Les prothèses amovibles complètes à base résine jouent un rôle fondamental pour la qualité de vie des édentés totaux qui les portent. Privés de ces dispositifs médicaux, les patients perdent la capacité de mastiquer des aliments solides et la forme normale de leur visage ; ce qui entraîne la perte ou l’altération de la plupart des fonctions manducatrices et de l’estime de soi. Les prothèses amovibles fracturées à la suite d’un choc, d’une chute ou par manque de résistance ne peuvent plus être portées et « transforment » immédiatement les patients concernés en édentés non réhabilités. Différents moyens de renfort peuvent être envisagés pour prévenir ces fractures et leurs conséquences. Ils permettent en outre de répondre à deux objectifs, d’abord à celui d’augmenter la résistance à la fracture de la prothèse, mais aussi d’en augmenter la rigidité pour prévenir la résorption osseuse de la crête sous-jacente grâce à une meilleure répartition des contraintes sous les selles prothétiques.
L’objectif de cette revue de littérature est précisément d’évaluer les effets des moyens de renfort et de déterminer les plus favorables d’entre eux en termes de matériaux employés, de design et de situation dans la prothèse. Quarante articles publiés entre 2005 et 2015 ont ainsi été retenus et analysés. Parmi les moyens de renforts possibles, on distingue d’une part les renforts métalliques sous forme de fil plié ajusté à la forme de la prothèse ou de pièce métallique coulée réalisée sur mesure. D’autre part, différentes natures de fibres synthétiques peuvent aussi être employées sous forme de fils continus, de réseaux tressés ou tissés ou bien encore sous forme de copeaux ou de flocons incorporés à la résine (jusqu’à 20 % en proportion) pour en améliorer les propriétés mécaniques. Bien que les fibres de verre fassent l’objet du plus grand nombre d’études dans la décennie 2005-2015, cette revue conclut qu’un renfort métallique coulé sur mesure constitue le moyen le plus efficace pour améliorer les propriétés mécaniques de la prothèse, à la fois du point de vue de sa résistance et de sa rigidité.
Concernant son positionnement, le renfort doit occuper la zone où la prothèse reçoit le maximum de contraintes et de déformations, que l’on situe en regard et le long de la crête résiduelle, et au-dessus des attachements sur implants ou dents résiduelles lorsqu’ils sont employés pour soutenir les attachements axiaux. Parmi les inconvénients des renforts coulés, les auteurs mentionnent leur couleur qui peut les rendre visibles au travers de la résine avec un effet disgracieux dans les zones antérieures, et leur adhésion difficile avec la résine. Les renforts à base de fibres sont moins visibles une fois incorporés à la prothèse, mais l’emploi de ce matériau est plus coûteux. Par ailleurs, l’adhésion de la résine aux alliages peut être améliorée en associant sablage et agent de couplage, tandis que l’usage de silane améliore l’adhésion des fibres de verre.
Les auteurs de cette revue de littérature recommandent donc le placement d’un renfort dans toutes les prothèses amovibles en résine afin d’en améliorer la résistance à la fracture d’une part, et la rigidité d’autre part, pour limiter la résorption de la crête sous-jacente. L’analyse des articles publiés de 2005 à 2015 révèle qu’un renfort métallique coulé situé au-dessus de la crête résiduelle et des attachements garantit les meilleures performances en termes de renfort mécanique.
