Andréa, 11 ans, se présente en consultation pour cause de fortes sensibilités au niveau de 26. L’examen clinique y révèle la présence d’une restauration de type verre ionomère à haut relargage de fluor ainsi qu’un important défaut de structure coloré touchant la quasi-totalité de la dent (fig. 1). Le diagnostic d’hypominéralisation molaire-incisive (MIH) est posé.
Objectifs prothétiques
L’amélogenèse imparfaite héréditaire de type hypominéralisée est le principal diagnostic différentiel de la MIH ; elle affecte toutes les dents de l’arcade et entraîne une coloration jaune orangée de l’émail. Elle peut être écartée car ici, seules les premières molaires permanentes présentent ce type de défauts.
La problématique clinique de la MIH est triple :
- biologique : la minéralisation réduite de l’émail engendre une hypersensibilité. Agissant comme pauvre isolant, la pulpe n’est que peu protégée des changements de température ou de l’action mécanique du brossage. Ajoutée à la rétention de plaque augmentée due à la porosité amélaire, la dent MIH présente alors une susceptibilité importante à la carie ;
- fonctionnelle : la faiblesse mécanique de cet émail déficient cause sa détérioration précoce ;
- esthétique, au vu de la coloration des défauts [1].
Nos objectifs prothétiques sont clairs : protéger la pulpe des attaques extérieures et restaurer l’esthétique et la fonction de cette molaire permanente.
En prenant en considération la sévérité de l’atteinte et en respectant le gradient thérapeutique [2], notre choix s’est porté sur une restauration indirecte collée de type onlay. Quant au matériau, nous avons opté pour un composite micro-chargé de laboratoire pour son comportement viscoélastique garant d’un degré d’usure faible, à la fois du matériau mais également sur l’émail antagoniste atteint [3]. Aussi, notre patient s’engageant dans un traitement orthodontique, le composite permettra des retouches facilitées si variation d’occlusion il y a.
Réalisation clinique
La restauration de notre 26 est réalisée en deux séances cliniques. L’originalité dans notre protocole de collage résulte dans la prise en charge de ce tissu support hypominéralisé. En effet, notre réflexion thérapeutique s’est portée sur la gestion de cet émail altéré, et notamment sur la façon d’optimiser sa susceptibilité au collage. Notre proposition tient dans le fait d’infiltrer ce dernier afin de le renforcer et de potentialiser son accroche aux résines sus-jacentes.
Première séance
• Dépose de la restauration préexistante et éviction du tissu altéré
Sous champ opératoire, la dépose de la restauration est réalisée. Lors de la préparation tissulaire, la recherche d’un émail sain est primordiale pour un collage efficace ; nous nous assurons donc d’avoir un bandeau d’émail correct sur toute la périphérie de la préparation. En revanche, l’éviction voulant se limiter aux tissus pathologiques avec une évidente recherche d’économie tissulaire, l’émail hypominéralisé est partiellement éliminé : les défauts MIH prenant naissance à la jonction émail-dentine, des défauts exclusivement internes à l’émail ont été conservés (fig. 2).
• Scellement dentinaire immédiat (IDS)
Le tissu dentinaire est sablé puis mordancé pendant 15 secondes. Après rinçage efficace et séchage doux, un adhésif (LuxaBond Universal, DMG) est étalé puis photopolymérisé 20 secondes (fig. 3).
• Traitement et optimisation de l’émail hypominéralisé
L’altération mécanique et structurale de l’émail MIH en fait un tissu moins propice au collage. L’infiltration résineuse de ce tissu pourrait être une proposition intéressante d’optimisation au collage [5]. L’Icon (DMG) est une résine extrêmement fluide qui possède des monomères de faible poids moléculaires. Ces derniers permettent une pénétration résineuse en profondeur. L’infiltration au sein de cet émail fragilisé augmenterait non seulement sa micro-dureté mais potentialiserait également ses liaisons aux restaurations sus-jacentes [6]. Ici, l’IDS est à la dentine ce que l’infiltration Icon est à l’émail.
Avant la réalisation de ce protocole résineux, une déprotéinisation de l’ensemble de la surface à traiter est effectuée. Le taux de protéines au sein de l’émail MIH est 8 à 21 fois plus élevé qu’au sein de l’émail sain. L’accès de l’acide aux cristaux d’hydroxyapatite est très limité. Une solution de NaOCl est alors appliquée 60 secondes puis rincée abondamment [1].
Le protocole d’infiltration suit trois étapes :
- mordançage : le gel d’acide chlorhydrique (Icon Etch, DMG) est mécaniquement activé sur l’émail pendant 2 minutes, rincé 30 secondes et séché doucement ;
- déshydratation : l’éthanol (Icon Dry, DMG) est appliqué afin de favoriser la pénétration de la résine dans la lésion ;
- infiltration : la résine (Icon Infiltrant, DMG) est appliquée activement pendant 3 minutes puis photopolymérisée 40 secondes. Une seconde application est effectuée pendant 1 minute puis photopolymérisée à nouveau 40 secondes (fig. 4 à 6).
• Empreinte et temporisation
L’empreinte et la teinte prises, une restauration provisoire (Luxatemp-Inlay, DMG) est mise en place ; elle assure la protection biologique et le maintien de la fonction pendant la période d’élaboration de l’onlay (fig. 7).
Deuxième séance
Le collage de notre pièce prothétique va suivre un protocole d’assemblage classique [7]. Un mordançage sélectif de l’émail (fig. 8) va créer des microrugosités dans les zones qui n’auraient pas été infiltrées. L’adhésif est ensuite appliqué à toute la surface dentaire puis polymérisé 20 secondes.
Parallèlement, la pièce composite est préparée ; après un sablage à l’alumine (50 µm), elle est silanisée. L’assemblage se fait à l’aide d’un composite de collage dont les excès sont éliminés avant photopolymérisation (fig. 9). Une étape de polissage et finition du joint dento-prothétique vient finaliser la séquence.
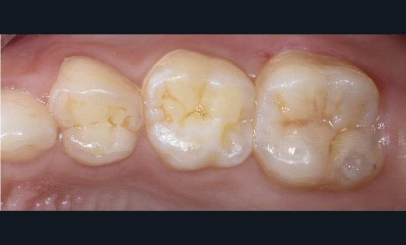
Un rendez-vous de contrôle une semaine suivant la pose valide l’intégration esthétique de notre restauration (fig. 10).
Conclusion
Ces dernières années, avec le développement des techniques adhésives, nous avons assisté à une révolution biologique qui permet aujourd’hui de réaliser un scellement étanche du complexe dentino-pulpaire, garant de la biocompatibilité de nos restaurations. D’énormes progrès ont été réalisés, tant sur le développement des biomatériaux que dans la compréhension des substrats supports impliqués dans l’assemblage de nos restaurations. Cependant, sur tissus altérés, le collage reste encore et toujours un challenge. De nouvelles approches, telles que l’utilisation de la résine Icon (DMG), nécessiteraient de plus amples investigations, surtout scientifiques, mais ouvrent de belles perspectives d’avenir dans la gestion des tissus altérés.










Commentaires