Odontome géant

  • Publié le . Paru dans L'Information Dentaire n°29 - 4 septembre 2019
Information dentaire

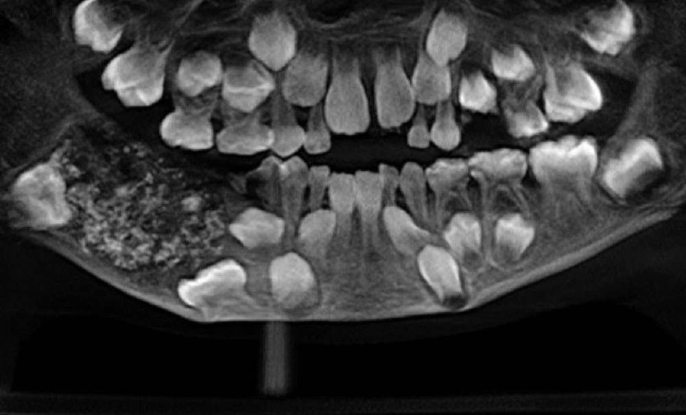
Les praticiens du département de chirurgie buccale et maxillo-faciale du Saveetha Dental College and Hospital situé dans la ville de Chennai, dans le sud-ouest de l’Inde, ont retiré un nombre record de 526 dents et bourgeons dentaires dans la bouche d’un garçon de sept ans, rapporte un communiqué de l’hôpital début août.

L’excroissance de 200 g se situait au niveau de l’os de la mandibule droite. Il a fallu 5 heures pour retirer toutes ces petites dents dont la taille variait de 1 à 15 mm mais qui, toutes, comprenaient « une couronne recouverte d’émail et une structure ressemblant à une racine », précise l’hôpital.

Thèmes abordés

Commentaires

Laisser un commentaire

Sur le même sujet

Actualité Communiqué Fiscalité Vie du cabinet

Canada : succès pour le RCSD

Mis en place au printemps 2024 le Régime canadien de soins dentaires (RCSD) couvre déjà près de six millions de personnes,...