La dentisterie esthétique a cette particularité de toucher également la psychologie des patients. Or un travail parfaitement réalisé sur le plan technique mais mal accepté psychologiquement aboutira au final à un échec, alors qu’un travail présentant quelques défaillances techniques mais psychologiquement très bien accepté par le patient sera considéré comme un franc succès. La psychologie est si importante lorsque l’on touche à l’esthétique qu’elle l’emporte sur la technique. Elle doit donc être prise en compte et intégrée à la réflexion et à l’analyse préalable au traitement.
Comprendre le paramètre psychologique, c’est intégrer l’idée qu’en matière d’esthétique nous n’avons pas tous la même conception de ce qui est beau ou non. En dentisterie, la littérature recèle de nombreuses publications faisant état de déterminants et de critères objectifs et rationnels permettant de quantifier mathématiquement ce qu’est un beau sourire. Ces informations sont d’une grande aide pour tenter de se rapprocher le plus possible de ce qu’est un sourire idéal. Mais, encore une fois, le sourire n’est pas uniquement « mathématique » et, comme tout ce qui touche à l’esthétique, la perception que nous avons du beau n’est pas unique. Nous avons tous un parcours de vie différent qui fait que nous sommes qui nous sommes et que notre perception du beau peut être différente de celle de notre voisin. Ainsi, notre personnalité, notre éducation, notre culture, notre niveau social, l’influence des médias et de la mode, sont autant de paramètres qui modèlent notre vision des choses et, par la même occasion, notre perception de la beauté en général et d’un beau sourire en particulier.
C’est cette idée différente que nous avons tous d’un sourire idéal, selon des critères subjectifs, qui peut vouer un traitement esthétique à l’échec malgré une connaissance et une maîtrise parfaite des techniques à mettre en œuvre pour accomplir la réhabilitation.
Ainsi, pour bien maîtriser cette problématique et mettre toutes les chances de réussite de notre côté, l’une des clés du succès d’un traitement esthétique réside dans l’établissement d’une bonne communication préalable entre les trois acteurs concernés que sont le patient, le praticien et le prothésiste.
Il est capital, dès les premières séances cliniques, de savoir identifier les besoins réels du patient et de pouvoir ensuite lui proposer un projet esthétique auquel il pourra prétendre en étant sûr de sa compréhension. Les premières séances cliniques vont servir à trouver les réponses à trois questions majeures :
– qu’est-ce que le patient attend réellement de moi ?
– comment m’assurer qu’il a bien compris ce que je peux lui proposer comme solution ?
– comment m’assurer que mon prothésiste accomplisse correctement le travail demandé ?
Toute la problématique réside donc dans l’idée d’arriver à définir une méthode de communication efficace pour répondre au mieux à ces trois questions, ce qui aboutira à un « projet esthétique », préalable indispensable avant de passer à l’aspect technique de la réalisation.
Alors que nous vivons dans une société où les gens ont de moins en moins le temps, où tout doit aller très vite, où l’on ressent encore plus l’idée que « le temps, c’est de l’argent », comment arriver à établir cette communication efficace ?
Comme le disait Confucius : « Une image vaut mille mots. » Autrement dit, pour qu’une communication soit efficace, elle doit être visuelle. Parvenir à illustrer par des images similaires, ou en montrant concrètement ce que l’on propose de réaliser, c’est garantir une bonne compréhension.
Il convient de ne pas oublier que tout ce qui est dit avant un traitement est perçu comme de l’information, alors que dire la même chose, mot pour mot, après le traitement peut être perçu comme de la justification. Ainsi, l’idéal serait de réussir à montrer le résultat final avant même de commencer à toucher aux dents de manière irréversible et, pour y parvenir, nous avons aujourd’hui bon nombre d’outils et de techniques à disposition.