Commentaires
Outre l’amélioration de la résistance à la fracture des prothèses amovibles par l’incorporation d’un moyen de renfort, cet article souligne aussi son rôle dans la prévention de la résorption osseuse par une meilleure répartition
des contraintes transmises sous les prothèses qui, par extension, devrait aussi concerner une meilleure prévention des pertes osseuses autour des implants supports d’attachements intra-coronaires axiaux. Les inconvénients esthétiques des renforts coulés peuvent être limités par l’application d’une couche
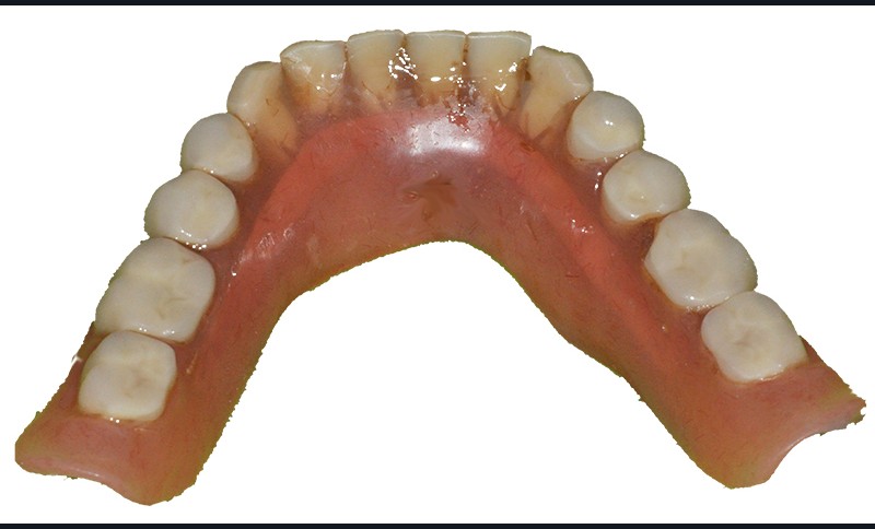
de céramique opaque de couleur rose qui, non glacée, facilite aussi l’adhérence de la résine, mais c’est surtout le design de la pièce qui doit être adapté à dessein. L’intégration de ce type de renfort est fortement recommandée dans les prothèses amovibles complètes mandibulaires intégrant des boîtiers Locators qui impliquent de facto une épaisseur de résine plus fine au-dessus des boîtiers où se concentrent les contraintes (figures). La réalisation d’une maquette de fonderie secondairement coulée par la technique de la cire perdue permet d’ajuster parfaitement le renfort à la surface de la crête et de la positionner idéalement dans le volume de la base prothétique. Notons cependant qu’un renfort métallique coulé intégré dans une prothèse amovible complète n’en fait pas une prothèse amovible à infrastructure métallique et ne peut pas prétendre à la cotation CCAM de cette dernière.
des contraintes transmises sous les prothèses qui, par extension, devrait aussi concerner une meilleure prévention des pertes osseuses autour des implants supports d’attachements intra-coronaires axiaux. Les inconvénients esthétiques des renforts coulés peuvent être limités par l’application d’une couche
de céramique opaque de couleur rose qui, non glacée, facilite aussi l’adhérence de la résine, mais c’est surtout le design de la pièce qui doit être adapté à dessein. L’intégration de ce type de renfort est fortement recommandée dans les prothèses amovibles complètes mandibulaires intégrant des boîtiers Locators qui impliquent de facto une épaisseur de résine plus fine au-dessus des boîtiers où se concentrent les contraintes (figures). La réalisation d’une maquette de fonderie secondairement coulée par la technique de la cire perdue permet d’ajuster parfaitement le renfort à la surface de la crête et de la positionner idéalement dans le volume de la base prothétique. Notons cependant qu’un renfort métallique coulé intégré dans une prothèse amovible complète n’en fait pas une prothèse amovible à infrastructure métallique et ne peut pas prétendre à la cotation CCAM de cette dernière.
Ces dernières années, les procédés de CFAO se sont considérablement développés, aussi bien au niveau des logiciels de conception que des moyens de fabrication. Aujourd’hui, les procédés de mise en forme des structures métalliques par micro-fusion laser ont supplanté l’usinage, beaucoup plus coûteux. Ces procédés additifs permettent aussi la réalisation de structures alvéolées beaucoup plus favorables à la rétention de la résine. Cependant, la majorité des logiciels de conception connus n’intègrent pas spécifiquement la réalisation de renforts métalliques pour prothèse amovible. Une meilleure considération du retour d’expérience ou de l’expertise clinique des praticiens par les développeurs laisserait augurer de nombreuses perspectives d’application de la CFAO à des procédés considérés comme les plus conventionnels.



Commentaires