Mpox : un an après le début de l’épidémie, la DGS appelle à la vigilance

  • Publié le .
Information dentaire

Alors que 17 cas confirmés d’infection à virus mpox (variole du singe ou monkeypox) ont été signalés en région Centre-Val-de-Loire depuis le 1er janvier, la Direction générale de la santé (DGS) appelle les professionnels de santé à rester mobilisé pour prévenir toute résurgence.

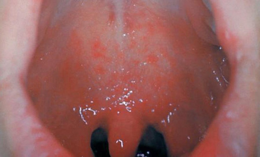
Dans un « DGS urgent » du 5 mai, les autorités de santé détaillent à l’intention des médecins et infirmiers les conduites à tenir en cas d’infection. Mais l’essentiel, selon la DGS, est d’abord de maintenir la surveillance et le dépistage. Rappelons que dans cette affection les muqueuses buccales sont particulièrement touchées ; les praticiens se doivent donc d’être vigilants.

L’éruption cutanée qui commence généralement dans les un à 3 jours suivant l’apparition de la fièvre, touche en premier lieu la bouche et la langue (énanthème), indique le Haut Conseil de la santé publique (HCSP) dans un avis publié en mai 2022. Puis, une éruption maculaire cutanée apparaît, débutant au niveau du visage et s’étendant aux membres supérieurs et inférieurs, puis aux mains et aux pieds, incluant paumes et plantes. Au 3e jour, les lésions maculaires (plates) évoluent en papules (lésions fermes en léger relief) et se développent au 4-5e jour en vésicules (lésions remplies de liquide clair). Elles se transforment en pustules (lésions remplies de liquide jaunâtre) et enfin en croûtes qui sèchent et tombent à partir du 7e jour.

« L’évolution spontanée de cette maladie virale est majoritairement favorable en une vingtaine de jours », souligne le HCSP. Les lésions muqueuses précèdent les lésions cutanées, ce qui explique que le virus soit transmis au début principalement par la salive et les gouttelettes respiratoires après un contact face à face prolongé.

Depuis le début de l’épidémie, il y a un an (mai 2022), 5 002 cas d’infection ont été recensés en France. La très grande majorité des cas adultes déclarés sont de sexe masculin. Seuls 2,9 % d’entre eux sont des femmes. L’âge médian est de 36 ans. Aucun décès n’a été signalé. La vaccination est possible. L’ensemble de la documentation relative au mpox est disponible ici : https://bit.ly/41e3ly8

Thèmes abordés

Commentaires

Laisser un commentaire

Sur le même sujet

Santé publique Vie de la profession

Une proposition de loi veut créer un statut d’hygiéniste dentaire

Selon le député Fabien Di Filippo (Droite républicaine) à l’origine de ce texte, il s’agit, face à la pénurie croissante...
Santé publique

Article réservé à nos abonnés Réduire l’empreinte eau au cabinet dentaire : un enjeu écologique et sanitaire

L’eau, une ressource vitale et sensible (INTER 2) L’eau est massivement présente sur Terre, mais seule une faible proportion – environ 3...
Actualité Santé publique

« Et toi, t’as des caries ? »

Caries, anatomie dentaire, parodontite, implants, hygiène bucco-dentaire… Dans le cinquième et dernier épisode de la série Youtube « Quand je serai grand je serai soignant »...