherchés
1. Modifications immédiates caractérisées :
• au maxillaire par :
– un changement d’orientation du maxillaire par rapport à la base du crâne. Souvent, il suffit de modifier l’orientation du maxillaire par rapport au crâne de 2° pour transformer une classe III en classe I squelettique,
– une augmentation de la longueur de la base maxillaire (ENA-ENP),
– une augmentation de la distance face distale de la dernière molaire – tubérosité maxillaire. Ce gain de place dans la région postérieure est capital à observer. Il est le témoin le plus important de l’efficacité des tractions et il transforme la notion de DDM au maxillaire supérieur dans les insuffisances maxillaires.
• à la mandibule par un léger abaissement et un recul de la mandibule avec parfois une petite augmentation de la hauteur faciale antérieure : Ena-Menton
• au niveau dentaire par :
– une modification toujours favorable de l’orientation des incisives supérieures par rapport au prémaxillaire,
– une amélioration des rapports dentaires qui passent de type Classe III à classe I et de l’orientation du plan d’occlusion,
• au niveau du profil par l’amélioration de l’esthétique faciale grâce à une amélioration des rapports inter-labiaux.
2. Modifications secondaires
Elles apparaissent dans les mois qui suivent l’arrêt des tractions :
• modifications esthétiques par comblement progressif des creux naso-géniens et des régions malaires sous orbitaires.
• modifications structurales
– maxillaires : remodelage de la région alvéolaire supérieure (zone du point A), modification de la courbure de l’orifice piriforme, modification de l’aspect radiologique du pilier canin qui apparaît plus dense, modification de l’orientation des incisives.
– mandibulaires : remodelage de la face antérieure de la symphyse, remodelage de l’angle mandibulaire, remodelage du bord basilaire
• modifications fonctionnelles
– amélioration de l’efficacité masticatoire,
– amélioration de la déglutition.
P.A. : Afin de potentialiser les effets de la protraction maxillaire et de pérenniser les résultats obtenus, une normalisation de l’ensemble des fonctions oro-faciales est indispensable.
C’est le vaste domaine de ce que vous dénommez « les thérapeutiques associées ».
Qui les conduit, comment et avec quels dispositifs ?
JMS : L’orthodontiste doit mettre en œuvre des « thérapeutiques associées » qui sont un complément essentiel aux thérapeutiques mécaniques et ont pour objectifs :
• de maintenir, renforcer et de compléter l’action des thérapeutiques mécaniques,
• d’induire un changement de comportement de la langue dont l’action doit être dirigée vers la partie antérieure du maxillaire,
• de s’assurer d’un contact interlabial efficient ,
• d’une bonne ventilation nasale.
Les moyens utilisés sont : l’ascenseur lingual, les plaques de surélévation postérieure, la kinésithérapie labiale, l’apprentissage de la ventilation nasale, le traitement médical de la muqueuse nasale.
P.A. : Vous avez inventé l’ascenseur lingual pour imposer à la langue une position permanente plus haute et plus antérieure, sans diminution de l’amplitude de ses mouvements.
Continuez-vous à l’utiliser exclusivement ou bien employez-vous aussi des gouttières de rééducation ?
JMS : L’ascenseur lingual a été décrit en 1987. Je continue à l’utiliser préférentiellement car il est réalisé à partir d’une double empreinte qui enregistre précisément l’anatomie des arcades dentaires et de la langue dans la position souhaitée. Il est donc strictement individuel ce qui lui permet d’être bien toléré malgré son volume plus important que les gouttières de rééducation préfabriquées.
Certaines gouttières de rééducation ont repris cette idée et poursuivent cet objectif mais les bourrelets sous linguaux sont identiques pour tous les patients… mais elles ont l’avantage d’être fabriquées industriellement, devraient donc normalement être plus aisément utilisables. Pourtant, curieusement, elles sont souvent moins bien tolérées, sans doute car elles sont moins bien adaptées à l’anatomie du patient !
P.A. : Si les sémiologies clinique et radiologique indiquent que le traitement de la dysmorphose nécessitera une chirurgie orthognathique, jugez-vous souhaitable malgré tout d’entreprendre un traitement orthopédique ?
JMS : C’est une question difficile. Je répondrai OUI mais sous certaines conditions et avec des objectifs précis. Le traitement orthopédique visera à optimiser le développement du maxillaire et des arcades dentaires qui de toute façon devront être congruentes au moment de la chirurgie c’est-à-dire vers la fin de la croissance.
Le traitement doit se faire, sauf exception, sans extraction dentaire, et ne doit pas chercher à minorer la dysmorphose par des compensations dento-alvéolaires en pensant faciliter la chirurgie.
Deux situations sont fréquentes :
– soit l’enfant est jeune, en denture mixte, en l’absence de traitement les dysfonctions vont se majorer et vont aggraver progressivement le schéma squelettique déjà défavorable. La préparation à la chirurgie sera alors beaucoup plus difficile. Il se pose ensuite le maintien du résultat par une contention en attendant la chirurgie.
– soit l’enfant est plus âgé, en denture permanente complète, avec une croissance avancée qui limite les possibilités orthopédiques, alors on peut différer la préparation des arcades dentaires pour supprimer le temps de latence entre la fin du traitement orthodontique et la chirurgie.
![]()






Commentaires