Parodontologie et orthodontie : duel ou duo ?

  • Publié le . Paru dans L'Information Dentaire
Information dentaire

Cette parodontologiste convaincue et convaincante a éclairé l’assistance sur les délicats rapports qu’entretiennent l’orthodontie et la parodontologie lorsque la maladie parodontale s’est invitée au tableau clinique de certains patients. Le titre de la présentation mariait ces deux disciplines indissociables dans une relation qui semblait relever du défi : « L’orthodontie, un outil dans la prise en charge des maladies parodontales. »

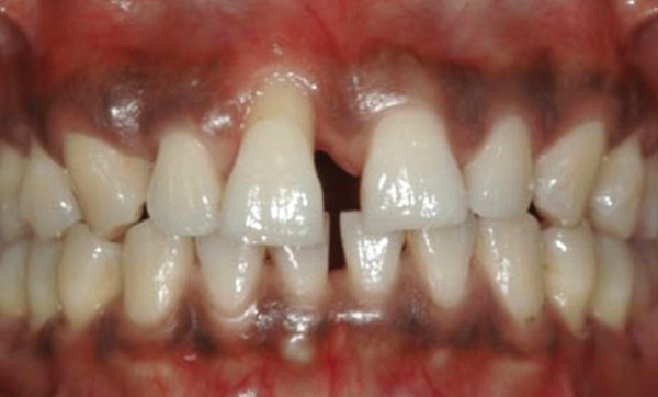
Le Docteur Jusanx a rappelé que près de la moitié des patients atteints de maladies parodontales d’intensité modérée à sévère présentent des déplacements dentaires consécutifs à des facteurs conjoints parmi lesquels la perte du support osseux et l’inflammation parodontale tiennent les rôles principaux. Si ces malpositions dentaires secondaires sont discrètes, une thérapeutique parodontale peut suffire au rétablissement spontané de la position initiale des dents. Mais dans la majorité des cas, ces déplacements pathologiques intervenus sous l’influence directe des facteurs occluso-fonctionnels et parodontaux nécessitent une prise en charge multidisciplinaire et donc le développement d’une approche globale des éléments en cause. L’objectif de la thérapeutique pluridisciplinaire envisagée ne consiste pas nécessairement à retrouver une normocclusion stricte, mais vise à restaurer une stabilité occlusale et à faciliter l’hygiène orale. L’orthodontie menée sur un parodonte réduit s’apparente donc à une thérapeutique de compromis et n’est pas contre-indiquée dès lors que certains impératifs sont scrupuleusement respectés. Parmi eux, le traitement de la maladie parodontale assure la maîtrise de l’infection bactérienne et doit s’accompagner de l’aménagement des conditions tissulaires et de la réparation des tissus détruits. Les forces orthodontiques exercées doivent être particulièrement bien contrôlées dans leur intensité et leur orientation pour limiter les risques de résorption radiculaire. Les ancrages orthodontiques peuvent être assurés par des minivis, des implants susceptibles de supporter ultérieurement une prothèse, ou encore certaines dents (en tenant compte de leur ancrage parodontal). Enfin, à l’issue du traitement ODF, la stabilité des dents déplacées doit être garantie par le calage postérieur de la dimension verticale, des contentions post-orthodontiques adaptées (en méthode directe ou par des attelles collées après préparation des dents pour résister efficacement aux forces de décollement tout en autorisant une hygiène orale satisfaisante).

Dans la deuxième partie de sa présentation, Isabelle Jusanx a détaillé l’influence des remaniements tissulaires orthodontiques sur la cicatrisation parodontale. Historiquement, différents traitements orthodontiques ont été élaborés pour modifier le contexte parodontal. L’égression orthodontique vise à obtenir un allongement coronaire, l’ingression tente de procurer un gain d’attache (en créant une longue attache épithéliale). La translation orthodontique ambitionne de reconstituer un support parodontal en déplaçant une dent en direction d’un défaut infra-osseux (avec toutes les restrictions que recèle cette option sensible).

Enfin, la conférencière a développé son propos sur la régénération parodontale pré-orthodontique destinée à reconstruire ad integrum les tissus lésés pour conduire au mieux la thérapeutique orthodontique.

Emmanuel Gouët, Hadi Antoun

Membres du Bureau du CFLIP

www.cflip.fr

Thèmes abordés

Commentaires

Laisser un commentaire