Etiologie d’une « déminéralisation »
Peut-on encore prendre la fraise pour placer un matériau de restauration même lorsque ces lésions ne sont pas cavitaires ?
– Reminéraliser les tissus dentaires calcifiés, c’est s’inscrire dans une démarche médicale de traitement non invasif de lésions dentaires amélaires détectées à un stade précoce. Ces notions impliquent une sensibilisation des praticiens, mais aussi des patients, à un suivi minutieux des surfaces dentaires afin de détecter précocement ces lésions débutantes, mais également, et peut-être surtout, les facteurs de risques qui vont favoriser l’apparition de lésions nouvelles.
– Reminéraliser les tissus dentaires calcifiés, c’est également estimer qu’une dentine déminéralisée, conséquence d’une lésion carieuse ou érosive, peut être considérée comme une trame remarquable pour fixer des nouveaux groupements phosphocalciques élaborés par les cellules ou par précipitation in situ. Faut-il dans ces conditions éliminer la dentine cariée ? Ces deux exemples de situations cliniques bien différentes illustrent l’étendue des situations cliniques, mais aussi les changements de paradigmes en termes de diagnostic et de thérapeutiques.
L’émail
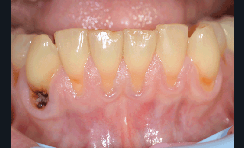
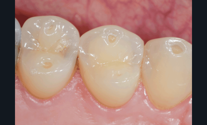
Une lésion carieuse débutante de l’émail, autrefois appelée « leucome précarieux », est une lésion carieuse à part entière, envahie par des bactéries acidophiles, constituée d’une hydroxyapatite déstructurée à qui l’on attribue, dans la classification ICDAS [1], le score de 1a ou 1b.
Une réponse ? Plusieurs réponses ? Il vous faudra attendre jusqu’au 1er décembre pour le savoir au cours de cette séance que nous souhaitons interactive.
La dentine
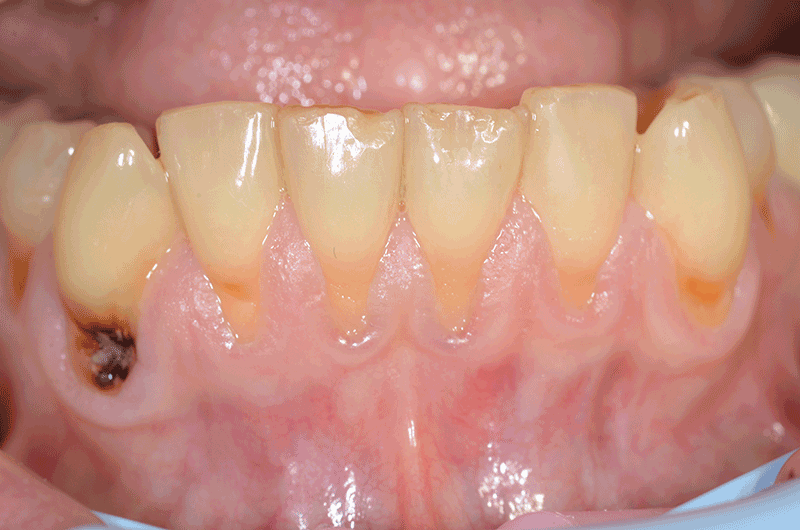
Pour ce qui concerne les lésions dentinaires, la situation est différente. Pour atteindre la dentine, il faut que l’émail ait été traversé ou éliminé par les agents acides, quelle que soient leur provenance. La dentine possède deux atouts majeurs pour se défendre : la présence d’eau dans les canalicules dentinaires, excellent transporteur d’espèces ionisées et un contact direct avec les prolongements odontoblastiques ! La reminéralisation peut donc se faire, différemment de celle de l’émail par reprécipitation, mais aussi par stimulation cellulaire. Dans ces conditions, faut-il encore retirer la dentine cariée avant de placer un matériau de restauration ? peut-on traiter durablement les sensibilités dentinaires ? Peut-on stopper les processus érosifs ? [6, 7].
Pour aborder ce thème, les docteurs Cyril Villat et Céline Gaucher sont tous deux des cliniciens en odontologie conservatrice. Ils sont tous deux des enseignants chercheurs au sein d’équipes qui travaillent depuis plusieurs années sur ces sujets. Cyril Villat fait partie de notre équipe de biomatériaux dirigée par le Pr Brigitte Grosgogeat dans un laboratoire de chimie des matériaux, tandis que Céline Gaucher fait partie de l’équipe de Catherine Chaussain dans un laboratoire de biologie. Ils devront répondre aux questions précédemment posées en s’appuyant sur leurs connaissances scientifiques, mais aussi (et surtout) se positionner dans leur démarche de praticien afin de nous apprendre à argumenter les bonnes décisions thérapeutiques… en maîtrisant les coûts induits par les matériaux et le temps passé !



Commentaires