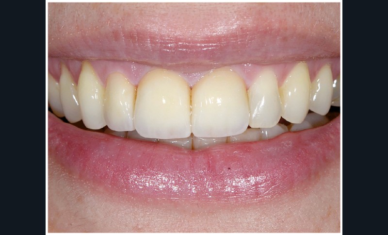
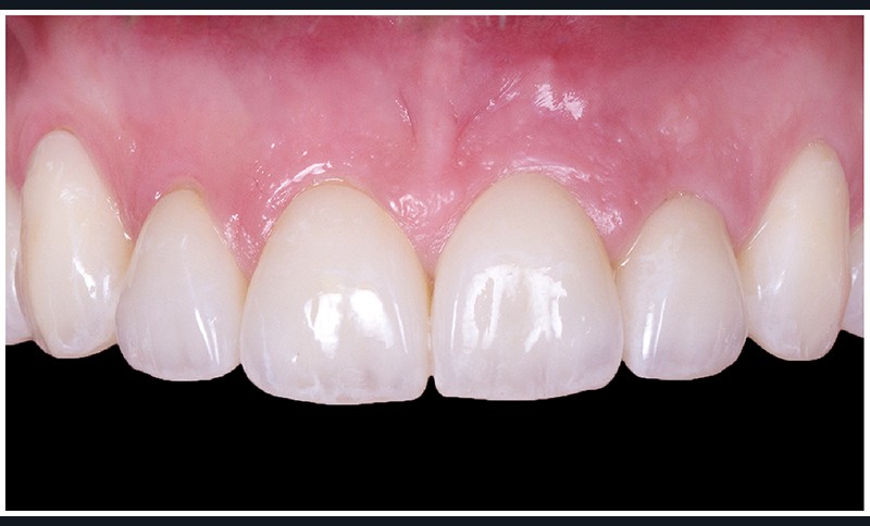
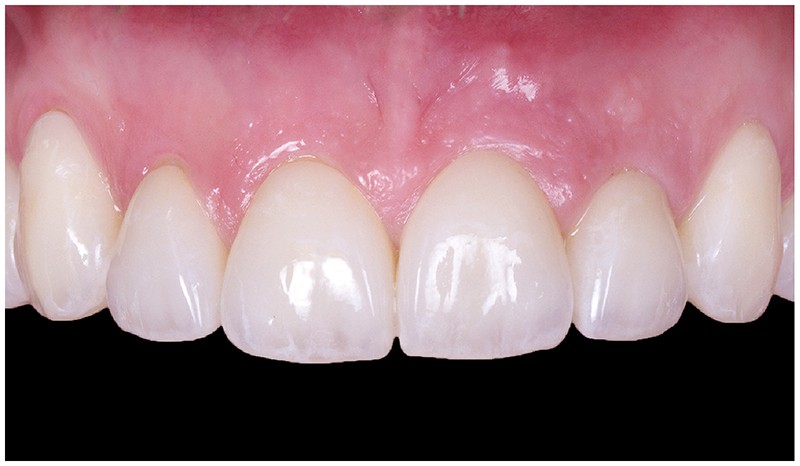
L’objet de notre séance sera de parler de ces approches de communication garantissant une meilleure réussite des traitements esthétiques. Ainsi, les docteurs Olivier Etienne et René Serfaty vont avoir l’occasion de discuter de deux approches différentes mais ayant les mêmes objectifs : analyser, élaborer, proposer. René Serfaty parlera des techniques de mise en place de composite directement en bouche ou indirectement en utilisant un masque à partir d’un wax-up
(fig. 1 et 2). Olivier Etienne, quant à lui, parlera des outils numériques que nous avons à disposition et qui sont perçus aujourd’hui comme une modernité thérapeutique (fig. 3 et 4).
Ce débat sera l’occasion de revenir sur l’analyse esthétique du sourire et sur le concept de projet esthétique. Nos conférenciers vont également tenter de démontrer l’intérêt de chaque approche expliquant les procédures mises en œuvre en s’appuyant bien évidemment sur des exemples cliniques concrets du quotidien ayant bénéficié de ces approches. Nous verrons également que faire appel à de tels outils n’est pas systématique et que ce n’est pas toujours chose aisée à réaliser. En effet, l’approche directe comme l’approche numérique présentent également des limites et des difficultés que nous ne manquerons pas de mettre en avant et de discuter.




Commentaires