Préparation des restaurations partielles collées indirectes (RPCI)

  • Publié le . Paru dans L'Information Dentaire
Information dentaire

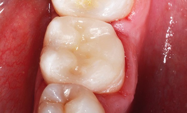
Fiables et économes en tissus dentaires, les restaurations partielles collées indirectes (RPCI) permettent de répondre à de nombreuses situations cliniques. Face à une perte de substance modérée à sévère, elles représentent la meilleure solution thérapeutique en termes de pérennité, d’esthétique (fig. 1) et de respect des structures résiduelles dentaires. L’analyse de la littérature internationale montre un taux de succès supérieur à 90 % avant 10 ans [1], tous types de matériaux de restauration confondus.
 
Le succès de ce type de restauration réside plus particulièrement dans la préparation cavitaire qui est fonction du contexte clinique occlusal et des structures dentaires résiduelles. Leur réalisation est trop souvent limitée aux dents vitales, alors que leur domaine d’indication s’étend largement aux dents dépulpées. Les RPCI représentent d’ailleurs très souvent la meilleure solution thérapeutique à la suite d’une biopulpectomie.
Les séances C49 (L’essentiel) et C52 (Travaux pratiques), qui se dérouleront le 30 novembre, ont pour but d’initier les participants, mais également de parfaire leurs connaissances et compétences dans la préparation des RPCI.
 
Lors de l’atelier de travaux pratiques, il sera ainsi abordé trois types de situations fréquemment rencontrées dans la pratique clinique : dent vitale avec atteinte carieuse proximale, dents dépulpées sur secteur prémolaire et sur secteur molaire. Différents types de préparations seront développés : onlay, overlay et endocouronne (type « Vprep »).
 
Les grands principes de préparation pour RPCI seront abordés : de la simple mise en dépouille de cavité et recouvrement cuspidien [2] à l’utilisation des principes de préparation assistée par guidage (PAG) développée par le Dr Jacques Raynal. En effet, l’utilisation des PAG permet de répondre aux objectifs d’épaisseur minimale exigée par les matériaux pour RPCI [3], tout en améliorant la répartition des contraintes occlusales sur le matériau et les structures dentaires résiduelles [4].
 
La présence de la cavité d’accès sur les dents dépulpées augmente significativement le risque de fracture des cuspides du fait de la différence de flexibilité observée entre les tissus dentaires et le matériau de restauration, mettant à mal le joint de collage. Dans ces situations cliniques, le recouvrement cuspidien par overlay permet de contrecarrer ce phénomène et donc de limiter le risque d’échec (fig. 2). Cependant, leur réalisation n’est pas toujours aisée. L’utilisation des PAG permet de simplifier leur confection à l’aide des fraises jauges qui guident la préparation en fonction des espaces prothétiques minimum. La forme de préparation finale présente ainsi des « V », d’où leur nom de « Vprep », fonction de l’occlusion et des cuspides préexistantes qui permettent d’optimiser les structures dentaires résiduelles par une meilleure répartition des contraintes occlusales et augmentent la résistance de la restauration. De plus, la présence des « V » facilite la lecture des limites prothétiques et participe à l’amélioration de l’intégration esthétique des restaurations.
 
Cette séance s’articulera également autour des différentes aides qui peuvent être à la disposition du praticien dans son exercice quotidien : aides optiques, instrumentation ultrasonore et empreinte optique. Cette dernière offre la possibilité de visualiser les préparations sur un modèle virtuel et ainsi de développer, lors de l’interprétation des limites prothétiques, une autocorrection (fig. 3). Cette analyse sera effectuée à l’aide de deux types de caméras intrabuccales parmi les meilleures du marché. Les participants auront ainsi la possibilité d’utiliser les deux systèmes d’empreinte optique et de s’initier à la CFAO directe ou semi-directe. De plus, ils pourront analyser leurs préparations à l’aide d’un logiciel spécifique par corrélation et comparaison entre ces dernières et une préparation « maître ». Cela leur permettra de visualiser en 3D les défauts des préparations, et ainsi parfaire leurs compétences. Ce logiciel permettra de visualiser les zones sous-préparées (en vert), surpréparées (en rouge) et dans la tolérance (en bleu) comparée à la préparation « maître ». Les praticiens pourront également comparer leurs préparations avec la dent native (fig. 4) et ainsi visualiser les défauts de préparation par autocorrection.
 
L’équipe pédagogique veillera à ce que chaque participant ait la possibilité d’utiliser l’ensemble des outils mis à disposition, pour garantir un accompagnement personnalisé durant cet atelier pratique innovant et particulièrement pertinent pour l’exercice clinique.
Pascale Corne, Emmanuel d’Incau

Thèmes abordés

Commentaires

Laisser un commentaire